CD34
CD34,全名為CD34分子,也被稱為造血祖細胞抗原CD34。它是一種在多種細胞表面表達的粘附分子,尤其在早期造血過程中扮演重要角色。CD34蛋白有助于干細胞附著到骨髓的細胞外基質或基質細胞上,從而促進干細胞的生長和分化。此外,CD34蛋白還與多種疾病相關,如血液腫瘤等。在藥物研發方面,CD34蛋白作為靶點,已有多種藥物處于研發階段,旨在治療相關疾病。
熱銷產品
Recombinant Human Hematopoietic progenitor cell antigen CD34 (CD34), partial (CSB-MP004926HU)
驗證數據
(Tris-Glycine gel) Discontinuous SDS-PAGE (reduced) with 5% enrichment gel and 15% separation gel.
CD34 Recombinant Monoclonal Antibody (CSB-RA004926A0HU)
驗證數據
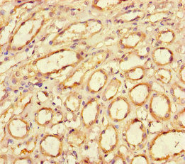
IHC image of CSB-RA004926A0HU diluted at 1:100 and staining in paraffin-embedded human kidney tissue performed on a Leica BondTM system. After dewaxing and hydration, antigen retrieval was mediated by high pressure in a citrate buffer (pH 6.0). Section was blocked with 10% normal goat serum 30min at RT. Then primary antibody (1% BSA) was incubated at 4℃ overnight. The primary is detected by a biotinylated secondary antibody and visualized using an HRP conjugated SP system.
CD34 Antibody (CSB-PA10509A0Rb)
驗證數據
Western Blot
Positive WB detected in: Mouse brain tissue
All lanes: CD34 antibody at 3μg/ml
Secondary
Goat polyclonal to rabbit IgG at 1/50000 dilution
Predicted band size: 41, 36 kDa
Observed band size: 41 kDa
Immunohistochemistry of paraffin-embedded human kidney tissue using CSB-PA10509A0Rb at dilution of 1:100
Immunohistochemistry of paraffin-embedded human colon cancer using CSB-PA10509A0Rb at dilution of 1:100
Immunofluorescent analysis of HepG2 cells using CSB-PA10509A0Rb at dilution of 1:100 and Alexa Fluor 488-congugated AffiniPure Goat Anti-Rabbit IgG(H+L)
Immunofluorescent analysis of PC-3 cells using CSB-PA10509A0Rb at dilution of 1:100 and Alexa Fluor 488-congugated AffiniPure Goat Anti-Rabbit IgG(H+L)
Human cluster of differentiation 34(CD34) ELISA Kit (CSB-E14091h)
驗證數據
貨號:CSB-E14091h
規格:96T/48T
靈敏度:0.078 ng/mL
檢測范圍:0.312 ng/mL-20 ng/mL
These standard curves are provided for demonstration only. A standard curve should be generated for each set of samples assayed.
CD34 Antibodies
CD34 for Homo sapiens (Human)
| 產品貨號 | 產品名稱 | 種屬反應性 | 應用類型 |
|---|---|---|---|
| CSB-PA269036 | CD34 Antibody | Human,Mouse,Rat | ELISA,WB |
| CSB-PA001451 | CD34 Antibody | Human,Mouse | WB, ELISA |
| CSB-PA10509A0Rb | CD34 Antibody | Human, Mouse | ELISA, WB, IHC, IF |
| CSB-PA10509B0Rb | CD34 Antibody, HRP conjugated | Human | ELISA |
| CSB-PA10509C0Rb | CD34 Antibody, FITC conjugated | Human | |
| CSB-PA10509D0Rb | CD34 Antibody, Biotin conjugated | Human | ELISA |
| CSB-RA004926A0HU | CD34 Recombinant Monoclonal Antibody | Human | ELISA, IHC |
| CSB-MA918107 | CD34 Monoclonal Antibody | Human | ELISA, IHC |
CD34 Proteins
CD34 Proteins for Homo sapiens (Human)
| 產品貨號 | 產品名稱 | 來源 |
|---|---|---|
| CSB-YP004926HU1 CSB-EP004926HU1 CSB-BP004926HU1 CSB-MP004926HU1 CSB-EP004926HU1-B |
Recombinant Human Hematopoietic progenitor cell antigen CD34 (CD34), partial | Yeast E.coli Baculovirus Mammalian cell In Vivo Biotinylation in E.coli |
| CSB-CF004926HU | Recombinant Human Hematopoietic progenitor cell antigen CD34 (CD34) | in vitro E.coli expression system |
CD34 Proteins for Canis familiaris (Dog) (Canis lupus familiaris)
| 產品貨號 | 產品名稱 | 來源 |
|---|---|---|
| CSB-YP637897DO CSB-EP637897DO CSB-BP637897DO CSB-MP637897DO CSB-EP637897DO-B |
Recombinant Dog Hematopoietic progenitor cell antigen CD34 (CD34), partial | Yeast E.coli Baculovirus Mammalian cell In Vivo Biotinylation in E.coli |
CD34 Proteins for Mus musculus (Mouse)
| 產品貨號 | 產品名稱 | 來源 |
|---|---|---|
| CSB-YP737351MO CSB-EP737351MO CSB-BP737351MO CSB-MP737351MO CSB-EP737351MO-B |
Recombinant Mouse Hematopoietic progenitor cell antigen CD34 (Cd34), partial | Yeast E.coli Baculovirus Mammalian cell In Vivo Biotinylation in E.coli |
CD34 ELISA Kit
CD34 ELISA Kit for Homo sapiens (Human)
| 產品貨號 | 產品名稱 | 樣本類型 | 靈敏度 |
|---|---|---|---|
| CSB-E14091h | Human cluster of differentiation 34(CD34) ELISA Kit | serum, plasma, tissue homogenates | 0.078 ng/mL |






