CCR7
CCR7全稱為C-C趨化因子受體7型,也被稱為CD197,是趨化因子受體家族的重要成員。CCR7通過與配體CCL19和CCL21結合,引導淋巴細胞定向遷移至次級淋巴器官,對維持免疫系統穩態具有關鍵作用。CCR7在樹突狀細胞成熟過程中表達上調,幫助抗原呈遞細胞精準定位至淋巴結,從而啟動適應性免疫應答。臨床上,CCR7的異常表達與多種疾病密切相關,在乳腺癌、黑色素瘤等惡性腫瘤中,癌細胞通過激活該受體實現淋巴結轉移;而在類風濕性關節炎患者中,CCR7過度活化會促使炎癥細胞浸潤關節滑膜。針對CCR7的藥物開發聚焦于腫瘤免疫治療領域,已有小分子拮抗劑在動物模型中成功阻斷腫瘤轉移,但進入臨床階段的候選藥物仍較少。利用單克隆抗體阻斷CCR7-配體相互作用的新型療法,在治療自身免疫性疾病方面展現出潛在價值,相關研究正在從實驗室向轉化醫學推進。
熱銷產品
Recombinant Human C-C chemokine receptor type 7 (CCR7), partial (CSB-EP004846HU1)
驗證數據
(Tris-Glycine gel) Discontinuous SDS-PAGE (reduced) with 5% enrichment gel and 15% separation gel.
CCR7 Antibody (CSB-PA004846LA01HU)
驗證數據
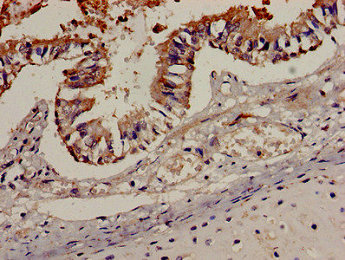
Immunohistochemistry analysis of human lung tissue using CSB-PA004846LA01HU at dilution of 1:100
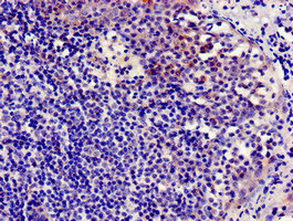
Immunocytochemistry analysis of human tonsil tissue using CSB-PA004846LA01HU at dilution of 1:100
Immunofluorescent analysis of Hela cells using CSB-PA004846LA01HU at dilution of 1:100 and Alexa Fluor 488-congugated AffiniPure Goat Anti-Rabbit IgG(H+L)
CCR7 Antibodies
CCR7 for Homo sapiens (Human)
| 產品貨號 | 產品名稱 | 種屬反應性 | 應用類型 |
|---|---|---|---|
| CSB-PA006996 | CCR7 Antibody | Human,Monkey | WB, IF, ELISA |
| CSB-PA265889 | CCR7 Antibody | Human | ELISA,WB |
| CSB-PA004846LA01HU | CCR7 Antibody | Human | ELISA, IHC, IF |
| CSB-PA004846LB01HU | CCR7 Antibody, HRP conjugated | Human | ELISA |
| CSB-PA004846LC01HU | CCR7 Antibody, FITC conjugated | Human | |
| CSB-PA004846LD01HU | CCR7 Antibody, Biotin conjugated | Human | ELISA |
CCR7 Proteins
CCR7 Proteins for Homo sapiens (Human)
| 產品貨號 | 產品名稱 | 來源 |
|---|---|---|
| CSB-YP004846HU1 CSB-BP004846HU1 CSB-MP004846HU1 CSB-EP004846HU1-B |
Recombinant Human C-C chemokine receptor type 7 (CCR7), partial | Yeast Baculovirus Mammalian cell In Vivo Biotinylation in E.coli |
| CSB-CF004846HU | Recombinant Human C-C chemokine receptor type 7 (CCR7) | in vitro E.coli expression system |
| CSB-EP004846HU1 | Recombinant Human C-C chemokine receptor type 7 (CCR7), partial | E.coli |
| CSB-CF004846HUa0 | Recombinant Human C-C chemokine receptor type 7 (CCR7) | in vitro E.coli expression system |
CCR7 Proteins for Mus musculus (Mouse)
| 產品貨號 | 產品名稱 | 來源 |
|---|---|---|
| CSB-YP004846MO1 CSB-EP004846MO1 CSB-BP004846MO1 CSB-MP004846MO1 CSB-EP004846MO1-B |
Recombinant Mouse C-C chemokine receptor type 7 (Ccr7), partial | Yeast E.coli Baculovirus Mammalian cell In Vivo Biotinylation in E.coli |
| CSB-CF004846MO | Recombinant Mouse C-C chemokine receptor type 7 (Ccr7) | in vitro E.coli expression system |
CCR7 Proteins for Bos taurus (Bovine)
| 產品貨號 | 產品名稱 | 來源 |
|---|---|---|
| CSB-YP711736BO CSB-EP711736BO CSB-BP711736BO CSB-MP711736BO CSB-EP711736BO-B |
Recombinant Bovine C-C chemokine receptor type 7 (CCR7), partial | Yeast E.coli Baculovirus Mammalian cell In Vivo Biotinylation in E.coli |






