ARIH2
ARIH2,全稱為Ariadne RBR E3泛素蛋白連接酶2,是一種參與蛋白質降解的重要酶。該蛋白在多種組織中廣泛表達,尤其在甲狀腺和心臟中表達量較高。ARIH2蛋白能夠將泛素分子連接到目標蛋白質上,從而標記這些蛋白質進行降解。這一過程對于細胞內蛋白質穩態的維持至關重要。研究表明,ARIH2蛋白上調某些癌細胞中的p53蛋白表達,并可能抑制骨髓細胞生成。此外,ARIH2蛋白還與免疫系統的功能密切相關,其在樹突狀細胞中能夠促進免疫反應的調節。目前,針對ARIH2蛋白的藥物研發尚處于早期階段,但其在癌癥和免疫系統疾病治療中具有巨大的潛力。
熱銷產品
ARIH2 Antibody (CSB-PA002069LA01HU)
驗證數據
Western Blot
Positive WB detected in: HEK293 whole cell lysate, Hela whole cell lysate, Jurkat whole cell lysate, Mouse heart tissue, Mouse liver tissue, Mouse brain tissue
All lanes: ARIH2 antibody at 3μg/ml
Secondary
Goat polyclonal to rabbit IgG at 1/50000 dilution
Predicted band size: 58 kDa
Observed band size: 58 kDa
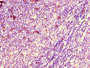
Immunohistochemistry of paraffin-embedded human lymph node tissue using CSB-PA002069LA01HU at dilution of 1:100
Western Blot
Positive WB detected in: 293 whole cell lysate, Hela whole cell lysate, 293T whole cell lysate, Jurkat whole cell lysate, K562 whole cell lysate, U251 whole cell lysate, PC-3 whole cell lysate, Mouse kidney tissue, Mouse brain tissue
All lanes: ARIH2 antibody at 1:2000
Secondary
Goat polyclonal to rabbit IgG at 1/50000 dilution
Predicted band size: 58 kDa
Observed band size: 68 kDa
ARIH2 Antibodies
ARIH2 for Homo sapiens (Human)
| 產品貨號 | 產品名稱 | 種屬反應性 | 應用類型 |
|---|---|---|---|
| CSB-PA002069GA01HU | ARIH2 Antibody | Human,Mouse,Rat | ELISA,WB |
| CSB-PA240267 | ARIH2 Antibody | Human,Mouse | ELISA,WB |
| CSB-PA002069ESR1HU | ARIH2 Antibody | Human | ELISA, IHC |
| CSB-PA002069LA01HU | ARIH2 Antibody | Human, Mouse | ELISA, WB, IHC |
ARIH2 Proteins
ARIH2 Proteins for Homo sapiens (Human)
| 產品貨號 | 產品名稱 | 來源 |
|---|---|---|
| CSB-YP002069HU CSB-EP002069HU CSB-BP002069HU CSB-MP002069HU CSB-EP002069HU-B |
Recombinant Human E3 ubiquitin-protein ligase ARIH2 (ARIH2) | Yeast E.coli Baculovirus Mammalian cell In Vivo Biotinylation in E.coli |






