BRCA2
BRCA2,全稱為乳腺癌相關蛋白2(BReast CAncer 2),是一種在細胞中發揮重要作用的蛋白質。該蛋白參與DNA損傷修復過程,特別是DNA雙鏈斷裂的修復。BRCA2蛋白與BRCA1蛋白共同構成了乳腺癌的主要致病基因,兩者在結構和功能上存在差異。BRCA2蛋白的異常突變會導致DNA修復功能受損,從而增加患乳腺癌和卵巢癌的風險。
目前,針對BRCA2突變癌癥的治療方法主要包括PARP抑制劑。PARP抑制劑是一種能夠抑制PARP酶活性的藥物,而PARP酶在DNA修復過程中發揮重要作用。BRCA2突變癌癥患者使用PARP抑制劑后,腫瘤細胞死亡率顯著提高,治療效果良好。此外,研究人員還在探索其他治療方法,如靶向BRCA2蛋白的抗體藥物和基因治療等。
熱銷產品
驗證數據
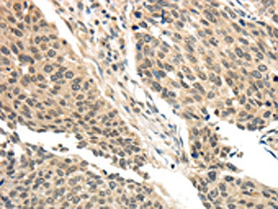
The image on the left is immunohistochemistry of paraffin-embedded Human lung cancer tissue using CSB-PA553405(BRCA2 Antibody) at dilution 1/35, on the right is treated with synthetic peptide. (Original magnification: ×200)
BRCA2 Antibodies
BRCA2 for Homo sapiens (Human)
| 產品貨號 | 產品名稱 | 種屬反應性 | 應用類型 |
|---|---|---|---|
| CSB-PA002796GA01HU | BRCA2 Antibody | Human | ELISA,WB |
| CSB-PA079435 | Phospho-BRCA2 (Ser3291) Antibody | Human,Mouse,Rat | ELISA,WB |
| CSB-PA050157 | Phospho-BRCA2 (S3291) Antibody | Human,Mouse,Rat | WB, ELISA |
| CSB-PA050158 | BRCA2 Antibody | Human,Rat | IHC, ELISA |
| CSB-PA553405 | BRCA2 Antibody | Human | ELISA,IHC |
BRCA2 Proteins
BRCA2 Proteins for Homo sapiens (Human)
| 產品貨號 | 產品名稱 | 來源 |
|---|---|---|
| CSB-YP002796HU CSB-EP002796HU CSB-BP002796HU CSB-MP002796HU CSB-EP002796HU-B |
Recombinant Human Breast cancer type 2 susceptibility protein (BRCA2), partial | Yeast E.coli Baculovirus Mammalian cell In Vivo Biotinylation in E.coli |
BRCA2 Proteins for Mus musculus (Mouse)
| 產品貨號 | 產品名稱 | 來源 |
|---|---|---|
| CSB-YP308755MO CSB-EP308755MO CSB-BP308755MO CSB-MP308755MO CSB-EP308755MO-B |
Recombinant Mouse Breast cancer type 2 susceptibility protein homolog (Brca2), partial | Yeast E.coli Baculovirus Mammalian cell In Vivo Biotinylation in E.coli |
BRCA2 Proteins for Drosophila simulans (Fruit fly)
| 產品貨號 | 產品名稱 | 來源 |
|---|---|---|
| CSB-YP463556DMJ CSB-EP463556DMJ CSB-BP463556DMJ CSB-MP463556DMJ CSB-EP463556DMJ-B |
Recombinant Drosophila simulans Breast cancer type 2 susceptibility protein homolog (Brca2), partial | Yeast E.coli Baculovirus Mammalian cell In Vivo Biotinylation in E.coli |
BRCA2 Proteins for Drosophila sechellia (Fruit fly)
| 產品貨號 | 產品名稱 | 來源 |
|---|---|---|
| CSB-YP465441DMG CSB-EP465441DMG CSB-BP465441DMG CSB-MP465441DMG CSB-EP465441DMG-B |
Recombinant Drosophila sechellia Breast cancer type 2 susceptibility protein homolog (Brca2), partial | Yeast E.coli Baculovirus Mammalian cell In Vivo Biotinylation in E.coli |
BRCA2 Proteins for Rattus norvegicus (Rat)
| 產品貨號 | 產品名稱 | 來源 |
|---|---|---|
| CSB-YP516591RA CSB-EP516591RA CSB-BP516591RA CSB-MP516591RA CSB-EP516591RA-B |
Recombinant Rat Breast cancer type 2 susceptibility protein homolog (Brca2), partial | Yeast E.coli Baculovirus Mammalian cell In Vivo Biotinylation in E.coli |
BRCA2 Proteins for Felis catus (Cat) (Felis silvestris catus)
| 產品貨號 | 產品名稱 | 來源 |
|---|---|---|
| CSB-YP803032CA CSB-EP803032CA CSB-BP803032CA CSB-MP803032CA CSB-EP803032CA-B |
Recombinant Cat Breast cancer type 2 susceptibility protein homolog (BRCA2), partial | Yeast E.coli Baculovirus Mammalian cell In Vivo Biotinylation in E.coli |
BRCA2 Proteins for Drosophila melanogaster (Fruit fly)
| 產品貨號 | 產品名稱 | 來源 |
|---|---|---|
| CSB-YP894301DLU CSB-EP894301DLU CSB-BP894301DLU CSB-MP894301DLU CSB-EP894301DLU-B |
Recombinant Drosophila melanogaster Breast cancer type 2 susceptibility protein homolog (Brca2), partial | Yeast E.coli Baculovirus Mammalian cell In Vivo Biotinylation in E.coli |






