ATP2A2
ATP2A2,全稱為肌漿網/內質網鈣ATP酶2,常用別名是SERCA2。它是細胞內調控鈣元素分布的關鍵分子,能把細胞質里的鈣離子轉運到內質網或肌漿網中儲存,既保證細胞正常的生理活動(比如肌肉收縮后順利舒張),也避免鈣過多對細胞造成損傷。
ATP2A2功能出現異常,可能引發多種疾病。最典型的是毛囊角化病(Darier病)——因ATP2A2基因突變導致,患者皮膚會出現粗糙的丘疹和鱗屑,常見于頭皮、面部等皮脂腺豐富區域,伴隨瘙癢或輕微疼痛。此外,它的活性下降還與心力衰竭相關,心臟細胞內鈣平衡被打破,影響心肌收縮功能。目前,針對它的藥物研發正在推進:一些能增強其活性的小分子化合物進入臨床試驗階段,希望通過恢復鈣的正常調控來改善心臟功能,為相關疾病治療帶來新方向。
熱銷產品
ATP9A Antibody (CSB-PA002422LA01HU)
驗證數據
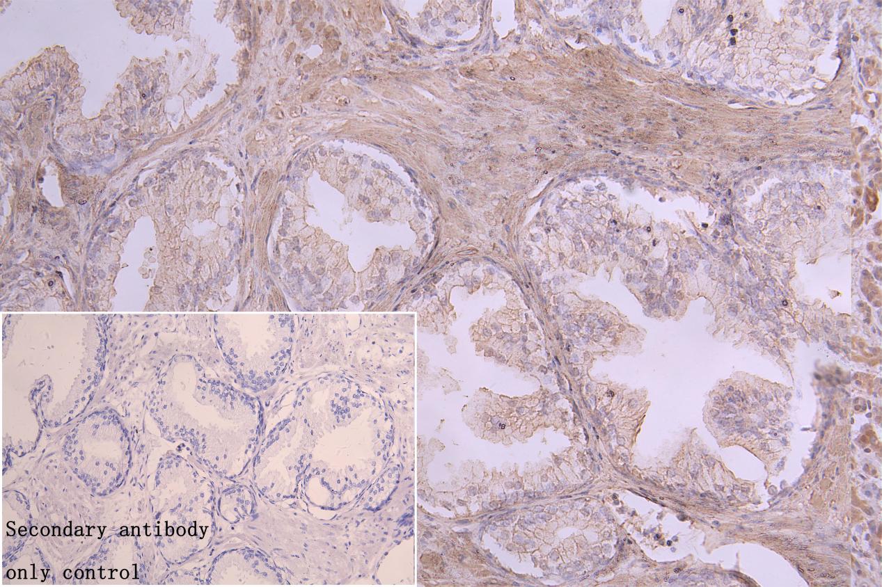
IHC image of CSB-PA002422LA01HU diluted at 1:50 and staining in paraffin-embedded human prostate tissue performed on a Leica BondTM system. After dewaxing and hydration, antigen retrieval was mediated by high pressure in a citrate buffer (pH 6.0). Section was blocked with 10% normal goat serum 30min at RT. Then primary antibody (1% BSA) was incubated at 4°C overnight. The primary is detected by a Goat anti-rabbit polymer IgG labeled by HRP and visualized using 0.05% DAB. Secondary antibody only control: uses 1% BSA instead of primary antibody
Immunofluorescence staining of A549 cell with CSB-PA002422LA01HU at 1:20, counter-stained with DAPI. The cells were fixed in 4% formaldehyde and blocked in 10% normal Goat Serum. The cells were then incubated with the antibody overnight at 4C. The secondary antibody was Alexa Fluor 488-congugated AffiniPure Goat Anti-Rabbit IgG(H+L).
Immunofluorescence staining of A549 cell with 5% goat serum, counter-stained with DAPI. The cells were fixed in 4% formaldehyde and blocked in 10% normal Goat Serum. The cells were then incubated with the antibody overnight at 4C. The secondary antibody was Alexa Fluor 488-congugated AffiniPure Goat Anti-Rabbit IgG(H+L).
