CALCA
CALCA,即降鈣素相關多肽α,別名CT、KC、PCT、CGRP、CALC1、CGRP1、CGRP-I。CALCA是一種肽激素,包括降鈣素(calcitonin)、降鈣素基因相關肽(CGRP)和katacalcin。降鈣素參與鈣和磷代謝的調節,而CGRP作為一種神經肽,具有血管舒張作用和抗菌活性。CALCA通過基因轉錄本的組織和活性前體蛋白的切割,產生不同的生物活性肽。CALCA在多種生理過程中發揮作用,包括骨骼健康、疼痛感知、血壓調節和炎癥反應。CALCA的表達水平與多種腫瘤相關,如胃癌、肺癌和睪丸腫瘤等。
熱銷產品
Recombinant Human Calcitonin gene-related peptide 1 (CALCA), partial (CSB-MP153444HU)
驗證數據
(Tris-Glycine gel) Discontinuous SDS-PAGE (reduced) with 5% enrichment gel and 15% separation gel.
驗證數據
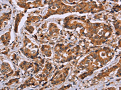
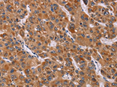
The image on the left is immunohistochemistry of paraffin-embedded Human liver cancer tissue using CSB-PA594619(CALCA Antibody) at dilution 1/40, on the right is treated with synthetic peptide. (Original magnification: ×200)
The image on the left is immunohistochemistry of paraffin-embedded Human breast cancer tissue using CSB-PA594619(CALCA Antibody) at dilution 1/40, on the right is treated with synthetic peptide. (Original magnification: ×200)
CALCA Antibodies
CALCA for Homo sapiens (Human)
| 產品貨號 | 產品名稱 | 種屬反應性 | 應用類型 |
|---|---|---|---|
| CSB-PA12134D0Rb | CALCA Antibody, Biotin conjugated | Human | ELISA |
| CSB-PA12134A0Rb | CALCA Antibody | Human | ELISA |
| CSB-PA594619 | CALCA Antibody | Human | ELISA,IHC |
| CSB-PA182905 | CALCA Antibody | Human | ELISA,IHC |
CALCA Proteins
CALCA Proteins for Homo sapiens (Human)
| 產品貨號 | 產品名稱 | 來源 |
|---|---|---|
| CSB-EP153444HU1 | Recombinant Human Calcitonin gene-related peptide 1 (CALCA),Partial | E.coli |
| CSB-EP153444HU | Recombinant Human Calcitonin gene-related peptide 1 (CALCA),Partial | E.coli |
| CSB-YP153444HU | Recombinant Human Calcitonin gene-related peptide 1 (CALCA), partial | Yeast |
| CSB-EP153444HUC0 | Recombinant Human Calcitonin gene-related peptide 1 (CALCA), partial | E.coli |
| CSB-MP153444HU | Recombinant Human Calcitonin gene-related peptide 1 (CALCA), partial | Mammalian cell |
| CSB-MP153444HUh8 | Recombinant Human Calcitonin gene-related peptide 1 (CALCA), partial | Mammalian cell |






