ATG5
ATG5,全稱自噬相關5蛋白,是細胞自噬過程中的關鍵參與者。該蛋白常見別名為APG5L,在自噬體形成中發揮重要作用。ATG5通過與ATG12結合,形成ATG12-ATG5復合物,進而參與自噬體的隔離膜形成。這一過程對于細胞內受損細胞器、錯誤折疊蛋白質和病原體的清除至關重要,維持細胞穩態。ATG5的表達在細胞凋亡過程中相對較晚出現,通常在caspase活性下游高表達,提示其在凋亡過程中也扮演一定角色。
ATG5與多種疾病相關,包括神經退行性疾病和癌癥。在藥物研發方面,已有研究團隊致力于開發靶向ATG5相關蛋白-蛋白相互作用的小分子抑制劑,以調控自噬過程,為相關疾病的治療提供新策略。例如,南方醫科大學何翔教授團隊發現,環狀RNA CircHipk3通過抑制自噬相關蛋白Atg5和Beclin1,加劇了巨噬細胞焦亡,從而促進腹主動脈瘤的形成,為該疾病的治療提供了潛在靶點。這些研究進展表明,ATG5及其相關通路是疾病治療的重要方向。
熱銷產品
ATG5 Antibody (CSB-PA15499A0Rb)
驗證數據
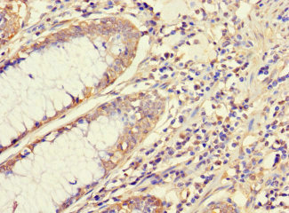
Immunohistochemistry of paraffin-embedded human colon cancer using CSB-PA15499A0Rb at dilution of 1:100
Immunohistochemistry of paraffin-embedded human brain tissue using CSB-PA15499A0Rb at dilution of 1:100
Immunofluorescent analysis of MCF-7 cells using CSB-PA15499A0Rb at dilution of 1:100 and Alexa Fluor 488-congugated AffiniPure Goat Anti-Rabbit IgG(H+L)
ATG5 Antibodies
ATG5 for Homo sapiens (Human)
| 產品貨號 | 產品名稱 | 種屬反應性 | 應用類型 |
|---|---|---|---|
| CSB-PA002293GA01HU | ATG5 Antibody | Human,Mouse,Rat | ELISA,WB,IHC |
| CSB-PA028037 | ATG5 Antibody | Human,Mouse,Rat | ELISA,WB,IHC |
| CSB-PA931023 | ATG5 Antibody | Human,Mouse,Rat | ELISA,IHC |
| CSB-PA15499A0Rb | ATG5 Antibody | Human | ELISA, IHC, IF |
| CSB-PA15499B0Rb | ATG5 Antibody, HRP conjugated | Human | ELISA |
| CSB-PA334611 | ATG5 Antibody | Human,Mouse,Rat | IHC, ELISA |
| CSB-MA518180 | ATG5 Monoclonal Antibody | Human,Mouse,Rat | ELISA,WB,IHC |
| CSB-MA172954 | ATG5 Monoclonal Antibody | Human,Mouse,Rat | ELISA,IHC |
ATG5 Proteins
ATG5 Proteins for Cryptococcus neoformans var. neoformans serotype D (strain JEC21 / ATCC MYA-565) (Filobasidiella neoformans)
| 產品貨號 | 產品名稱 | 來源 |
|---|---|---|
| CSB-YP002293CTL CSB-EP002293CTL CSB-BP002293CTL CSB-MP002293CTL CSB-EP002293CTL-B |
Recombinant Cryptococcus neoformans var. neoformans serotype D Autophagy protein 5 (ATG5) | Yeast E.coli Baculovirus Mammalian cell In Vivo Biotinylation in E.coli |
ATG5 Proteins for Cryptococcus neoformans var. neoformans serotype D (strain B-3501A) (Filobasidiella neoformans)
| 產品貨號 | 產品名稱 | 來源 |
|---|---|---|
| CSB-YP002293CTK CSB-EP002293CTK CSB-BP002293CTK CSB-MP002293CTK CSB-EP002293CTK-B |
Recombinant Cryptococcus neoformans var. neoformans serotype D Autophagy protein 5 (ATG5) | Yeast E.coli Baculovirus Mammalian cell In Vivo Biotinylation in E.coli |
ATG5 Proteins for Aspergillus clavatus (strain ATCC 1007 / CBS 513.65 / DSM 816 / NCTC 3887 / NRRL 1)
| 產品貨號 | 產品名稱 | 來源 |
|---|---|---|
| CSB-YP002293AVC CSB-EP002293AVC CSB-BP002293AVC CSB-MP002293AVC CSB-EP002293AVC-B |
