C1QA
C1QA,即Complement C1q Subcomponent A,是一種在人體免疫系統中發揮關鍵作用的蛋白質。C1QA是血清補體系統C1復合體的組成部分之一,與C1r和C1s兩種前體酶結合,形成C1。C1QA由六個相同的多肽鏈組成,這些多肽鏈通過其膠原樣區域與C1r和C1s的前體酶復合體相互作用,并通過其球形頭部與免疫復合物的Fc區域結合,觸發補體級聯反應。C1QA在宿主防御機制中至關重要,參與免疫復合物的識別和清除,促進吞噬作用,調節細胞因子產生,影響T淋巴細胞成熟。此外,C1QA還涉及組織修復、腫瘤免疫監視以及中樞神經系統的穩態調節。C1QA的功能對于維持免疫平衡和預防自身免疫疾病具有重要意義,其在多種生理和病理過程中的作用表明了其在免疫調節和細胞過程中的復雜角色。
熱銷產品
Recombinant Human Complement C1q subcomponent subunit A (C1QA) (CSB-EP003637HUb1)
驗證數據
(Tris-Glycine gel) Discontinuous SDS-PAGE (reduced) with 5% enrichment gel and 15% separation gel.
C1QA Antibody (CSB-PA003637LA01HU)
驗證數據
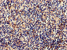
Immunohistochemistry of paraffin-embedded human spleen tissue using CSB-PA003637LA01HU at dilution of 1:100
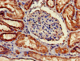
Immunohistochemistry of paraffin-embedded human kidney tissue using CSB-PA003637LA01HU at dilution of 1:100
Immunofluorescent analysis of Hela cells using CSB-PA003637LA01HU at dilution of 1:100 and Alexa Fluor 488-congugated AffiniPure Goat Anti-Rabbit IgG(H+L)
Human Complement C1q subcomponent subunit A(C1QA) ELISA kit (CSB-EL003637HU)
驗證數據
貨號:CSB-EL003637HU
規格:96T/48T
靈敏度:2.34 ng/mL
檢測范圍:9.38 ng/mL-600 ng/mL
These standard curves are provided for demonstration only. A standard curve should be generated for each set of samples assayed.
C1QA Antibodies
C1QA for Homo sapiens (Human)
| 產品貨號 | 產品名稱 | 種屬反應性 | 應用類型 |
|---|---|---|---|
| CSB-PA003637GA01HU | C1QA Antibody | Human,Mouse,Rat | ELISA,WB |
| CSB-PA003637LA01HU | C1QA Antibody | Human | ELISA, IHC, IF |
| CSB-PA003637LB01HU | C1QA Antibody, HRP conjugated | Human | ELISA |
| CSB-PA003637LC01HU | C1QA Antibody, FITC conjugated | Human | |
| CSB-PA003637LD01HU | C1QA Antibody, Biotin conjugated | Human | ELISA |
C1QA Proteins
C1QA Proteins for Mus musculus (Mouse)
| 產品貨號 | 產品名稱 | 來源 |
|---|---|---|
| CSB-YP003637MO | Recombinant Mouse Complement C1q subcomponent subunit A (C1qa) | Yeast |
| CSB-EP003637MO | Recombinant Mouse Complement C1q subcomponent subunit A (C1qa) | E.coli |
| CSB-BP003637MO CSB-MP003637MO |
Recombinant Mouse Complement C1q subcomponent subunit A (C1qa) | Baculovirus Mammalian cell |
| CSB-EP003637MOa0 | Recombinant Mouse Complement C1q subcomponent subunit A (C1qa) | E.coli |
C1QA Proteins for Rattus norvegicus (Rat)
| 產品貨號 | 產品名稱 | 來源 |
|---|---|---|
| CSB-YP003637RA CSB-BP003637RA CSB-MP003637RA CSB-EP003637RA-B |
Recombinant Rat Complement C1q subcomponent subunit A (C1qa) | Yeast Baculovirus Mammalian cell In Vivo Biotinylation in E.coli |
| CSB-EP003637RA | Recombinant Rat Complement C1q subcomponent subunit A (C1qa) | E.coli |
C1QA Proteins for Homo sapiens (Human)
| 產品貨號 | 產品名稱 | 來源 |
|---|---|---|
| CSB-YP003637HU CSB-MP003637HU CSB-EP003637HU-B |
Recombinant Human Complement C1q subcomponent subunit A (C1QA) | Yeast Mammalian cell In Vivo Biotinylation in E.coli |
| CSB-EP003637HU | Recombinant Human Complement C1q subcomponent subunit A (C1QA) | E.coli |
| CSB-BP003637HU | Recombinant Human Complement C1q subcomponent subunit A (C1QA) | Baculovirus |
| CSB-EP003637HUb1 | Recombinant Human Complement C1q subcomponent subunit A (C1QA) | E.coli |
C1QA Proteins for Bos taurus (Bovine)
| 產品貨號 | 產品名稱 | 來源 |
|---|---|---|
| CSB-YP704831BO CSB-EP704831BO CSB-BP704831BO CSB-MP704831BO CSB-EP704831BO-B |
Recombinant Bovine Complement C1q subcomponent subunit A (C1QA) | Yeast E.coli Baculovirus Mammalian cell In Vivo Biotinylation in E.coli |
C1QA Proteins for Sus scrofa (Pig)
| 產品貨號 | 產品名稱 | 來源 |
|---|---|---|
| CSB-YP721308PI CSB-EP721308PI CSB-BP721308PI CSB-MP721308PI CSB-EP721308PI-B |
Recombinant Pig Complement C1q subcomponent subunit A (C1QA) | Yeast E.coli Baculovirus Mammalian cell In Vivo Biotinylation in E.coli |
C1QA ELISA Kit
C1QA ELISA Kit for Homo sapiens (Human)
| 產品貨號 | 產品名稱 | 樣本類型 | 靈敏度 |
|---|---|---|---|
| CSB-EL003637HU | Human Complement C1q subcomponent subunit A(C1QA) ELISA kit | serum, plasma, cell culture supernates, tissue homogenates | 2.34 ng/mL |
C1QA ELISA Kit for Mus musculus (Mouse)
| 產品貨號 | 產品名稱 | 樣本類型 | 靈敏度 |
|---|---|---|---|
| CSB-EL003637MO | Mouse Complement C1q subcomponent subunit A(C1QA) ELISA kit | serum, plasma, tissue homogenates | 0.039 μg/mL |






