CD38
CD38全稱為分化簇38,也被稱為ADP-核糖環化酶或T10抗原,是一種廣泛分布于免疫細胞表面的II型跨膜糖蛋白。CD38通過催化煙酰胺腺嘌呤二核苷酸(NAD+)生成環腺苷二磷酸核糖(cADPR)和腺苷二磷酸核糖(ADPR),在細胞代謝調控、鈣離子信號傳導及免疫應答中發揮核心作用。其高表達特征常見于多發性骨髓瘤、淋巴瘤等血液系統惡性腫瘤,同時也與系統性紅斑狼瘡、類風濕關節炎等自身免疫性疾病密切相關。
近年來CD38已成為血液腫瘤治療的重要靶點,達雷妥尤單抗(Darzalex)作為首個靶向CD38的單克隆抗體,通過抗體依賴細胞介導的細胞毒作用(ADCC)和補體依賴的細胞毒作用(CDC)顯著改善了多發性骨髓瘤患者的生存預后。緊隨其后的Isatuximab(Sarclisa)也在全球范圍內獲批上市。目前針對該靶點的創新療法持續涌現,包括CD38-CAR-T細胞療法、雙特異性抗體等新型免疫治療策略已進入臨床試驗階段,同時在實體瘤治療領域的應用探索也在積極推進。
熱銷產品
驗證數據
(Tris-Glycine gel) Discontinuous SDS-PAGE (reduced) with 5% enrichment gel and 15% separation gel.
CD38 Recombinant Monoclonal Antibody (CSB-RA796695A0HU)
驗證數據
Western Blot
Positive WB detected in: THP-1 whole cell lysate
All lanes: CD38 antibody at 1:2000
Secondary
Goat polyclonal to rabbit IgG at 1/50000 dilution
Predicted band size: 35, 14 kDa
Observed band size: 42 kDa
IHC image of CSB-RA796695A0HU diluted at 1:100 and staining in paraffin-embedded human prostate cancer performed on a Leica BondTM system. After dewaxing and hydration, antigen retrieval was mediated by high pressure in a citrate buffer (pH 6.0). Section was blocked with 10% normal goat serum 30min at RT. Then primary antibody (1% BSA) was incubated at 4℃ overnight. The primary is detected by a Goat anti-rabbit IgG polymer labeled by HRP and visualized using 0.05% DAB.
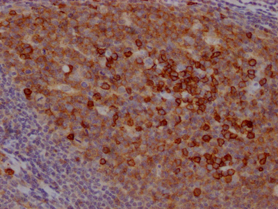
IHC image of CSB-RA796695A0HU diluted at 1:100 and staining in paraffin-embedded human tonsil tissue performed on a Leica BondTM system. After dewaxing and hydration, antigen retrieval was mediated by high pressure in a citrate buffer (pH 6.0). Section was blocked with 10% normal goat serum 30min at RT. Then primary antibody (1% BSA) was incubated at 4℃ overnight. The primary is detected by a Goat anti-rabbit IgG polymer labeled by HRP and visualized using 0.05% DAB.
