BBOX1
BBOX1,全稱為gamma-butyrobetaine hydroxylase 1,別名BBH、BBOX、G-BBH、gamma-BBH,是一種參與L-肉堿生物合成的酶。該蛋白在能量代謝中發揮著關鍵作用,通過催化gamma-丁基甜菜堿生成L-肉堿,促進長鏈脂肪酸進入線粒體進行氧化供能。BBOX1蛋白廣泛分布于各種組織中,尤其在腎臟和肝臟中表達量較高。
研究表明,BBOX1蛋白的表達與多種疾病密切相關。在腎臟疾病方面,BBOX1蛋白的缺失與透明細胞腎細胞癌(ccRCC)的發生發展密切相關。恢復BBOX1蛋白的表達可以有效抑制ccRCC細胞的生長和腫瘤形成。此外,BBOX1蛋白的表達也與神經性厭食癥(AN)的發生發展有關。AN患者中BBOX1基因的罕見有害突變會導致肉堿合成障礙,進而影響脂肪酸代謝和進食行為。
針對BBOX1蛋白相關疾病,研究人員正在積極探索新的治療策略。例如,針對ccRCC,研究人員開發了BBOX1抑制劑,以抑制ccRCC細胞的生長和腫瘤形成。針對AN,研究人員則考慮通過肉堿補充療法來改善患者的脂肪酸代謝和進食行為。目前,相關藥物研發尚處于早期階段,但仍顯示出一定的臨床應用前景。
熱銷產品
Recombinant Human Gamma-butyrobetaine dioxygenase (BBOX1) (CSB-EP530450HU)
驗證數據
(Tris-Glycine gel) Discontinuous SDS-PAGE (reduced) with 5% enrichment gel and 15% separation gel.
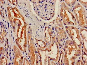
BBOX1 Antibody (CSB-PA530450LA01HU)
驗證數據
Immunohistochemistry of paraffin-embedded human kidney tissue using CSB-PA530450LA01HU at dilution of 1:100
Immunofluorescent analysis of HepG2 cells using CSB-PA530450LA01HU at dilution of 1:100 and Alexa Fluor 488-congugated AffiniPure Goat Anti-Rabbit IgG(H+L)
BBOX1 Antibodies
BBOX1 for Homo sapiens (Human)
| 產品貨號 | 產品名稱 | 種屬反應性 | 應用類型 |
|---|---|---|---|
| CSB-PA530450LA01HU | BBOX1 Antibody | Human | ELISA, IHC, IF |
BBOX1 Proteins
BBOX1 Proteins for Homo sapiens (Human)
| 產品貨號 | 產品名稱 | 來源 |
|---|---|---|
| CSB-YP530450HU CSB-MP530450HU CSB-EP530450HU-B |
Recombinant Human Gamma-butyrobetaine dioxygenase (BBOX1) | Yeast Mammalian cell In Vivo Biotinylation in E.coli |
| CSB-EP530450HU | Recombinant Human Gamma-butyrobetaine dioxygenase (BBOX1) | E.coli |
| CSB-BP530450HU | Recombinant Human Gamma-butyrobetaine dioxygenase (BBOX1) | Baculovirus |






