CCN4
CCN4,全稱為Wnt1誘導的信號通路蛋白1(Wnt1-Inducible Signaling pathway Proteins 1),也被稱為WISP1。該蛋白屬于CCN蛋白家族,是一種分泌型富含半胱氨酸的糖蛋白,能夠與細胞外基質蛋白結合,并作用于細胞表面整合素,從而調節細胞與基質的相互作用。CCN4在腫瘤微環境中發揮重要作用,可促進腫瘤細胞的增殖、侵襲和轉移,同時也能調節血管生成和骨吸收。研究表明,CCN4在多種癌癥中表達上調,如乳腺癌、肺癌和結直腸癌等,因此被視為潛在的抗癌藥物靶點。目前,針對CCN4的藥物研發尚處于早期階段,主要集中于小分子抑制劑和抗體藥物的開發。例如,Asahi Kasei公司開發的Zoledronate已被用于治療癌癥和骨關節炎,而羅氏公司開發的Mab 420則處于臨床試驗階段。此外,Pamrevlumab作為一種抑制CTGF活性的抗體藥物,正在治療特發性肺纖維化和胰腺癌等疾病。未來,CCN4相關藥物的研發有望為癌癥治療提供新的策略。
熱銷產品
WISP1 Antibody (CSB-PA026119LA01HU)
驗證數據
Western Blot
Positive WB detected in: Mouse skeletal muscle tissue
All lanes: WISP1 antibody at 2.8μg/ml
Secondary
Goat polyclonal to rabbit IgG at 1/50000 dilution
Predicted band size: 41, 31, 14, 17, 22 kDa
Observed band size: 41 kDa
Immunohistochemistry of paraffin-embedded human heart tissue using CSB-PA026119LA01HU at dilution of 1:100
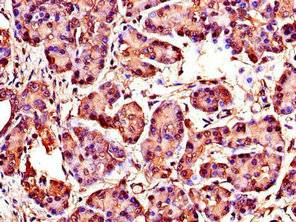
Immunohistochemistry of paraffin-embedded human pancreatic tissue using CSB-PA026119LA01HU at dilution of 1:100
Immunofluorescent analysis of A549 cells using CSB-PA026119LA01HU at dilution of 1:100 and Alexa Fluor 488-congugated AffiniPure Goat Anti-Rabbit IgG(H+L)
Human WNT1-inducible-signaling pathway protein 1(WISP1) ELISA kit (CSB-EL026119HU)
驗證數據
貨號:CSB-EL026119HU
規格:96T/48T
靈敏度:0.078 ng/mL
檢測范圍:0.312 ng/mL-20 ng/mL
These standard curves are provided for demonstration only. A standard curve should be generated for each set of samples assayed.
CCN4 Antibodies
CCN4 for Homo sapiens (Human)
| 產品貨號 | 產品名稱 | 種屬反應性 | 應用類型 |
|---|---|---|---|
| CSB-PA026119GA01HU | WISP1 Antibody | Human,Mouse,Rat | ELISA,WB |
| CSB-PA026119LA01HU | WISP1 Antibody | Human, Mouse | ELISA, WB, IHC, IF |
| CSB-PA026119LB01HU | WISP1 Antibody, HRP conjugated | Human | ELISA |
| CSB-PA026119LC01HU | WISP1 Antibody, FITC conjugated | Human | |
| CSB-PA026119LD01HU | WISP1 Antibody, Biotin conjugated | Human | ELISA |
CCN4 Proteins
CCN4 Proteins for Homo sapiens (Human)
| 產品貨號 | 產品名稱 | 來源 |
|---|---|---|
| CSB-YP026119HU CSB-EP026119HU CSB-BP026119HU CSB-MP026119HU CSB-EP026119HU-B |
Recombinant Human WNT1-inducible-signaling pathway protein 1 (WISP1) | Yeast E.coli Baculovirus Mammalian cell In Vivo Biotinylation in E.coli |
CCN4 ELISA Kit
CCN4 ELISA Kit for Homo sapiens (Human)
| 產品貨號 | 產品名稱 | 樣本類型 | 靈敏度 |
|---|---|---|---|
| CSB-EL026119HU | Human WNT1-inducible-signaling pathway protein 1(WISP1) ELISA kit | serum, plasma, tissue homogenates | 0.078 ng/mL |






