ARF1
ARF1,即ADP-核糖基化因子1,別名PVNH8。ARF1由人類ARF1基因編碼,該基因位于1號染色體的1q42.13區域。ARF1是一種小GTP結合蛋白,屬于Ras超家族成員,其主要功能是刺激霍亂毒素的ADP-核糖基轉移酶活性,并作為磷脂酶D的激活劑在囊泡運輸中發揮作用。ARF1蛋白定位于高爾基體,在高爾基體內部運輸中起著核心作用,通過激活膜上的磷脂酰肌醇4-磷酸酸酯酶和磷脂酰肌醇轉移酶,調節膜脂組成。ARF1在細胞內膜系統的功能調節中扮演著關鍵角色,參與調控囊泡的形成、運輸及膜交換過程。ARF1功能異常與多種細胞運輸障礙疾病有關,且在某些癌癥中的表達異常,可能與腫瘤的生長和轉移相關。
熱銷產品
Recombinant Human ADP-ribosylation factor 1 (ARF1) (CSB-EP001988HUa2)
驗證數據
(Tris-Glycine gel) Discontinuous SDS-PAGE (reduced) with 5% enrichment gel and 15% separation gel.
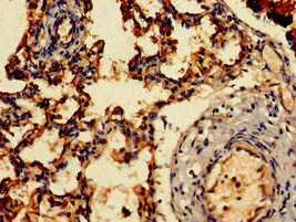
ARF1 Antibody (CSB-PA00929A0Rb)
驗證數據
Immunohistochemistry of paraffin-embedded human small intestine tissue using CSB-PA00929A0Rb at dilution of 1:100
Immunohistochemistry of paraffin-embedded human lung tissue using CSB-PA00929A0Rb at dilution of 1:100
Immunofluorescent analysis of Hela cells using CSB-PA00929A0Rb at dilution of 1:100 and Alexa Fluor 488-congugated AffiniPure Goat Anti-Rabbit IgG(H+L)
ARF1 Antibodies
ARF1 for Homo sapiens (Human)
| 產品貨號 | 產品名稱 | 種屬反應性 | 應用類型 |
|---|---|---|---|
| CSB-PA001988GA01HU | ARF1 Antibody | Human,Mouse,Rat | ELISA,WB,IHC |
| CSB-PA957575 | ARF1 Antibody | Human,Mouse,Rat | ELISA,WB,IHC |
| CSB-PA00929A0Rb | ARF1 Antibody | Human | ELISA, IHC, IF |
ARF1 Proteins
ARF1 Proteins for Homo sapiens (Human)
| 產品貨號 | 產品名稱 | 來源 |
|---|---|---|
| CSB-YP001988HU CSB-BP001988HU CSB-MP001988HU CSB-EP001988HU-B |
Recombinant Human ADP-ribosylation factor 1 (ARF1) | Yeast Baculovirus Mammalian cell In Vivo Biotinylation in E.coli |
| CSB-EP001988HU | Recombinant Human ADP-ribosylation factor 1 (ARF1) | E.coli |
| CSB-EP001988HUa2 | Recombinant Human ADP-ribosylation factor 1 (ARF1) | E.coli |
| CSB-EP001988HUe1 | Recombinant Human ADP-ribosylation factor 1 (ARF1) | E.coli |
ARF1 Proteins for Rattus norvegicus (Rat)
| 產品貨號 | 產品名稱 | 來源 |
|---|---|---|
| CSB-YP001988RA CSB-EP001988RA CSB-BP001988RA CSB-MP001988RA CSB-EP001988RA-B |
Recombinant Rat ADP-ribosylation factor 1 (Arf1) | Yeast E.coli Baculovirus Mammalian cell In Vivo Biotinylation in E.coli |
ARF1 Proteins for Mus musculus (Mouse)
| 產品貨號 | 產品名稱 | 來源 |
|---|---|---|
| CSB-YP001988MO CSB-EP001988MO CSB-BP001988MO CSB-MP001988MO CSB-EP001988MO-B |
Recombinant Mouse ADP-ribosylation factor 1 (Arf1) | Yeast E.coli Baculovirus Mammalian cell In Vivo Biotinylation in E.coli |
ARF1 Proteins for Bos taurus (Bovine)
| 產品貨號 | 產品名稱 | 來源 |
|---|---|---|
| CSB-YP001988BO CSB-EP001988BO CSB-BP001988BO CSB-MP001988BO CSB-EP001988BO-B |
Recombinant Bovine ADP-ribosylation factor 1 (ARF1) | Yeast E.coli Baculovirus Mammalian cell In Vivo Biotinylation in E.coli |
ARF1 Proteins for Catharanthus roseus (Madagascar periwinkle) (Vinca rosea)
| 產品貨號 | 產品名稱 | 來源 |
|---|---|---|
| CSB-YP001988DQN CSB-EP001988DQN CSB-BP001988DQN CSB-MP001988DQN CSB-EP001988DQN-B |
Recombinant Catharanthus roseus ADP-ribosylation factor 1 (ARF1) | Yeast E.coli Baculovirus Mammalian cell In Vivo Biotinylation in E.coli |
