CCL20
CCL20蛋白全稱為C-C基序趨化因子配體20,又名巨噬細胞炎性蛋白-3α(MIP-3α)或肝臟活化調節趨化因子(LARC)。這種蛋白主要由上皮細胞和免疫細胞分泌,能夠特異性結合CCR6受體,引導淋巴細胞、樹突狀細胞等向炎癥部位或黏膜組織遷移。在腸道、皮膚等屏障組織中,CCL20通過維持免疫監視功能參與病原體清除,但其過度表達會引發慢性炎癥,與銀屑病、潰瘍性結腸炎等疾病密切相關。近年來研究發現,該蛋白在腫瘤微環境中異常活躍,尤其在結直腸癌、胰腺癌中可促進免疫抑制和腫瘤轉移。
針對CCL20-CCR6軸的藥物開發已取得進展,多個單克隆抗體和小分子抑制劑進入臨床前研究階段。其中一款人源化抗體通過阻斷CCL20與受體結合,在銀屑病動物模型中顯著減輕皮膚病變。另有研究嘗試將該通路抑制劑與免疫檢查點療法聯用,用于增強抗腫瘤效果。值得注意的是,部分天然產物如姜黃素也被證實能下調CCL20表達,為開發植物來源的抗炎藥物提供了新思路。
熱銷產品
Recombinant Human C-C motif chemokine 20 (CCL20), partial (CSB-EP004784HU1c0)
驗證數據
(Tris-Glycine gel) Discontinuous SDS-PAGE (reduced) with 5% enrichment gel and 15% separation gel.
驗證數據
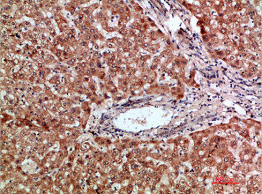
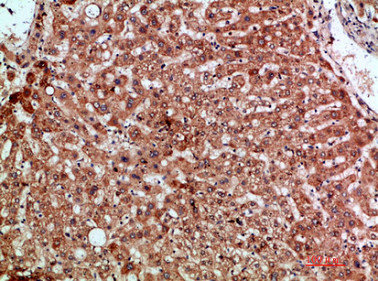
Immunohistochemical analysis of paraffin-embedded human-liver, antibody was diluted at 1:200
Immunohistochemical analysis of paraffin-embedded human-liver, antibody was diluted at 1:200
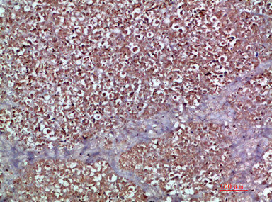
Immunohistochemical analysis of paraffin-embedded human-pancreas, antibody was diluted at 1:200
Immunohistochemical analysis of paraffin-embedded human-pancreas, antibody was diluted at 1:200
CCL20 Antibodies
CCL20 for Homo sapiens (Human)
| 產品貨號 | 產品名稱 | 種屬反應性 | 應用類型 |
|---|---|---|---|
| CSB-PA389153 | CCL20 Antibody | Human,Mouse | IHC,ELISA |
CCL20 Proteins
CCL20 Proteins for Homo sapiens (Human)
| 產品貨號 | 產品名稱 | 來源 |
|---|---|---|
| CSB-YP004784HU CSB-EP004784HU CSB-BP004784HU CSB-MP004784HU CSB-EP004784HU-B |
Recombinant Human C-C motif chemokine 20 (CCL20) | Yeast E.coli Baculovirus Mammalian cell In Vivo Biotinylation in E.coli |
| CSB-EP004784HU1 | Recombinant Human C-C motif chemokine 20 (CCL20), partial | E.coli |
| CSB-AP000931HU | Recombinant Human C-C motif chemokine 20 protein (CCL20) | E.Coli |
| CSB-EP004784HU1c0 | Recombinant Human C-C motif chemokine 20 (CCL20), partial | E.coli |
CCL20 Proteins for Rattus norvegicus (Rat)
| 產品貨號 | 產品名稱 | 來源 |
|---|---|---|
| CSB-YP004784RA CSB-EP004784RA CSB-BP004784RA CSB-MP004784RA CSB-EP004784RA-B |
Recombinant Rat C-C motif chemokine 20 (Ccl20) | Yeast E.coli Baculovirus Mammalian cell In Vivo Biotinylation in E.coli |
CCL20 Proteins for Mus musculus (Mouse)
| 產品貨號 | 產品名稱 | 來源 |
|---|---|---|
| CSB-YP004784MO CSB-EP004784MO CSB-BP004784MO CSB-MP004784MO CSB-EP004784MO-B |
Recombinant Mouse C-C motif chemokine 20 (Ccl20) | Yeast E.coli Baculovirus Mammalian cell In Vivo Biotinylation in E.coli |
| CSB-AP001331MO | Recombinant Mouse C-C motif chemokine 20 protein (Ccl20) | E.Coli |
CCL20 Proteins for Bos taurus (Bovine)
| 產品貨號 | 產品名稱 | 來源 |
|---|---|---|
| CSB-YP840478BO | Recombinant Bovine C-C motif chemokine 20 (CCL20) | Yeast |
| CSB-EP840478BO | Recombinant Bovine C-C motif chemokine 20 (CCL20) | E.coli |
| CSB-BP840478BO CSB-MP840478BO CSB-EP840478BO-B |
Recombinant Bovine C-C motif chemokine 20 (CCL20) | Baculovirus Mammalian cell In Vivo Biotinylation in E.coli |
CCL20 ELISA Kit
CCL20 ELISA Kit for Homo sapiens (Human)
| 產品貨號 | 產品名稱 | 樣本類型 | 靈敏度 |
|---|---|---|---|
| CSB-E04667h | Human Macrophage Inflammatory Protein-3α,MIP-3α ELISA kit | serum, plasma, cell culture supernates | 3.9 pg/mL |
CCL20 ELISA Kit for Mus musculus (Mouse)
| 產品貨號 | 產品名稱 | 樣本類型 | 靈敏度 |
|---|---|---|---|
| CSB-E04668m | Mouse Macrophage Inflammatory Protein 3α,MIP-3α ELISA kit | serum, plasma, tissue homogenates | 9.75 pg/ml |
CCL20 ELISA Kit for Rattus norvegicus (Rat)
| 產品貨號 | 產品名稱 | 樣本類型 | 靈敏度 |
|---|---|---|---|
| CSB-E04669r | Rat macrophage inflammatory protein 3α,MIP-3α ELISA Kit | serum, plasma, tissue homogenates | 0.039 ng/ml |