Recombinant Aspergillus clavatus Autophagy protein 5 (atg5) | Yeast E.coli Baculovirus Mammalian cell In Vivo Biotinylation in E.coli |
ATG5 Proteins for Neosartorya fischeri (strain ATCC 1020 / DSM 3700 / FGSC A1164 / NRRL 181) (Aspergillus fischerianus)
| 產品貨號 | 產品名稱 | 來源 |
|---|---|---|
| CSB-YP002293NEZ CSB-EP002293NEZ CSB-BP002293NEZ CSB-MP002293NEZ CSB-EP002293NEZ-B |
Recombinant Neosartorya fischeri Autophagy protein 5 (atg5) | Yeast E.coli Baculovirus Mammalian cell In Vivo Biotinylation in E.coli |
ATG5 Proteins for Oryza sativa subsp. indica (Rice)
| 產品貨號 | 產品名稱 | 來源 |
|---|---|---|
| CSB-YP002293OFF CSB-EP002293OFF CSB-BP002293OFF CSB-MP002293OFF CSB-EP002293OFF-B |
Recombinant Oryza sativa subsp. indica Autophagy protein 5 (ATG5) | Yeast E.coli Baculovirus Mammalian cell In Vivo Biotinylation in E.coli |
ATG5 Proteins for Scheffersomyces stipitis (strain ATCC 58785 / CBS 6054 / NBRC 10063 / NRRL Y-11545) (Yeast) (Pichia stipitis)
| 產品貨號 | 產品名稱 | 來源 |
|---|---|---|
| CSB-YP002293SXM CSB-EP002293SXM CSB-BP002293SXM CSB-MP002293SXM CSB-EP002293SXM-B |
Recombinant Scheffersomyces stipitis Autophagy protein 5 (ATG5) | Yeast E.coli Baculovirus Mammalian cell In Vivo Biotinylation in E.coli |
ATG5 Proteins for Lodderomyces elongisporus (strain ATCC 11503 / CBS 2605 / JCM 1781 / NBRC 1676 / NRRL YB-4239) (Yeast) (Saccharomyces elongisporus)
| 產品貨號 | 產品名稱 | 來源 |
|---|---|---|
| CSB-YP002293LLV CSB-EP002293LLV CSB-BP002293LLV CSB-MP002293LLV CSB-EP002293LLV-B |
Recombinant Lodderomyces elongisporus Autophagy protein 5 (ATG5) | Yeast E.coli Baculovirus Mammalian cell In Vivo Biotinylation in E.coli |
ATG5 Proteins for Meyerozyma guilliermondii (strain ATCC 6260 / CBS 566 / DSM 6381 / JCM 1539 / NBRC 10279 / NRRL Y-324) (Yeast) (Candida guilliermondii)
| 產品貨號 | 產品名稱 | 來源 |
|---|---|---|
| CSB-YP002293MTM CSB-EP002293MTM CSB-BP002293MTM CSB-MP002293MTM CSB-EP002293MTM-B |
Recombinant Meyerozyma guilliermondii Autophagy protein 5 (ATG5) | Yeast E.coli Baculovirus Mammalian cell In Vivo Biotinylation in E.coli |
ATG5 Proteins for Saccharomyces cerevisiae (strain YJM789) (Baker's yeast)
| 產品貨號 | 產品名稱 | 來源 |
|---|---|---|
| CSB-YP002293STA CSB-EP002293STA CSB-BP002293STA CSB-MP002293STA CSB-EP002293STA-B |
Recombinant Saccharomyces cerevisiae Autophagy protein 5 (ATG5) | Yeast E.coli Baculovirus Mammalian cell In Vivo Biotinylation in E.coli |
ATG5 Proteins for Ajellomyces capsulata (strain NAm1 / WU24) (Darling's disease fungus) (Histoplasma capsulatum)
| 產品貨號 | 產品名稱 | 來源 |
|---|---|---|
| CSB-YP002293AUN CSB-EP002293AUN CSB-BP002293AUN CSB-MP002293AUN CSB-EP002293AUN-B |
