CD247
CD247,全名為CD3 zeta/CD247蛋白,也被稱為T細胞表面糖蛋白CD3 zeta鏈、CD247、CD3Z、T3Z、TCRZ。它是T淋巴細胞表面TCR-CD3復合物的組成部分,對于適應性免疫反應至關重要。CD247蛋白在免疫反應中起到傳遞信號的作用,能夠激活T細胞,從而啟動免疫反應。此外,CD247蛋白與多種蛋白質相互作用,有助于其在免疫反應和細胞相互作用中發揮多方面的功能。在腫瘤和自身免疫性疾病的研究中,CD247蛋白的表達和功能改變與T淋巴細胞異常活化相關,成為研究的熱點。目前,針對CD247蛋白的藥物研發正在取得進展,有望為腫瘤和自身免疫性疾病的治療帶來新的突破。
熱銷產品
CD247 Recombinant Monoclonal Antibody (CSB-RA244537A0HU)
驗證數據
Overlay Peak curve showing Jurkat cells surface stained with CSB-RA244537A0HU (red line) at 1:50. Then 10% normal goat serum to block non-specific protein-protein interactions followed by the antibody (1μg/1*106cells) for 45min at 4℃. The secondary antibody used was FITC-conjugated Goat Anti-rabbit IgG(H+L) at 1:200 dilution for 35min at 4℃.Control antibody (green line) was rabbit IgG (1μg/1*106cells) used under the same conditions. Acquisition of >10,000 events was performed.
CD247 Antibody (CSB-PA10499A0Rb)
驗證數據
Western Blot
Positive WB detected in: Jurkat whole cell lysate
All lanes: CD247 antibody at 3µg/ml
Secondary
Goat polyclonal to rabbit IgG at 1/50000 dilution
Predicted band size: 19 kDa
Observed band size: 19 kDa
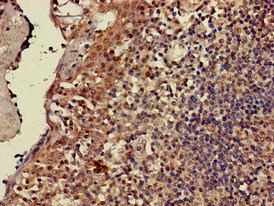
Immunohistochemistry of paraffin-embedded human lymph node tissue using CSB-PA10499A0Rb at dilution of 1:100
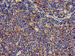
Immunohistochemistry of paraffin-embedded human tonsil tissue using CSB-PA10499A0Rb at dilution of 1:100
Immunofluorescent analysis of HepG2 cells using CSB-PA10499A0Rb at dilution of 1:100 and Alexa Fluor 488-congugated AffiniPure Goat Anti-Rabbit IgG(H+L)
Immunoprecipitating CD247 in jurkat whole cell lysate
Lane 1: Rabbit control IgG instead of CSB-PA10499A0Rb in jurkat whole cell lysate. For western blotting, a HRP-conjugated Protein G antibody was used as the secondary antibody (1/2000)
Lane 2: CSB-PA10499A0Rb (8µg) + jurkat whole cell lysate (500µg)
Lane 3: Jurkat whole cell lysate (10µg)
Human T-cell surface glycoprotein CD3 zeta chain (CD247) ELISA kit (CSB-EL004904HU)
驗證數據
貨號:CSB-EL004904HU
規格:96T/48T
靈敏度:0.039 ng/mL
檢測范圍:0.156 ng/mL-10 ng/mL
These standard curves are provided for demonstration only. A standard curve should be generated for each set of samples assayed.
CD247 Antibodies
CD247 for Homo sapiens (Human)
| 產品貨號 | 產品名稱 | 種屬反應性 | 應用類型 |
|---|---|---|---|
| CSB-PA004904GA01HU | CD247 Antibody | Human,Mouse,Rat | ELISA,WB,IHC |
| CSB-PA070253 | Phospho-CD247 (Y142) Antibody | Human,Mouse,Rat,Monkey | WB, IHC, ELISA |
| CSB-PA070254 | CD247 Antibody | Human,Mouse,Rat,Monkey | WB, IHC, ELISA |
| CSB-PA273375 | CD247 Antibody | Human | IHC,ELISA |
| CSB-PA10499A0Rb | CD247 Antibody | Human | ELISA, WB, IHC, IF, IP |
| CSB-PA10499B0Rb | CD247 Antibody, HRP conjugated | Human | ELISA |
| CSB-PA10499C0Rb | CD247 Antibody, FITC conjugated | Human | |
| CSB-PA10499D0Rb | CD247 Antibody, Biotin conjugated | Human | ELISA |
| CSB-RA244537A0HU | CD247 Recombinant Monoclonal Antibody | Human | ELISA, FC |
CD247 Proteins
CD247 Proteins for Homo sapiens (Human)
| 產品貨號 | 產品名稱 | 來源 |
|---|---|---|
| CSB-YP004904HU1 CSB-EP004904HU1 CSB-BP004904HU1 CSB-MP004904HU1 CSB-EP004904HU1-B |
Recombinant Human T-cell surface glycoprotein CD3 zeta chain (CD247), partial | Yeast E.coli Baculovirus Mammalian cell In Vivo Biotinylation in E.coli |
| CSB-CF004904HU | Recombinant Human T-cell surface glycoprotein CD3 zeta chain (CD247) | in vitro E.coli expression system |
CD247 Proteins for Ovis aries (Sheep)
| 產品貨號 | 產品名稱 | 來源 |
|---|---|---|
| CSB-YP004904SH1 CSB-EP004904SH1 CSB-BP004904SH1 CSB-MP004904SH1 CSB-EP004904SH1-B |
Recombinant Sheep T-cell surface glycoprotein CD3 zeta chain (CD247), partial | Yeast E.coli Baculovirus Mammalian cell In Vivo Biotinylation in E.coli |
| CSB-CF004904SH | Recombinant Sheep T-cell surface glycoprotein CD3 zeta chain (CD247) | in vitro E.coli expression system |
CD247 Proteins for Mus musculus (Mouse)
| 產品貨號 | 產品名稱 | 來源 |
|---|---|---|
| CSB-YP004904MO CSB-EP004904MO CSB-BP004904MO CSB-MP004904MO CSB-EP004904MO-B |
Recombinant Mouse T-cell surface glycoprotein CD3 zeta chain (Cd247), partial | Yeast E.coli Baculovirus Mammalian cell In Vivo Biotinylation in E.coli |
CD247 Proteins for Oryctolagus cuniculus (Rabbit)
| 產品貨號 | 產品名稱 | 來源 |
|---|---|---|
| CSB-YP866148RB CSB-EP866148RB CSB-BP866148RB CSB-MP866148RB CSB-EP866148RB-B |
Recombinant Rabbit T-cell surface glycoprotein CD3 zeta chain (CD247), partial | Yeast E.coli Baculovirus Mammalian cell In Vivo Biotinylation in E.coli |
CD247 Proteins for Sus scrofa (Pig)
| 產品貨號 | 產品名稱 | 來源 |
|---|---|---|
| CSB-YP895010PI CSB-EP895010PI CSB-BP895010PI CSB-MP895010PI CSB-EP895010PI-B |
Recombinant Pig T-cell surface glycoprotein CD3 zeta chain (CD247), partial | Yeast E.coli Baculovirus Mammalian cell In Vivo Biotinylation in E.coli |
CD247 ELISA Kit
CD247 ELISA Kit for Homo sapiens (Human)
| 產品貨號 | 產品名稱 | 樣本類型 | 靈敏度 |
|---|---|---|---|
| CSB-EL004904HU | Human T-cell surface glycoprotein CD3 zeta chain (CD247) ELISA kit | serum, plasma, tissue homogenates, cell lysates | 0.039 ng/mL |






