BGN
BGN,全稱為雙糖鏈蛋白聚糖(Biglycan),是一種富含亮氨酸的小蛋白多糖,在骨骼生長、肌肉發育和再生以及多種組織中發揮重要作用。別名包括DSPG1、SLRR1A、PG-S1、PGI等。BGN蛋白在細胞外基質的結構和功能中發揮著關鍵作用,參與多種生物學過程,包括細胞增殖、分化、遷移和凋亡。BGN蛋白可與多種蛋白質相互作用,包括α- dystroglycan、α-和γ- sarcoglycan、膠原VI等,并參與肌營養不良的病理過程。BGN蛋白的表達與多種疾病相關,如膀胱癌、心肌梗死、骨肉瘤等。目前,針對BGN蛋白的藥物研發尚處于探索階段,但已有研究表明BGN蛋白可能成為膀胱癌、心肌梗死等疾病治療的潛在靶點。
熱銷產品
Recombinant Human Biglycan (BGN) (CSB-EP002683HU)
驗證數據
(Tris-Glycine gel) Discontinuous SDS-PAGE (reduced) with 5% enrichment gel and 15% separation gel.
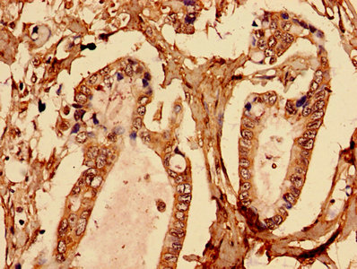
BGN Antibody (CSB-PA002683EA01HU)
驗證數據
Immunohistochemistry analysis of human pancreatic cancer using CSB-PA002683EA01HU at dilution of 1:100
Immunohistochemistry analysis of human placenta tissue using CSB-PA002683EA01HU at dilution of 1:100
Immunofluorescent analysis of HepG2 cells using CSB-PA002683EA01HU at dilution of 1:100 and Alexa Fluor 488-congugated AffiniPure Goat Anti-Rabbit IgG(H+L)
Human Biglycan(BGN) ELISA kit (CSB-EL002683HU)
驗證數據
貨號:CSB-EL002683HU
規格:96T/48T
靈敏度:0.078 ng/mL
檢測范圍:0.312 ng/mL-20 ng/mL
These standard curves are provided for demonstration only. A standard curve should be generated for each set of samples assayed.
BGN Antibodies
BGN for Homo sapiens (Human)
| 產品貨號 | 產品名稱 | 種屬反應性 | 應用類型 |
|---|---|---|---|
| CSB-PA002683GA01HU | BGN Antibody | Human,Mouse,Rat | ELISA,WB |
| CSB-PA157570 | BGN Antibody | Human,Mouse,Rat | ELISA,IHC |
| CSB-PA203218 | BGN Antibody | Human,Mouse,Rat | ELISA,WB,IHC |
| CSB-PA002683EA01HU | BGN Antibody | Human | ELISA, IHC, IF |
BGN Proteins
BGN Proteins for Homo sapiens (Human)
| 產品貨號 | 產品名稱 | 來源 |
|---|---|---|
| CSB-YP002683HU CSB-BP002683HU CSB-MP002683HU CSB-EP002683HU-B |
Recombinant Human Biglycan (BGN) | Yeast Baculovirus Mammalian cell In Vivo Biotinylation in E.coli |
| CSB-EP002683HU | Recombinant Human Biglycan (BGN) | E.coli |
BGN Proteins for Bos taurus (Bovine)
| 產品貨號 | 產品名稱 | 來源 |
|---|---|---|
| CSB-YP002683BO CSB-EP002683BO CSB-BP002683BO CSB-MP002683BO CSB-EP002683BO-B |
Recombinant Bovine Biglycan (BGN) | Yeast E.coli Baculovirus Mammalian cell In Vivo Biotinylation in E.coli |
BGN Proteins for Mus musculus (Mouse)
| 產品貨號 | 產品名稱 | 來源 |
|---|---|---|
| CSB-YP002683MO CSB-BP002683MO CSB-MP002683MO CSB-EP002683MO-B |
Recombinant Mouse Biglycan (Bgn) | Yeast Baculovirus Mammalian cell In Vivo Biotinylation in E.coli |