Recombinant Ajellomyces capsulata Autophagy protein 5 (ATG5) | Yeast E.coli Baculovirus Mammalian cell In Vivo Biotinylation in E.coli |
ATG5 Proteins for Sclerotinia sclerotiorum (strain ATCC 18683 / 1980 / Ss-1) (White mold) (Whetzelinia sclerotiorum)
| 產品貨號 | 產品名稱 | 來源 |
|---|---|---|
| CSB-YP002293STG CSB-EP002293STG CSB-BP002293STG CSB-MP002293STG CSB-EP002293STG-B |
Recombinant Sclerotinia sclerotiorum Autophagy protein 5 (atg5) | Yeast E.coli Baculovirus Mammalian cell In Vivo Biotinylation in E.coli |
ATG5 Proteins for Vanderwaltozyma polyspora (strain ATCC 22028 / DSM 70294) (Kluyveromyces polysporus)
| 產品貨號 | 產品名稱 | 來源 |
|---|---|---|
| CSB-YP002293VDW CSB-EP002293VDW CSB-BP002293VDW CSB-MP002293VDW CSB-EP002293VDW-B |
Recombinant Vanderwaltozyma polyspora Autophagy protein 5 (ATG5) | Yeast E.coli Baculovirus Mammalian cell In Vivo Biotinylation in E.coli |
ATG5 Proteins for Pichia angusta (Yeast) (Hansenula polymorpha)
| 產品貨號 | 產品名稱 | 來源 |
|---|---|---|
| CSB-YP002293EVQ CSB-EP002293EVQ CSB-BP002293EVQ CSB-MP002293EVQ CSB-EP002293EVQ-B |
Recombinant Pichia angusta Autophagy protein 5 (ATG5) | Yeast E.coli Baculovirus Mammalian cell In Vivo Biotinylation in E.coli |
ATG5 Proteins for Penicillium chrysogenum (strain ATCC 28089 / DSM 1075 / Wisconsin 54-1255) (Penicillium notatum)
| 產品貨號 | 產品名稱 | 來源 |
|---|---|---|
| CSB-YP002293ETH CSB-EP002293ETH CSB-BP002293ETH CSB-MP002293ETH CSB-EP002293ETH-B |
Recombinant Penicillium chrysogenum Autophagy protein 5 (atg5) | Yeast E.coli Baculovirus Mammalian cell In Vivo Biotinylation in E.coli |
ATG5 Proteins for Schizosaccharomyces pombe (strain 972 / ATCC 24843) (Fission yeast)
| 產品貨號 | 產品名稱 | 來源 |
|---|---|---|
| CSB-YP002293SXV CSB-EP002293SXV CSB-BP002293SXV CSB-MP002293SXV CSB-EP002293SXV-B |
Recombinant Schizosaccharomyces pombe Autophagy protein 5 (atg5) | Yeast E.coli Baculovirus Mammalian cell In Vivo Biotinylation in E.coli |
ATG5 Proteins for Aspergillus terreus (strain NIH 2624 / FGSC A1156)
| 產品貨號 | 產品名稱 | 來源 |
|---|---|---|
| CSB-YP607708APT CSB-EP607708APT CSB-BP607708APT CSB-MP607708APT CSB-EP607708APT-B |
Recombinant Aspergillus terreus Autophagy protein 5 (atg5) | Yeast E.coli Baculovirus Mammalian cell In Vivo Biotinylation in E.coli |
ATG5 Proteins for Phaeosphaeria nodorum (strain SN15 / ATCC MYA-4574 / FGSC 10173) (Glume blotch fungus) (Septoria nodorum)
| 產品貨號 | 產品名稱 | 來源 |
|---|---|---|
| CSB-YP611707EUG CSB-EP611707EUG CSB-BP611707EUG CSB-MP611707EUG CSB-EP611707EUG-B |
Recombinant Phaeosphaeria nodorum Autophagy protein 5 (ATG5) | Yeast E.coli Baculovirus Mammalian cell In Vivo Biotinylation in E.coli |