ARF1 Proteins for Salix bakko (Japanese willow)
| 產品貨號 | 產品名稱 | 來源 |
|---|---|---|
| CSB-YP001988SWH CSB-EP001988SWH CSB-BP001988SWH CSB-MP001988SWH CSB-EP001988SWH-B |
Recombinant Salix bakko ADP-ribosylation factor 1 (ARF1) | Yeast E.coli Baculovirus Mammalian cell In Vivo Biotinylation in E.coli |
ARF1 Proteins for Saccharomyces cerevisiae (strain ATCC 204508 / S288c) (Baker's yeast)
| 產品貨號 | 產品名稱 | 來源 |
|---|---|---|
| CSB-YP001988SVG CSB-EP001988SVG CSB-BP001988SVG CSB-MP001988SVG CSB-EP001988SVG-B |
Recombinant Saccharomyces cerevisiae ADP-ribosylation factor 1 (ARF1) | Yeast E.coli Baculovirus Mammalian cell In Vivo Biotinylation in E.coli |
ARF1 Proteins for Arabidopsis thaliana (Mouse-ear cress)
| 產品貨號 | 產品名稱 | 來源 |
|---|---|---|
| CSB-YP001988DOA CSB-EP001988DOA CSB-BP001988DOA CSB-MP001988DOA CSB-EP001988DOA-B |
Recombinant Arabidopsis thaliana ADP-ribosylation factor 1 (ARF1) | Yeast E.coli Baculovirus Mammalian cell In Vivo Biotinylation in E.coli |
| CSB-YP810539DOA CSB-EP810539DOA CSB-BP810539DOA CSB-MP810539DOA CSB-EP810539DOA-B |
Recombinant Arabidopsis thaliana Auxin response factor 1 (ARF1), partial | Yeast E.coli Baculovirus Mammalian cell In Vivo Biotinylation in E.coli |
ARF1 Proteins for Schizosaccharomyces pombe (strain 972 / ATCC 24843) (Fission yeast)
| 產品貨號 | 產品名稱 | 來源 |
|---|---|---|
| CSB-YP001988SXV CSB-EP001988SXV CSB-BP001988SXV CSB-MP001988SXV CSB-EP001988SXV-B |
Recombinant Schizosaccharomyces pombe ADP-ribosylation factor 1 (arf1) | Yeast E.coli Baculovirus Mammalian cell In Vivo Biotinylation in E.coli |
ARF1 Proteins for Xenopus laevis (African clawed frog)
| 產品貨號 | 產品名稱 | 來源 |
|---|---|---|
| CSB-YP001988XBE CSB-EP001988XBE CSB-BP001988XBE CSB-MP001988XBE CSB-EP001988XBE-B |
Recombinant Xenopus laevis ADP-ribosylation factor 1 (arf1) | Yeast E.coli Baculovirus Mammalian cell In Vivo Biotinylation in E.coli |
ARF1 Proteins for Daucus carota (Carrot)
| 產品貨號 | 產品名稱 | 來源 |
|---|---|---|
| CSB-YP001988DIR CSB-EP001988DIR CSB-BP001988DIR CSB-MP001988DIR CSB-EP001988DIR-B |
Recombinant Daucus carota ADP-ribosylation factor 1 (ARF1) | Yeast E.coli Baculovirus Mammalian cell In Vivo Biotinylation in E.coli |
ARF1 Proteins for Chlamydomonas reinhardtii (Chlamydomonas smithii)
| 產品貨號 | 產品名稱 | 來源 |
|---|---|---|
| CSB-YP001988DSJ CSB-EP001988DSJ CSB-BP001988DSJ CSB-MP001988DSJ CSB-EP001988DSJ-B |
Recombinant Chlamydomonas reinhardtii ADP-ribosylation factor 1 (ARF1) | Yeast E.coli Baculovirus Mammalian cell In Vivo Biotinylation in E.coli |
ARF1 Proteins for Locusta migratoria (Migratory locust)
| 產品貨號 | 產品名稱 | 來源 |
|---|---|---|
| CSB-YP001988LHY CSB-EP001988LHY CSB-BP001988LHY CSB-MP001988LHY CSB-EP001988LHY-B |
Recombinant Locusta migratoria ADP-ribosylation factor 1 (ARF1) | Yeast E.coli Baculovirus Mammalian cell In Vivo Biotinylation in E.coli |
ARF1 Proteins for Candida albicans (strain SC5314 / ATCC MYA-2876) (Yeast)
