CD274
CD274,即細胞程序性死亡-配體1,別名PD-L1、PDCD1 ligand 1、hPD-L1。CD274編碼的蛋白質是一種分子量為40kDa的I型跨膜蛋白,屬于CD分子和B7家族成員。其作用機制涉及與PD-1受體結合后,傳導抑制性的信號,減低CD8+T細胞的增生,并可能通過調節Bcl-2基因控制淋巴結中抗原特異性T細胞的聚積。CD274在免疫系統的抑制過程中可能發揮著重要作用,例如在妊娠、組織移植、自體免疫疾病以及其他疾病如肝炎中。正常情況下,免疫系統對外來抗原產生反應,引發抗原特異性CD8+T細胞的增殖,而PD-1與CD274結合傳遞抑制信號,從而抑制CD8+T細胞的增殖。CD274的表達在多種類型的人類惡性腫瘤中具有預后意義,并在腫瘤微環境中通過抑制細胞毒性T細胞的活性為腫瘤細胞提供免疫逃逸。
熱銷產品
Recombinant Human Programmed cell death 1 ligand 1 (CD274), partial (Active) (CSB-MP878942HU1)
驗證數據
(Tris-Glycine gel) Discontinuous SDS-PAGE (reduced) with 5% enrichment gel and 15% separation gel.
Activity
Measured by its binding ability in a functional ELISA. Immobilized PD-L1 at 2 μg/ml can bind Anti- PD-L1 mouse monoclonal antibody(CSB-MA878942A1m,antigen from E.coli), the EC50 of human PD-L1 protein is 1.252-1.653 ng/mL.
The purity of CD274 was greater than 90% as determined by SEC-HPLC.
CD274 Recombinant Monoclonal Antibody (CSB-RA878942MA1HU)
驗證數據
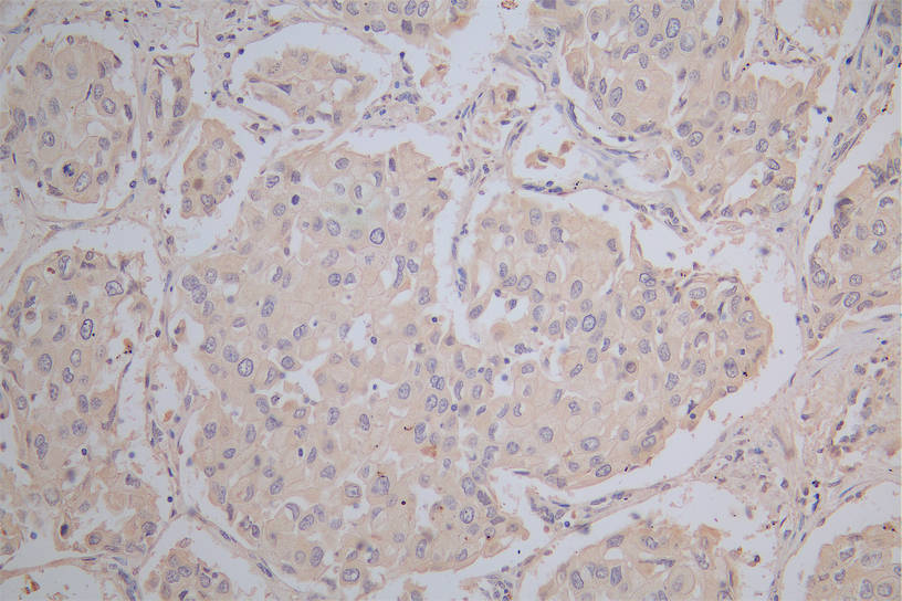
IHC image of CSB-RA878942MA1HU diluted at 1:100 and staining in paraffin-embedded human lung cancer performed on a Leica BondTM system. After dewaxing and hydration, antigen retrieval was mediated by high pressure in a citrate buffer (pH 6.0). Section was blocked with 10% normal goat serum 30min at RT. Then primary antibody (1% BSA) was incubated at 4°C overnight. The primary is detected by a Goat anti-Mouse IgG labeled by HRP and visualized using 0.05% DAB.