Western Blot
Positive WB detected in: A549 whole cell lysate, Hela whole cell lysate, SY5Y whole cell lysate
All lanes: ATP9A antibody at 1:1000
Secondary
Goat polyclonal to rabbit IgG at 1/50000 dilution
Predicted band size: 118 kDa
Observed band size: 118 kDa
ATP2A2 Antibodies
ATP2A2 for Homo sapiens (Human)
| 產品貨號 | 產品名稱 | 種屬反應性 | 應用類型 |
|---|---|---|---|
| CSB-PA002422GA01HU | ATP9A Antibody | Human,Mouse,Rat | ELISA,WB |
| CSB-PA002333GA01HU | ATP2A2 Antibody | Human,Mouse,Rat | ELISA,WB |
| CSB-PA005808 | ATP2A2 Antibody | Human,Mouse,Rat | WB, ELISA |
| CSB-PA002333LA01HU | ATP2A2 Antibody | Human, Mouse | ELISA, WB, IHC, IF |
| CSB-PA002333LB01HU | ATP2A2 Antibody, HRP conjugated | Human | ELISA |
| CSB-PA002422LA01HU | ATP9A Antibody | Human | ELISA, WB, IHC, IF |
| CSB-RA076873A0HU | ATP2A2 Recombinant Monoclonal Antibody | Human | ELISA, IHC, IF, FC |
ATP2A2 Proteins
ATP2A2 Proteins for Sus scrofa (Pig)
| 產品貨號 | 產品名稱 | 來源 |
|---|---|---|
| CSB-YP002333PI CSB-EP002333PI CSB-BP002333PI CSB-MP002333PI CSB-EP002333PI-B |
Recombinant Pig Sarcoplasmic/endoplasmic reticulum calcium ATPase 2 (ATP2A2), partial | Yeast E.coli Baculovirus Mammalian cell In Vivo Biotinylation in E.coli |
ATP2A2 Proteins for Oryctolagus cuniculus (Rabbit)
| 產品貨號 | 產品名稱 | 來源 |
|---|---|---|
| CSB-YP002333RB CSB-EP002333RB CSB-BP002333RB CSB-MP002333RB CSB-EP002333RB-B |
Recombinant Rabbit Sarcoplasmic/endoplasmic reticulum calcium ATPase 2 (ATP2A2), partial | Yeast E.coli Baculovirus Mammalian cell In Vivo Biotinylation in E.coli |
ATP2A2 Proteins for Homo sapiens (Human)
| 產品貨號 | 產品名稱 | 來源 |
|---|---|---|
| CSB-YP002333HU CSB-BP002333HU CSB-MP002333HU CSB-EP002333HU-B |
Recombinant Human Sarcoplasmic/endoplasmic reticulum calcium ATPase 2 (ATP2A2), partial | Yeast Baculovirus Mammalian cell In Vivo Biotinylation in E.coli |
| CSB-YP002422HU CSB-EP002422HU CSB-BP002422HU CSB-MP002422HU CSB-EP002422HU-B |
Recombinant Human Probable phospholipid-transporting ATPase IIA (ATP9A), partial | Yeast E.coli Baculovirus Mammalian cell In Vivo Biotinylation in E.coli |
| CSB-EP002333HU | Recombinant Human Sarcoplasmic/endoplasmic reticulum calcium ATPase 2 (ATP2A2), partial | E.coli |
| CSB-EP002333HUc7 | Recombinant Human Sarcoplasmic/endoplasmic reticulum calcium ATPase 2 (ATP2A2), partial | E.coli |
ATP2A2 Proteins for Canis familiaris (Dog) (Canis lupus familiaris)
| 產品貨號 | 產品名稱 | 來源 |
|---|---|---|
| CSB-YP002333DO CSB-EP002333DO CSB-BP002333DO CSB-MP002333DO CSB-EP002333DO-B |
Recombinant Dog Sarcoplasmic/endoplasmic reticulum calcium ATPase 2 (ATP2A2), partial | Yeast E.coli Baculovirus Mammalian cell In Vivo Biotinylation in E.coli |
ATP2A2 Proteins for Mus musculus (Mouse)
| 產品貨號 | 產品名稱 | 來源 |
|---|---|---|
| CSB-YP002333MO CSB-EP002333MO CSB-BP002333MO CSB-MP002333MO CSB-EP002333MO-B |
Recombinant Mouse Sarcoplasmic/endoplasmic reticulum calcium ATPase 2 (Atp2a2), partial | Yeast E.coli Baculovirus Mammalian cell In Vivo Biotinylation in E.coli |
ATP2A2 Proteins for Rattus norvegicus (Rat)
| 產品貨號 | 產品名稱 | 來源 |
|---|---|---|
| CSB-YP002333RA CSB-EP002333RA CSB-BP002333RA CSB-MP002333RA CSB-EP002333RA-B |
Recombinant Rat Sarcoplasmic/endoplasmic reticulum calcium ATPase 2 (Atp2a2), partial | Yeast E.coli Baculovirus Mammalian cell In Vivo Biotinylation in E.coli |