ATG5 Proteins for Saccharomyces cerevisiae (strain ATCC 204508 / S288c) (Baker's yeast)
| 產品貨號 | 產品名稱 | 來源 |
|---|---|---|
| CSB-YP619592SVG CSB-EP619592SVG CSB-BP619592SVG CSB-MP619592SVG CSB-EP619592SVG-B |
Recombinant Saccharomyces cerevisiae Autophagy protein 5 (ATG5) | Yeast E.coli Baculovirus Mammalian cell In Vivo Biotinylation in E.coli |
ATG5 Proteins for Coccidioides immitis (strain RS) (Valley fever fungus)
| 產品貨號 | 產品名稱 | 來源 |
|---|---|---|
| CSB-YP627749DUV CSB-EP627749DUV CSB-BP627749DUV CSB-MP627749DUV CSB-EP627749DUV-B |
Recombinant Coccidioides immitis Autophagy protein 5 (ATG5) | Yeast E.coli Baculovirus Mammalian cell In Vivo Biotinylation in E.coli |
ATG5 Proteins for Chaetomium globosum (strain ATCC 6205 / CBS 148.51 / DSM 1962 / NBRC 6347 / NRRL 1970) (Soil fungus)
| 產品貨號 | 產品名稱 | 來源 |
|---|---|---|
| CSB-YP646242CHI CSB-EP646242CHI CSB-BP646242CHI CSB-MP646242CHI CSB-EP646242CHI-B |
Recombinant Chaetomium globosum Autophagy protein 5 (ATG5) | Yeast E.coli Baculovirus Mammalian cell In Vivo Biotinylation in E.coli |
ATG5 Proteins for Aspergillus oryzae (strain ATCC 42149 / RIB 40) (Yellow koji mold)
| 產品貨號 | 產品名稱 | 來源 |
|---|---|---|
| CSB-YP648816DPA CSB-EP648816DPA CSB-BP648816DPA CSB-MP648816DPA CSB-EP648816DPA-B |
Recombinant Aspergillus oryzae Autophagy protein 5 (atg5) | Yeast E.coli Baculovirus Mammalian cell In Vivo Biotinylation in E.coli |
ATG5 Proteins for Sus scrofa (Pig)
| 產品貨號 | 產品名稱 | 來源 |
|---|---|---|
| CSB-YP659534PI CSB-EP659534PI CSB-BP659534PI CSB-MP659534PI CSB-EP659534PI-B |
Recombinant Pig Autophagy protein 5 (ATG5) | Yeast E.coli Baculovirus Mammalian cell In Vivo Biotinylation in E.coli |
ATG5 Proteins for Bos taurus (Bovine)
| 產品貨號 | 產品名稱 | 來源 |
|---|---|---|
| CSB-YP662142BO CSB-EP662142BO CSB-BP662142BO CSB-MP662142BO CSB-EP662142BO-B |
Recombinant Bovine Autophagy protein 5 (ATG5) | Yeast E.coli Baculovirus Mammalian cell In Vivo Biotinylation in E.coli |
ATG5 Proteins for Rattus norvegicus (Rat)
| 產品貨號 | 產品名稱 | 來源 |
|---|---|---|
| CSB-YP664751RA CSB-EP664751RA CSB-BP664751RA CSB-MP664751RA CSB-EP664751RA-B |
Recombinant Rat Autophagy protein 5 (Atg5) | Yeast E.coli Baculovirus Mammalian cell In Vivo Biotinylation in E.coli |
ATG5 Proteins for Neosartorya fumigata (strain ATCC MYA-4609 / Af293 / CBS 101355 / FGSC A1100) (Aspergillus fumigatus)
| 產品貨號 | 產品名稱 | 來源 |
|---|---|---|
| CSB-YP687235NGS CSB-EP687235NGS CSB-BP687235NGS CSB-MP687235NGS CSB-EP687235NGS-B |
