AR
AR,即雄激素受體,別名核受體亞型1(NR3C4)、睪丸受體、前列腺受體等。它是一種屬于核受體超家族的類固醇激素受體,由人體細胞自身的基因編碼,在細胞質中以非活性形式與熱休克蛋白等分子伴侶結合。AR的作用機制主要是通過與雄激素(如睪酮和雙氫睪酮)結合,發生構象變化,解離分子伴侶,形成二聚體并轉移到細胞核內,與DNA上的雄激素應答元件(ARE)結合,調控下游基因的轉錄。此外,AR也可以通過快速非基因組機制,激活如MAPK/ERK、PI3K/AKT等信號通路。AR在生物學上的意義非常廣泛,它在性別特征的發育、生殖系統、肌肉、骨骼、心血管、皮膚和神經系統中發揮重要作用。AR信號通路的激活對細胞增殖、分化、代謝和凋亡等過程具有重要影響。在疾病方面,AR的功能異常與多種疾病相關,尤其是前列腺癌的發生發展,其中AR信號通路的持續激活是前列腺癌進展的關鍵因素。此外,AR在其他類型的癌癥(如乳腺癌、肝癌等)中也有作用,是癌癥治療中的重要靶點。因此,對AR的研究有助于深入理解相關疾病的發病機制,并為開發新的治療策略提供科學依據。
熱銷產品
Recombinant Human Androgen receptor (AR), partial (CSB-EP001975HU3)
驗證數據
(Tris-Glycine gel) Discontinuous SDS-PAGE (reduced) with 5% enrichment gel and 15% separation gel.
AR Recombinant Monoclonal Antibody (CSB-RA217661A0HU)
驗證數據
Western Blot
Positive WB detected in: MCF-7 whole cell lysate, THP-1 whole cell lysate
All lanes: Androgen Receptor antibody at 1:1000
Secondary
Goat polyclonal to rabbit IgG at 1/50000 dilution
Predicted band size: 100, 45, 68, kDa
Observed band size: 125 kDa
IHC image of CSB-RA217661A0HU diluted at 1:100 and staining in paraffin-embedded human breast cancer performed on a Leica BondTM system. After dewaxing and hydration, antigen retrieval was mediated by high pressure in a citrate buffer (pH 6.0). Section was blocked with 10% normal goat serum 30min at RT. Then primary antibody (1% BSA) was incubated at 4℃ overnight. The primary is detected by a Goat anti-rabbit IgG polymer labeled by HRP and visualized using 0.05% DAB.
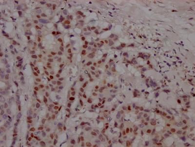
IHC image of CSB-RA217661A0HU diluted at 1:100 and staining in paraffin-embedded human prostate cancer performed on a Leica BondTM system. After dewaxing and hydration, antigen retrieval was mediated by high pressure in a citrate buffer (pH 6.0). Section was blocked with 10% normal goat serum 30min at RT. Then primary antibody (1% BSA) was incubated at 4℃ overnight. The primary is detected by a Goat anti-rabbit IgG polymer labeled by HRP and visualized using 0.05% DAB.
