ASPM
ASPM,全稱異常紡錘體樣小頭畸形相關蛋白,是一種與細胞分裂和神經發育相關的蛋白質。它主要參與紡錘體的形成和功能的維持,確保細胞分裂過程中染色體的正確分離。ASPM蛋白也被稱為Calmbp1、ASP或FLJ10517,在進化上高度保守,對神經細胞的增殖和分化,尤其是在腦發育過程中起著關鍵作用。
ASPM蛋白的突變會導致常染色體隱性原發性小頭畸形,這是一種罕見的遺傳病,表現為大腦皮層尺寸小,頭圍比年齡相關的平均值低3個標準差,并伴隨神經發育遲滯和不同程度的智力障礙。研究表明,ASPM蛋白在腫瘤發生發展中也可能發揮作用,其過表達與多種癌癥相關,包括膠質母細胞瘤、前列腺癌、膀胱癌和肝癌等。因此,ASPM蛋白成為癌癥研究和藥物研發的一個重要目標。
針對ASPM蛋白的藥物研發主要集中在靶向蛋白降解技術,通過抑制ASPM蛋白的表達或功能,來達到治療癌癥的目的。目前,已有一些基于ASPM蛋白的PROTAC分子進入臨床試驗階段,顯示出良好的抗腫瘤活性。未來,隨著對ASPM蛋白研究的深入,基于ASPM蛋白的藥物研發將為癌癥患者提供新的治療選擇。
熱銷產品
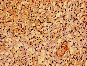
ASPM Antibody (CSB-PA814245LA01HU)
驗證數據
Immunohistochemistry of paraffin-embedded human adrenal gland tissue using CSB-PA814245LA01HU at dilution of 1:100
Immunohistochemistry of paraffin-embedded human lung tissue using CSB-PA814245LA01HU at dilution of 1:100
Immunofluorescent analysis of Hela cells using CSB-PA814245LA01HU at dilution of 1:100 and Alexa Fluor 488-congugated AffiniPure Goat Anti-Rabbit IgG(H+L)
ASPM Antibodies
ASPM for Homo sapiens (Human)
| 產品貨號 | 產品名稱 | 種屬反應性 | 應用類型 |
|---|---|---|---|
| CSB-PA814245LA01HU | ASPM Antibody | Human | ELISA, IHC, IF |
| CSB-PA814245LD01HU | ASPM Antibody, Biotin conjugated | Human | ELISA |
ASPM Proteins
ASPM Proteins for Homo sapiens (Human)
| 產品貨號 | 產品名稱 | 來源 |
|---|---|---|
| CSB-YP814245HU CSB-EP814245HU CSB-BP814245HU CSB-MP814245HU CSB-EP814245HU-B |
Recombinant Human Abnormal spindle-like microcephaly-associated protein (ASPM), partial | Yeast E.coli Baculovirus Mammalian cell In Vivo Biotinylation in E.coli |