Recombinant Neosartorya fumigata Autophagy protein 5 (atg5) | Yeast E.coli Baculovirus Mammalian cell In Vivo Biotinylation in E.coli |
ATG5 Proteins for Magnaporthe oryzae (strain 70-15 / ATCC MYA-4617 / FGSC 8958) (Rice blast fungus) (Pyricularia oryzae)
| 產品貨號 | 產品名稱 | 來源 |
|---|---|---|
| CSB-YP687438MPM CSB-EP687438MPM CSB-BP687438MPM CSB-MP687438MPM CSB-EP687438MPM-B |
Recombinant Magnaporthe oryzae Autophagy protein 5 (ATG5) | Yeast E.coli Baculovirus Mammalian cell In Vivo Biotinylation in E.coli |
ATG5 Proteins for Candida albicans (strain SC5314 / ATCC MYA-2876) (Yeast)
| 產品貨號 | 產品名稱 | 來源 |
|---|---|---|
| CSB-YP701596CZD CSB-EP701596CZD CSB-BP701596CZD CSB-MP701596CZD CSB-EP701596CZD-B |
Recombinant Candida albicans Autophagy protein 5 (ATG5) | Yeast E.coli Baculovirus Mammalian cell In Vivo Biotinylation in E.coli |
ATG5 Proteins for Emericella nidulans (strain FGSC A4 / ATCC 38163 / CBS 112.46 / NRRL 194 / M139) (Aspergillus nidulans)
| 產品貨號 | 產品名稱 | 來源 |
|---|---|---|
| CSB-YP701662EKF CSB-EP701662EKF CSB-BP701662EKF CSB-MP701662EKF CSB-EP701662EKF-B |
Recombinant Emericella nidulans Autophagy protein 5 (atg5) | Yeast E.coli Baculovirus Mammalian cell In Vivo Biotinylation in E.coli |
ATG5 Proteins for Dictyostelium discoideum (Slime mold)
| 產品貨號 | 產品名稱 | 來源 |
|---|---|---|
| CSB-YP706720DKK CSB-EP706720DKK CSB-BP706720DKK CSB-MP706720DKK CSB-EP706720DKK-B |
Recombinant Dictyostelium discoideum Autophagy protein 5 (atg5) | Yeast E.coli Baculovirus Mammalian cell In Vivo Biotinylation in E.coli |
ATG5 Proteins for Pongo abelii (Sumatran orangutan)
| 產品貨號 | 產品名稱 | 來源 |
|---|---|---|
| CSB-YP722312PYX CSB-EP722312PYX CSB-BP722312PYX CSB-MP722312PYX CSB-EP722312PYX-B |
Recombinant Pongo abelii Autophagy protein 5 (ATG5) | Yeast E.coli Baculovirus Mammalian cell In Vivo Biotinylation in E.coli |
ATG5 Proteins for Debaryomyces hansenii (strain ATCC 36239 / CBS 767 / JCM 1990 / NBRC 0083 / IGC 2968) (Yeast) (Torulaspora hansenii)
| 產品貨號 | 產品名稱 | 來源 |
|---|---|---|
| CSB-YP728218DIS CSB-EP728218DIS CSB-BP728218DIS CSB-MP728218DIS CSB-EP728218DIS-B |
Recombinant Debaryomyces hansenii Autophagy protein 5 (ATG5) | Yeast E.coli Baculovirus Mammalian cell In Vivo Biotinylation in E.coli |
ATG5 Proteins for Kluyveromyces lactis (strain ATCC 8585 / CBS 2359 / DSM 70799 / NBRC 1267 / NRRL Y-1140 / WM37) (Yeast) (Candida sphaerica)
| 產品貨號 | 產品名稱 | 來源 |
|---|---|---|
| CSB-YP735097KBK CSB-EP735097KBK CSB-BP735097KBK CSB-MP735097KBK CSB-EP735097KBK-B |
Recombinant Kluyveromyces lactis Autophagy protein 5 (ATG5) | Yeast E.coli Baculovirus Mammalian cell In Vivo Biotinylation in E.coli |