AR Antibodies
AR for Homo sapiens (Human)
| 產品貨號 | 產品名稱 | 種屬反應性 | 應用類型 |
|---|---|---|---|
| CSB-PA097994 | Phospho-AR (Ser213) Antibody | Human | ELISA,WB,IF |
| CSB-PA831238 | Phospho-AR (Ser650) Antibody | Human,Mouse | ELISA,WB,IHC |
| CSB-PA227367 | AR (Ab-650) Antibody | Human | ELISA,WB |
| CSB-PA082237 | AR (Ab-363) Antibody | Human,Mouse | ELISA,WB |
| CSB-PA006094 | AR Antibody | Human,Mouse,Rat | WB, ELISA |
| CSB-PA011251 | Phospho-AR (S213) Antibody | Human | IHC, ELISA |
| CSB-PA011252 | Phospho-AR (S650) Antibody | Human | IHC, ELISA |
| CSB-PA011253 | Phospho-AR (Y363) Antibody | Human,Mouse,Rat | WB, ELISA |
| CSB-PA011254 | Phospho-AR (S94) Antibody | Human,Mouse | IF, ELISA |
| CSB-PA011255 | AR Antibody | Human | WB, IHC, ELISA |
| CSB-PA011256 | AR Antibody | Human | IHC, ELISA |
| CSB-PA011257 | AR Antibody | Human,Mouse | IHC, IF, ELISA |
| CSB-PA011258 | AR Antibody | Human,Mouse,Rat | WB, ELISA |
| CSB-PA056943 | AR Antibody | Human | ELISA,IHC |
| CSB-PA05979A0Rb | AR Antibody | Human | ELISA, IHC |
| CSB-PA05979B0Rb | AR Antibody, HRP conjugated | Human | ELISA |
| CSB-PA05979C0Rb | AR Antibody, FITC conjugated | Human | |
| CSB-PA05979D0Rb | AR Antibody, Biotin conjugated | Human | ELISA |
| CSB-MA999605 | AR Monoclonal Antibody | Human | ELISA, IHC |
| CSB-RA217661A0HU | AR Recombinant Monoclonal Antibody | Human | ELISA, WB, IHC |
| CSB-RA243116A0HU | AR Recombinant Monoclonal Antibody | Human | ELISA, IHC |
| CSB-PA001975XA01HU | AR Antibody | Homo sapiens (Human) | ELISA, WB |
AR Proteins
AR Proteins for Homo sapiens (Human)
| 產品貨號 | 產品名稱 | 來源 |
|---|---|---|
| CSB-YP001975HU CSB-BP001975HU CSB-MP001975HU CSB-EP001975HU-B |
Recombinant Human Androgen receptor (AR), partial | Yeast Baculovirus Mammalian cell In Vivo Biotinylation in E.coli |
| CSB-EP001975HU | Recombinant Human Androgen receptor (AR), partial | E.coli |
| CSB-EP001975HU3 | Recombinant Human Androgen receptor (AR), partial | E.coli |
| CSB-EP001975HU4 | Recombinant Human Androgen receptor (AR) , partial | E.coli |
AR Proteins for Mus musculus (Mouse)
| 產品貨號 | 產品名稱 | 來源 |
|---|---|---|
| CSB-YP001975MO CSB-EP001975MO CSB-BP001975MO CSB-MP001975MO CSB-EP001975MO-B |
Recombinant Mouse Androgen receptor (Ar), partial | Yeast E.coli Baculovirus Mammalian cell In Vivo Biotinylation in E.coli |
AR Proteins for Oryctolagus cuniculus (Rabbit)
| 產品貨號 | 產品名稱 | 來源 |
|---|---|---|
| CSB-YP001975RB CSB-EP001975RB CSB-BP001975RB CSB-MP001975RB CSB-EP001975RB-B |
Recombinant Rabbit Androgen receptor (AR), partial | Yeast E.coli Baculovirus Mammalian cell In Vivo Biotinylation in E.coli |
AR Proteins for Eulemur fulvus collaris (Collared brown lemur) (Eulemur collaris)
| 產品貨號 | 產品名稱 | 來源 |
|---|---|---|
| CSB-YP001975EPD CSB-EP001975EPD CSB-BP001975EPD CSB-MP001975EPD CSB-EP001975EPD-B |
Recombinant Eulemur fulvus collaris Androgen receptor (AR), partial | Yeast E.coli Baculovirus Mammalian cell In Vivo Biotinylation in E.coli |
AR Proteins for Papio hamadryas (Hamadryas baboon)
| 產品貨號 | 產品名稱 | 來源 |
|---|---|---|
| CSB-YP001975ERJ CSB-EP001975ERJ CSB-BP001975ERJ CSB-MP001975ERJ CSB-EP001975ERJ-B |