Overlay Peak curve showing Hela cells surface stained with CSB-RA878942MA1HU (red line) at 1:100. Then 10% normal goat serum was Incubated to block non-specific protein-protein interactions followed by the antibody (1μg/1*106cells) for 45 min at 4°C. The secondary antibody used was FITC-conjugated Goat Anti-Mouse IgG(H+L) at 1/200 dilution for 35 min at 4°C. Isotype control antibody (green line) was mouse IgG1 (1μg/1*106cells) used under the same conditions. Acquisition of >10,000 events was performed.
CD274 Antibodies
CD274 for Homo sapiens (Human)
| 產品貨號 | 產品名稱 | 種屬反應性 | 應用類型 |
|---|---|---|---|
| CSB-PA004911GA01HU | CD274 Antibody | Human,Mouse,Rat | WB, IP, IHC, IF, FC, ELISA |
| CSB-PA878942ESR1HU | CD274 Antibody | Human | ELISA, IHC |
| CSB-MA878942A0m | PD-L1 Monoclonal Antibody | Human | ELISA, WB, IHC, IF, FC |
| CSB-MA878942A1m | PD-L1 Monoclonal Antibody | Human | ELISA, WB, IHC, IF, FC |
| CSB-RA977797A0HU | CD274 Recombinant Monoclonal Antibody | Human | ELISA, WB, IHC |
| CSB-RA878942MA1HU | CD274 Recombinant Monoclonal Antibody | Human | ELISA, IHC, FC |
CD274 Proteins
CD274 Proteins for Homo sapiens (Human)
| 產品貨號 | 產品名稱 | 來源 |
|---|---|---|
| CSB-YP878942HU1 CSB-EP878942HU1 CSB-BP878942HU1 CSB-EP878942HU1-B |
Recombinant Human Programmed cell death 1 ligand 1 (CD274), partial | Yeast E.coli Baculovirus In Vivo Biotinylation in E.coli |
| CSB-MP878942HU1 | Recombinant Human Programmed cell death 1 ligand 1 (CD274), partial (Active) | Mammalian cell |
| CSB-EP878942HU2 | Recombinant Human Programmed cell death 1 ligand 1 (CD274), partial | E.coli |
| CSB-EP878942HU1(M) | Recombinant Human Programmed cell death 1 ligand 1 (CD274), partial ( (K136A)) | E.coli |
| CSB-YP878942HU1(M)c7 | Recombinant Human Programmed cell death 1 ligand 1 (CD274) (K136A), partial | Yeast |
CD274 Proteins for Mus musculus (Mouse)
| 產品貨號 | 產品名稱 | 來源 |
|---|---|---|
| CSB-YP880615MO CSB-EP880615MO CSB-BP880615MO CSB-EP880615MO-B |
Recombinant Mouse Programmed cell death 1 ligand 1 (Cd274), partial | Yeast E.coli Baculovirus In Vivo Biotinylation in E.coli |
CD274 ELISA Kit
CD274 ELISA Kit for Homo sapiens (Human)
| 產品貨號 | 產品名稱 | 樣本類型 | 靈敏度 |
|---|---|---|---|
| CSB-E13644h | Human Programmed Death Ligand-1(PD-L1/CD274) ELISA Kit | serum, plasma, tissue homogenates, cell lysates | 3.9 pg/mL |
CD274 ELISA Kit for Mus musculus (Mouse)
| 產品貨號 | 產品名稱 | 樣本類型 | 靈敏度 |
|---|---|---|---|
| CSB-EL004911MO | Mouse Programmed cell death 1 ligand 1(CD274) ELISA kit | serum, plasma, tissue homogenates | 7.81 pg/mL |