ATG5 Proteins for Yarrowia lipolytica (strain CLIB 122 / E 150) (Yeast) (Candida lipolytica)
| 產品貨號 | 產品名稱 | 來源 |
|---|---|---|
| CSB-YP738280YAP CSB-EP738280YAP CSB-BP738280YAP CSB-MP738280YAP CSB-EP738280YAP-B |
Recombinant Yarrowia lipolytica Autophagy protein 5 (ATG5) | Yeast E.coli Baculovirus Mammalian cell In Vivo Biotinylation in E.coli |
ATG5 Proteins for Candida glabrata (strain ATCC 2001 / CBS 138 / JCM 3761 / NBRC 0622 / NRRL Y-65) (Yeast) (Torulopsis glabrata)
| 產品貨號 | 產品名稱 | 來源 |
|---|---|---|
| CSB-YP738895CZI CSB-EP738895CZI CSB-BP738895CZI CSB-MP738895CZI CSB-EP738895CZI-B |
Recombinant Candida glabrata Autophagy protein 5 (ATG5) | Yeast E.coli Baculovirus Mammalian cell In Vivo Biotinylation in E.coli |
ATG5 Proteins for Oryza sativa subsp. japonica (Rice)
| 產品貨號 | 產品名稱 | 來源 |
|---|---|---|
| CSB-YP761620OFG CSB-EP761620OFG CSB-BP761620OFG CSB-MP761620OFG CSB-EP761620OFG-B |
Recombinant Oryza sativa subsp. japonica Autophagy protein 5 (ATG5) | Yeast E.coli Baculovirus Mammalian cell In Vivo Biotinylation in E.coli |
ATG5 Proteins for Ashbya gossypii (strain ATCC 10895 / CBS 109.51 / FGSC 9923 / NRRL Y-1056) (Yeast) (Eremothecium gossypii)
| 產品貨號 | 產品名稱 | 來源 |
|---|---|---|
| CSB-YP765661DOT CSB-EP765661DOT CSB-BP765661DOT CSB-MP765661DOT CSB-EP765661DOT-B |
Recombinant Ashbya gossypii Autophagy protein 5 (ATG5) | Yeast E.coli Baculovirus Mammalian cell In Vivo Biotinylation in E.coli |
ATG5 Proteins for Mus musculus (Mouse)
| 產品貨號 | 產品名稱 | 來源 |
|---|---|---|
| CSB-YP859123MO CSB-BP859123MO CSB-MP859123MO CSB-EP859123MO-B |
Recombinant Mouse Autophagy protein 5 (Atg5) | Yeast Baculovirus Mammalian cell In Vivo Biotinylation in E.coli |
ATG5 Proteins for Homo sapiens (Human)
| 產品貨號 | 產品名稱 | 來源 |
|---|---|---|
| CSB-YP863954HU CSB-EP863954HU CSB-BP863954HU CSB-MP863954HU CSB-EP863954HU-B |
Recombinant Human Autophagy protein 5 (ATG5) | Yeast E.coli Baculovirus Mammalian cell In Vivo Biotinylation in E.coli |
ATG5 Proteins for Arabidopsis thaliana (Mouse-ear cress)
| 產品貨號 | 產品名稱 | 來源 |
|---|---|---|
| CSB-YP880718DOA CSB-EP880718DOA CSB-BP880718DOA CSB-MP880718DOA CSB-EP880718DOA-B |
Recombinant Arabidopsis thaliana Autophagy protein 5 (ATG5) | Yeast E.coli Baculovirus Mammalian cell In Vivo Biotinylation in E.coli |
ATG5 Proteins for Drosophila melanogaster (Fruit fly)
| 產品貨號 | 產品名稱 | 來源 |
|---|---|---|
| CSB-YP895235DLU CSB-EP895235DLU CSB-BP895235DLU CSB-MP895235DLU CSB-EP895235DLU-B |
Recombinant Drosophila melanogaster Autophagy protein 5 (Atg5) | Yeast E.coli Baculovirus Mammalian cell In Vivo Biotinylation in E.coli |