Recombinant Papio hamadryas Androgen receptor (AR), partial | Yeast E.coli Baculovirus Mammalian cell In Vivo Biotinylation in E.coli |
AR Proteins for Pan troglodytes (Chimpanzee)
| 產品貨號 | 產品名稱 | 來源 |
|---|---|---|
| CSB-YP001975EQV CSB-EP001975EQV CSB-BP001975EQV CSB-MP001975EQV CSB-EP001975EQV-B |
Recombinant Pan troglodytes Androgen receptor (AR), partial | Yeast E.coli Baculovirus Mammalian cell In Vivo Biotinylation in E.coli |
AR Proteins for Macaca fascicularis (Crab-eating macaque) (Cynomolgus monkey)
| 產品貨號 | 產品名稱 | 來源 |
|---|---|---|
| CSB-YP001975MOV CSB-EP001975MOV CSB-BP001975MOV CSB-MP001975MOV CSB-EP001975MOV-B |
Recombinant Macaca fascicularis Androgen receptor (AR), partial | Yeast E.coli Baculovirus Mammalian cell In Vivo Biotinylation in E.coli |
AR Proteins for Rattus norvegicus (Rat)
| 產品貨號 | 產品名稱 | 來源 |
|---|---|---|
| CSB-YP001975RA CSB-EP001975RA CSB-BP001975RA CSB-MP001975RA CSB-EP001975RA-B |
Recombinant Rat Androgen receptor (Ar), partial | Yeast E.coli Baculovirus Mammalian cell In Vivo Biotinylation in E.coli |
AR Proteins for Lithobates catesbeiana (American bullfrog) (Rana catesbeiana)
| 產品貨號 | 產品名稱 | 來源 |
|---|---|---|
| CSB-YP001975LQA CSB-EP001975LQA CSB-BP001975LQA CSB-MP001975LQA CSB-EP001975LQA-B |
Recombinant Lithobates catesbeiana Androgen receptor (ar), partial | Yeast E.coli Baculovirus Mammalian cell In Vivo Biotinylation in E.coli |
AR Proteins for Macaca mulatta (Rhesus macaque)
| 產品貨號 | 產品名稱 | 來源 |
|---|---|---|
| CSB-YP001975MOW CSB-EP001975MOW CSB-BP001975MOW CSB-MP001975MOW CSB-EP001975MOW-B |
Recombinant Macaca mulatta Androgen receptor (AR), partial | Yeast E.coli Baculovirus Mammalian cell In Vivo Biotinylation in E.coli |
AR Proteins for Crocuta crocuta (Spotted hyena)
| 產品貨號 | 產品名稱 | 來源 |
|---|---|---|
| CSB-YP001975CXK CSB-EP001975CXK CSB-BP001975CXK CSB-MP001975CXK CSB-EP001975CXK-B |
Recombinant Crocuta crocuta Androgen receptor (AR), partial | Yeast E.coli Baculovirus Mammalian cell In Vivo Biotinylation in E.coli |
AR Proteins for Sus scrofa (Pig)
| 產品貨號 | 產品名稱 | 來源 |
|---|---|---|
| CSB-YP001975PI CSB-EP001975PI CSB-BP001975PI CSB-MP001975PI CSB-EP001975PI-B |
Recombinant Pig Androgen receptor (AR), partial | Yeast E.coli Baculovirus Mammalian cell In Vivo Biotinylation in E.coli |
AR Proteins for Canis familiaris (Dog) (Canis lupus familiaris)
| 產品貨號 | 產品名稱 | 來源 |
|---|---|---|
| CSB-YP001975DO CSB-EP001975DO CSB-BP001975DO CSB-MP001975DO CSB-EP001975DO-B |
Recombinant Dog Androgen receptor (AR), partial | Yeast E.coli Baculovirus Mammalian cell In Vivo Biotinylation in E.coli |
AR Proteins for Bombyx mori (Silk moth)
| 產品貨號 | 產品名稱 | 來源 |
|---|---|---|
| CSB-YP845130BTT1 CSB-EP845130BTT1 CSB-BP845130BTT1 CSB-MP845130BTT1 CSB-EP845130BTT1-B |
Recombinant Bombyx mori Allatostatin-A receptor (AR), partial | Yeast E.coli Baculovirus Mammalian cell In Vivo Biotinylation in E.coli |
| CSB-CF845130BTT | Recombinant Bombyx mori Allatostatin-A receptor (AR) | in vitro E.coli expression system |
AR ELISA Kit
AR ELISA Kit for Rattus norvegicus (Rat)
| 產品貨號 | 產品名稱 | 樣本類型 | 靈敏度 |
|---|---|---|---|
| CSB-EL001975RA | Rat Androgen receptor(AR) ELISA kit | serum, plasma, tissue homogenates, cell lysates | 5.8 pg/mL |






