CD37
CD37,即分化抗原37,別名T細胞分化抗原、Leu-22等。它是一種由CD37基因編碼的糖蛋白,主要表達在多種免疫細胞表面,包括B細胞、T細胞、自然殺傷(NK)細胞等。CD37的作用機制涉及調節細胞間的相互作用和信號傳導,參與免疫細胞的成熟、分化和免疫反應的調控。CD37參與了多種生理和病理過程的調節,包括免疫應答、細胞增殖、細胞凋亡等。CD37的功能異常與某些疾病有關,如某些類型的B細胞淋巴瘤。此外,CD37也被用作某些免疫治療策略的靶點,例如,通過靶向CD37的單克隆抗體藥物用于治療某些類型的癌癥。
熱銷產品
Recombinant Human Leukocyte antigen CD37 (CD37)-VLPs (Active) (CSB-MP004928HU)
驗證數據
CSB-MP004928HU is detected by Mouse anti-10*His monoclonal antibody.
Activity
Measured by its binding ability in a functional ELISA. Immobilized Human CD37 at 10 μg/ml can bind Anti-CD37 recombinant antibody(CSB-RA004928MA1HU). The EC50 is 7.458-9.930 ng/mL.The VLPs (CSB-MP3838) is negative control.
The purity of VLPs was greater than 95% as determined by SEC-HPLC
Recombinant Human Apolipoprotein E (APOE) (Active) (CSB-MP001936HU)
驗證數據
(Tris-Glycine gel) Discontinuous SDS-PAGE (reduced) with 5% enrichment gel and 15% separation gel.
Activity
Measured by its binding ability in a functional ELISA. Immobilized Human APOE at 2 μg/ml can bind Anti-APOE recombinant antibody (CSB-RA001936MA1HU). The EC50 is 2.574-2.908 ng/mL.
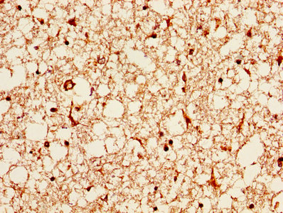
APOE Antibody (CSB-PA07599A0Rb)
驗證數據
Immunofluorescence staining of HepG2 cells with CSB-PA07599A0Rb at 1:333, counter-stained with DAPI. The cells were fixed in 4% formaldehyde, permeabilized using 0.2% Triton X-100 and blocked in 10% normal Goat Serum. The cells were then incubated with the antibody overnight at 4°C. The secondary antibody was Alexa Fluor 488-congugated AffiniPure Goat Anti-Rabbit IgG(H+L).
IHC image of CSB-PA07599A0Rb diluted at 1:1000 and staining in paraffin-embedded human brain tissue performed on a Leica BondTM system. After dewaxing and hydration, antigen retrieval was mediated by high pressure in a citrate buffer (pH 6.0). Section was blocked with 10% normal goat serum 30min at RT. Then primary antibody (1% BSA) was incubated at 4°C overnight. The primary is detected by a biotinylated secondary antibody and visualized using an HRP conjugated SP system.
Human apolipoprotein E (Apo-E) ELISA Kit (CSB-E09748h)
驗證數據
貨號:CSB-E09748h
規格:96T/48T
靈敏度:3.9 ng/mL
檢測范圍:15.62 ng/mL-1000 ng/mL
These standard curves are provided for demonstration only. A standard curve should be generated for each set of samples assayed.
CD37 Antibodies
CD37 for Homo sapiens (Human)
| 產品貨號 | 產品名稱 | 種屬反應性 | 應用類型 |
|---|---|---|---|
| CSB-PA005840 | CD37 Antibody | Human | WB, ELISA |
| CSB-PA004928LA01HU | CD37 Antibody | Human, Mouse | ELISA, WB, IHC, IF |
| CSB-RA004928MA1HU | CD37 Recombinant Monoclonal Antibody | Human | ELISA, IHC |
CD37 Proteins
CD37 Proteins for Homo sapiens (Human)
| 產品貨號 | 產品名稱 | 來源 |
|---|---|---|
| CSB-YP004928HU1 CSB-EP004928HU1 CSB-BP004928HU1 CSB-EP004928HU1-B |
Recombinant Human Leukocyte antigen CD37 (CD37), partial | Yeast E.coli Baculovirus In Vivo Biotinylation in E.coli |
| CSB-CF004928HU | Recombinant Human Leukocyte antigen CD37 (CD37) | in vitro E.coli expression system |
| CSB-MP004928HU | Recombinant Human Leukocyte antigen CD37 (CD37)-VLPs (Active) | Mammalian cell |
CD37 Proteins for Rattus norvegicus (Rat)
| 產品貨號 | 產品名稱 | 來源 |
|---|---|---|
| CSB-YP004928RA1 CSB-EP004928RA1 CSB-BP004928RA1 CSB-MP004928RA1 CSB-EP004928RA1-B |
Recombinant Rat Leukocyte antigen CD37 (Cd37), partial | Yeast E.coli Baculovirus Mammalian cell In Vivo Biotinylation in E.coli |
| CSB-CF004928RA | Recombinant Rat Leukocyte antigen CD37 (Cd37) | in vitro E.coli expression system |
CD37 Proteins for Bos taurus (Bovine)
| 產品貨號 | 產品名稱 | 來源 |
|---|---|---|
| CSB-YP641596BO1 CSB-EP641596BO1 CSB-BP641596BO1 CSB-MP641596BO1 CSB-EP641596BO1-B |
Recombinant Bovine Leukocyte antigen CD37 (CD37), partial | Yeast E.coli Baculovirus Mammalian cell In Vivo Biotinylation in E.coli |
| CSB-CF641596BO | Recombinant Bovine Leukocyte antigen CD37 (CD37) | in vitro E.coli expression system |
| CSB-MP641596BO | Recombinant Bovine Leukocyte antigen CD37 (CD37)-VLPs | Mammalian cell |
CD37 Proteins for Mus musculus (Mouse)
| 產品貨號 | 產品名稱 | 來源 |
|---|---|---|
| CSB-YP713974MO1 CSB-EP713974MO1 CSB-BP713974MO1 CSB-MP713974MO1 CSB-EP713974MO1-B |
Recombinant Mouse Leukocyte antigen CD37 (Cd37), partial | Yeast E.coli Baculovirus Mammalian cell In Vivo Biotinylation in E.coli |
| CSB-CF713974MO | Recombinant Mouse Leukocyte antigen CD37 (Cd37) | in vitro E.coli expression system |






