BCL6
BCL6蛋白,全稱為B細胞淋巴瘤6蛋白,也被稱為B細胞淋巴瘤6、BCL-6等。它是生發中心的關鍵轉錄抑制因子,參與調節多種生物功能和譜系。BCL6蛋白通過與輔阻遏物和組蛋白脫乙酰酶形成復合物,直接結合特定DNA序列,抑制GC B細胞中參與分化、炎癥、凋亡和細胞周期控制的基因。BCL6蛋白與多種疾病相關,包括非霍奇金淋巴瘤、濾泡性淋巴瘤和彌漫性大B細胞淋巴瘤等。在藥物研發方面,針對BCL6的小分子抑制劑和PROTAC降解劑正在被研究,以開發新的治療策略。
熱銷產品
Recombinant Human B-cell lymphoma 6 protein (BCL6) (CSB-EP002625HUe1)
驗證數據
(Tris-Glycine gel) Discontinuous SDS-PAGE (reduced) with 5% enrichment gel and 15% separation gel.
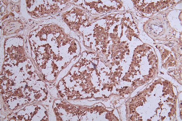
BCL6 Recombinant Monoclonal Antibody (CSB-RA131953A0HU)
驗證數據
IHC image of CSB-RA131953A0HU diluted at 1:33 and staining in paraffin-embedded human testis tissue performed on a Leica BondTM system. After dewaxing and hydration, antigen retrieval was mediated by high pressure in a citrate buffer (pH 6.0). Section was blocked with 10% normal goat serum 30min at RT. Then primary antibody (1% BSA) was incubated at 4°C overnight. The primary is detected by a Goat anti-rabbit polymer IgG labeled by HRP and visualized using 0.73% DAB.
Overlay Peak curve showing Jurkat cells stained with CSB-RA131953A0HU (red line) at 1:50. The cells were fixed in 4% formaldehyde and permeated by 0.2% TritonX-100. Then 10% normal goat serum to block non-specific protein-protein interactions followed by the antibody (1μg/1*106cells) for 45min at 4℃. The secondary antibody used was FITC-conjugated Goat Anti-rabbit IgG(H+L) at 1:200 dilution for 35min at 4℃.Control antibody (green line) was rabbit IgG (1μg/1*106cells) used under the same conditions. Acquisition of >10,000 events was performed.
Human B-cell leukemia/lymphoma 6,Bcl6 ELISA Kit (CSB-E14975h)
驗證數據
貨號:CSB-E14975h
規格:96T/48T
靈敏度:4.68 pg/mL
檢測范圍:18.75 pg/mL-1200 pg/mL
These standard curves are provided for demonstration only. A standard curve should be generated for each set of samples assayed.
BCL6 Antibodies
BCL6 for Homo sapiens (Human)
| 產品貨號 | 產品名稱 | 種屬反應性 | 應用類型 |
|---|---|---|---|
| CSB-PA935424 | BCL6 (Ab-333) Antibody | Human,Mouse | ELISA,WB |
| CSB-PA005439 | BCL6 Antibody | Human,Mouse,Rat | WB, ELISA |
| CSB-PA040219 | Phospho-BCL6 (S333) Antibody | Human,Mouse,Rat | WB, ELISA |
| CSB-PA040220 | BCL6 Antibody | Human,Mouse | IHC, ELISA |
| CSB-PA040221 | BCL6 Antibody | Human,Mouse,Rat | WB, IHC, ELISA |
| CSB-PA908823 | BCL6 Antibody | Human,Mouse | ELISA,IHC |
| CSB-PA171912 | BCL6 Antibody | Human,Mouse | ELISA,WB,IHC |
| CSB-RA131953A0HU | BCL6 Recombinant Monoclonal Antibody | Human | ELISA, IHC, FC |
BCL6 Proteins
BCL6 Proteins for Mus musculus (Mouse)
| 產品貨號 | 產品名稱 | 來源 |
|---|---|---|
| CSB-YP002625MO CSB-EP002625MO CSB-BP002625MO CSB-MP002625MO CSB-EP002625MO-B |
Recombinant Mouse B-cell lymphoma 6 protein homolog (Bcl6) | Yeast E.coli Baculovirus Mammalian cell In Vivo Biotinylation in E.coli |
BCL6 Proteins for Homo sapiens (Human)
| 產品貨號 | 產品名稱 | 來源 |
|---|---|---|
| CSB-YP002625HU CSB-BP002625HU CSB-MP002625HU CSB-EP002625HU-B |
Recombinant Human B-cell lymphoma 6 protein (BCL6) | Yeast Baculovirus Mammalian cell In Vivo Biotinylation in E.coli |
| CSB-EP002625HU | Recombinant Human B-cell lymphoma 6 protein (BCL6) | E.coli |
| CSB-EP002625HU1 | Recombinant Human B-cell lymphoma 6 protein (BCL6), partial | E.coli |
| CSB-EP002625HUe1 | Recombinant Human B-cell lymphoma 6 protein (BCL6) | E.coli |
| CSB-EP002625HUa0 | Recombinant Human B-cell lymphoma 6 protein (BCL6) | E.coli |
BCL6 Proteins for Gallus gallus (Chicken)
| 產品貨號 | 產品名稱 | 來源 |
|---|---|---|
| CSB-YP736607CH CSB-EP736607CH CSB-BP736607CH CSB-MP736607CH CSB-EP736607CH-B |
Recombinant Chicken B-cell lymphoma 6 protein homolog (BCL6), partial | Yeast E.coli Baculovirus Mammalian cell In Vivo Biotinylation in E.coli |
BCL6 ELISA Kit
BCL6 ELISA Kit for Homo sapiens (Human)
| 產品貨號 | 產品名稱 | 樣本類型 | 靈敏度 |
|---|---|---|---|
| CSB-E14975h | Human B-cell leukemia/lymphoma 6,Bcl6 ELISA Kit | serum, plasma, tissue homogenates | 4.68 pg/mL |