| CSB-EP002683MO | Recombinant Mouse Biglycan (Bgn) | E.coli |
BGN Proteins for Canis familiaris (Dog) (Canis lupus familiaris)
| 產品貨號 | 產品名稱 | 來源 |
|---|---|---|
| CSB-YP002683DO CSB-EP002683DO CSB-BP002683DO CSB-MP002683DO CSB-EP002683DO-B |
Recombinant Dog Biglycan (BGN) | Yeast E.coli Baculovirus Mammalian cell In Vivo Biotinylation in E.coli |
BGN Proteins for Oryctolagus cuniculus (Rabbit)
| 產品貨號 | 產品名稱 | 來源 |
|---|---|---|
| CSB-YP002683RB CSB-EP002683RB CSB-BP002683RB CSB-MP002683RB CSB-EP002683RB-B |
Recombinant Rabbit Biglycan (BGN) | Yeast E.coli Baculovirus Mammalian cell In Vivo Biotinylation in E.coli |
BGN Proteins for Ovis aries (Sheep)
| 產品貨號 | 產品名稱 | 來源 |
|---|---|---|
| CSB-YP002683SH CSB-EP002683SH CSB-BP002683SH CSB-MP002683SH CSB-EP002683SH-B |
Recombinant Sheep Biglycan (BGN) | Yeast E.coli Baculovirus Mammalian cell In Vivo Biotinylation in E.coli |
BGN Proteins for Equus caballus (Horse)
| 產品貨號 | 產品名稱 | 來源 |
|---|---|---|
| CSB-YP002683HO CSB-EP002683HO CSB-BP002683HO CSB-MP002683HO CSB-EP002683HO-B |
Recombinant Horse Biglycan (BGN) | Yeast E.coli Baculovirus Mammalian cell In Vivo Biotinylation in E.coli |
BGN Proteins for Rattus norvegicus (Rat)
| 產品貨號 | 產品名稱 | 來源 |
|---|---|---|
| CSB-YP002683RA CSB-EP002683RA CSB-BP002683RA CSB-MP002683RA CSB-EP002683RA-B |
Recombinant Rat Biglycan (Bgn) | Yeast E.coli Baculovirus Mammalian cell In Vivo Biotinylation in E.coli |
BGN Proteins for Xenopus laevis (African clawed frog)
| 產品貨號 | 產品名稱 | 來源 |
|---|---|---|
| CSB-YP002683XBE CSB-EP002683XBE CSB-BP002683XBE CSB-MP002683XBE CSB-EP002683XBE-B |
Recombinant Xenopus laevis Biglycan (bgn), partial | Yeast E.coli Baculovirus Mammalian cell In Vivo Biotinylation in E.coli |
BGN Proteins for Sus scrofa (Pig)
| 產品貨號 | 產品名稱 | 來源 |
|---|---|---|
| CSB-YP002683PI CSB-EP002683PI CSB-BP002683PI CSB-MP002683PI CSB-EP002683PI-B |
Recombinant Pig Biglycan (BGN) | Yeast E.coli Baculovirus Mammalian cell In Vivo Biotinylation in E.coli |
BGN ELISA Kit
BGN ELISA Kit for Homo sapiens (Human)
| 產品貨號 | 產品名稱 | 樣本類型 | 靈敏度 |
|---|---|---|---|
| CSB-EL002683HU | Human Biglycan(BGN) ELISA kit | serum, plasma, tissue homogenates | 0.078 ng/mL |
BGN ELISA Kit for Mus musculus (Mouse)
| 產品貨號 | 產品名稱 | 樣本類型 | 靈敏度 |
|---|---|---|---|
| CSB-EL002683MO | Mouse Biglycan(BGN) ELISA kit | serum, plasma, tissue homogenates | 0.156 ng/mL |