CD38 Antibodies
CD38 for Homo sapiens (Human)
| 產品貨號 | 產品名稱 | 種屬反應性 | 應用類型 |
|---|---|---|---|
| CSB-PA004929ESR1HU | CD38 Antibody | Human | ELISA, IHC |
| CSB-PA005628 | CD38 Antibody | Human | WB, ELISA |
| CSB-PA134528 | CD38 Antibody | Human | ELISA,WB |
| CSB-PA926996 | CD38 Antibody | Human | ELISA,WB,IHC |
| CSB-MA785760 | CD38 Monoclonal Antibody | Human | ELISA, IHC |
| CSB-RA796695A0HU | CD38 Recombinant Monoclonal Antibody | Human | ELISA, WB, IHC |
CD38 Proteins
CD38 Proteins for Mus musculus (Mouse)
| 產品貨號 | 產品名稱 | 來源 |
|---|---|---|
| CSB-YP004929MO1 CSB-EP004929MO1 CSB-BP004929MO1 CSB-MP004929MO1 CSB-EP004929MO1-B |
Recombinant Mouse ADP-ribosyl cyclase/cyclic ADP-ribose hydrolase 1 (Cd38), partial | Yeast E.coli Baculovirus Mammalian cell In Vivo Biotinylation in E.coli |
| CSB-CF004929MO | Recombinant Mouse ADP-ribosyl cyclase/cyclic ADP-ribose hydrolase 1 (Cd38) | in vitro E.coli expression system |
CD38 Proteins for Macaca fascicularis (Crab-eating macaque) (Cynomolgus monkey)
| 產品貨號 | 產品名稱 | 來源 |
|---|---|---|
| CSB-YP722775MOV CSB-EP722775MOV CSB-BP722775MOV CSB-MP722775MOV CSB-EP722775MOV-B |
Recombinant Macaca fascicularis ADP-ribosyl cyclase 1 (CD38), partial | Yeast E.coli Baculovirus Mammalian cell In Vivo Biotinylation in E.coli |
CD38 Proteins for Rattus norvegicus (Rat)
| 產品貨號 | 產品名稱 | 來源 |
|---|---|---|
| CSB-YP731039RA CSB-EP731039RA CSB-BP731039RA CSB-MP731039RA CSB-EP731039RA-B |
Recombinant Rat ADP-ribosyl cyclase 1 (Cd38), partial | Yeast E.coli Baculovirus Mammalian cell In Vivo Biotinylation in E.coli |
CD38 Proteins for Oryctolagus cuniculus (Rabbit)
| 產品貨號 | 產品名稱 | 來源 |
|---|---|---|
| CSB-YP889007RB CSB-EP889007RB CSB-BP889007RB CSB-MP889007RB CSB-EP889007RB-B |
Recombinant Rabbit ADP-ribosyl cyclase 1 (CD38), partial | Yeast E.coli Baculovirus Mammalian cell In Vivo Biotinylation in E.coli |
CD38 Proteins for Homo sapiens (Human)
| 產品貨號 | 產品名稱 | 來源 |
|---|---|---|
| CSB-CF004929HU | Recombinant Human ADP-ribosyl cyclase/cyclic ADP-ribose hydrolase 1 (CD38) | in vitro E.coli expression system |
| CSB-EP004929HU1 CSB-BP004929HU1 CSB-EP004929HU1-B |
Recombinant Human ADP-ribosyl cyclase/cyclic ADP-ribose hydrolase 1 (CD38), partial | E.coli Baculovirus In Vivo Biotinylation in E.coli |
| CSB-MP004929HU1 | Recombinant Human ADP-ribosyl cyclase/cyclic ADP-ribose hydrolase 1 (CD38), partial | Mammalian cell |
| CSB-YP004929HU1 | Recombinant Human ADP-ribosyl cyclase/cyclic ADP-ribose hydrolase 1 (CD38), partial (Active) | Yeast |
| CSB-EP004929HU2 | Recombinant Human ADP-ribosyl cyclase/cyclic ADP-ribose hydrolase 1 (CD38), partial | E.coli |
CD38 ELISA Kit
CD38 ELISA Kit for Homo sapiens (Human)
| 產品貨號 | 產品名稱 | 樣本類型 | 靈敏度 |
|---|---|---|---|
| CSB-E09884h | Human Soluble Cluster of differentiation 38,sCD38 ELISA Kit | serum, plasma, tissue homogenates, cell lysates | 0.225 ng/mL |
CD38 ELISA Kit for Mus musculus (Mouse)
| 產品貨號 | 產品名稱 | 樣本類型 | 靈敏度 |
|---|---|---|---|
| CSB-EL004929MO | Mouse ADP-ribosyl cyclase 1(CD38) ELISA kit | serum, plasma, tissue homogenates | 0.156 ng/mL |