| 產品貨號 | 產品名稱 | 來源 |
|---|---|---|
| CSB-YP325259CZD CSB-EP325259CZD CSB-BP325259CZD CSB-MP325259CZD CSB-EP325259CZD-B |
Recombinant Candida albicans ADP-ribosylation factor (ARF1) | Yeast E.coli Baculovirus Mammalian cell In Vivo Biotinylation in E.coli |
ARF1 Proteins for Zea mays (Maize)
| 產品貨號 | 產品名稱 | 來源 |
|---|---|---|
| CSB-YP341796ZAX CSB-EP341796ZAX CSB-BP341796ZAX CSB-MP341796ZAX CSB-EP341796ZAX-B |
Recombinant Zea mays ADP-ribosylation factor (ARF1) | Yeast E.coli Baculovirus Mammalian cell In Vivo Biotinylation in E.coli |
ARF1 Proteins for Macaca fascicularis (Crab-eating macaque) (Cynomolgus monkey)
| 產品貨號 | 產品名稱 | 來源 |
|---|---|---|
| CSB-YP001988MOV CSB-EP001988MOV CSB-BP001988MOV CSB-MP001988MOV CSB-EP001988MOV-B |
Recombinant Macaca fascicularis ADP-ribosylation factor 1 (ARF1) | Yeast E.coli Baculovirus Mammalian cell In Vivo Biotinylation in E.coli |
ARF1 Proteins for Plasmodium falciparum (isolate 3D7)
| 產品貨號 | 產品名稱 | 來源 |
|---|---|---|
| CSB-YP001988EWP CSB-EP001988EWP CSB-BP001988EWP CSB-MP001988EWP CSB-EP001988EWP-B |
Recombinant Plasmodium falciparum ADP-ribosylation factor 1 (ARF1) | Yeast E.coli Baculovirus Mammalian cell In Vivo Biotinylation in E.coli |
ARF1 Proteins for Plasmodium falciparum
| 產品貨號 | 產品名稱 | 來源 |
|---|---|---|
| CSB-YP001988PLO CSB-EP001988PLO CSB-BP001988PLO CSB-MP001988PLO CSB-EP001988PLO-B |
Recombinant ADP-ribosylation factor 1 (ARF1) | Yeast E.coli Baculovirus Mammalian cell In Vivo Biotinylation in E.coli |
ARF1 Proteins for Brassica rapa subsp. pekinensis (Chinese cabbage) (Brassica pekinensis)
| 產品貨號 | 產品名稱 | 來源 |
|---|---|---|
| CSB-YP001988BWI CSB-EP001988BWI CSB-BP001988BWI CSB-MP001988BWI CSB-EP001988BWI-B |
Recombinant Brassica rapa subsp. pekinensis ADP-ribosylation factor 1 (ARF1) | Yeast E.coli Baculovirus Mammalian cell In Vivo Biotinylation in E.coli |
ARF1 Proteins for Plasmodium falciparum (isolate NF54)
| 產品貨號 | 產品名稱 | 來源 |
|---|---|---|
| CSB-YP001988PMB CSB-EP001988PMB CSB-BP001988PMB CSB-MP001988PMB CSB-EP001988PMB-B |
Recombinant Plasmodium falciparum ADP-ribosylation factor 1 (ARF1) | Yeast E.coli Baculovirus Mammalian cell In Vivo Biotinylation in E.coli |
ARF1 Proteins for Oryza sativa subsp. japonica (Rice)
| 產品貨號 | 產品名稱 | 來源 |
|---|---|---|
| CSB-YP692623OFG CSB-EP692623OFG CSB-BP692623OFG CSB-MP692623OFG CSB-EP692623OFG-B |
Recombinant Oryza sativa subsp. japonica Auxin response factor 1 (ARF1), partial | Yeast E.coli Baculovirus Mammalian cell In Vivo Biotinylation in E.coli |
ARF1 Proteins for Ashbya gossypii (strain ATCC 10895 / CBS 109.51 / FGSC 9923 / NRRL Y-1056) (Yeast) (Eremothecium gossypii)
| 產品貨號 | 產品名稱 | 來源 |
|---|---|---|
| CSB-YP741642DOT CSB-EP741642DOT CSB-BP741642DOT CSB-MP741642DOT CSB-EP741642DOT-B |
Recombinant Ashbya gossypii ADP-ribosylation factor (ARF1) | Yeast E.coli Baculovirus Mammalian cell In Vivo Biotinylation in E.coli |






