APLNR
APLNR蛋白,全稱Apelin受體,是一種G蛋白偶聯受體,常見別名包括APJ受體。該蛋白主要由內源性配體Apelin驅動,參與多種生理病理過程。Apelin與APLNR結合后,可激活下游多種信號通路,如G蛋白和β-arrestin信號通路,從而調節血管舒張、正性肌力、血管生成、利尿、降低血壓等生理功能。APLNR在心血管系統中發揮重要作用,其激活可抑制心肌纖維化、減輕病理性心肌肥厚、抵抗心力衰竭和肺動脈高壓等。研究表明,APLNR的G蛋白信號通路對心臟保護效應至關重要,而β-arrestin信號通路則可能引起有害的心肌肥厚。因此,開發選擇性激活G蛋白信號通路的APLNR激動劑,有望成為治療心血管疾病的新策略。目前,多家國際知名藥企和科研機構正致力于開發有效的APLNR激動劑類藥物,部分已進入臨床研究階段,但尚未有靶向該受體的分子成功獲批上市。
熱銷產品
Recombinant Macaca mulatta Apelin receptor (APLNR)-VLPs (CSB-MP001910MOW)
驗證數據
CSB-MP001910MOW is detected by Mouse anti-6*His monoclonal antibody
The purity of VLPs was greater than 95% as determined by SEC-HPLC
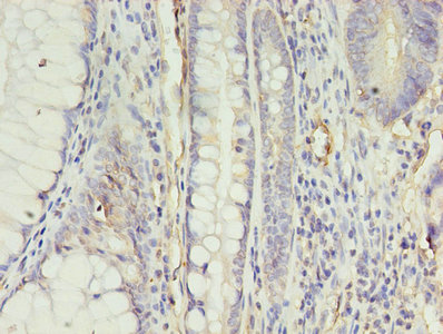
APLNR Antibody (CSB-PA001910EA01HU)
驗證數據
Immunohistochemistry of paraffin-embedded human colon cancer using CSB-PA001910EA01HU at dilution of 1:100
Immunofluorescent analysis of A431 cells using CSB-PA001910EA01HU at dilution of 1:100 and Alexa Fluor 488-congugated AffiniPure Goat Anti-Rabbit IgG(H+L)
Human Apelin receptor(APLNR) ELISA kit (CSB-EL001910HU)
驗證數據
貨號:CSB-EL001910HU
規格:96T/48T
靈敏度:5.8 pg/mL
檢測范圍:23.5 pg/mL-1500 pg/mL
These standard curves are provided for demonstration only. A standard curve should be generated for each set of samples assayed.
APLNR Antibodies
APLNR for Homo sapiens (Human)
| 產品貨號 | 產品名稱 | 種屬反應性 | 應用類型 |
|---|---|---|---|
| CSB-PA007868 | APLNR Antibody | Human | WB, IHC, IF, ELISA |
| CSB-PA963250 | APLNR Antibody | Human,Mouse,Rat | ELISA,WB,IHC |
| CSB-PA229044 | APLNR Antibody | Human,Mouse,Rat | ELISA,IHC |
| CSB-PA165028 | APLNR Antibody | Human,Mouse,Rat | ELISA,IHC |
| CSB-PA001910EA01HU | APLNR Antibody | Human | ELISA, IHC, IF |
APLNR Proteins
APLNR Proteins for Homo sapiens (Human)
| 產品貨號 | 產品名稱 | 來源 |
|---|---|---|
| CSB-YP001910HU1 CSB-EP001910HU1 CSB-BP001910HU1 CSB-MP001910HU1 CSB-EP001910HU1-B |
Recombinant Human Apelin receptor (APLNR), partial | Yeast E.coli Baculovirus Mammalian cell In Vivo Biotinylation in E.coli |
| CSB-CF001910HU | Recombinant Human Apelin receptor (APLNR) | in vitro E.coli expression system |
APLNR Proteins for Macaca mulatta (Rhesus macaque)
| 產品貨號 | 產品名稱 | 來源 |
|---|---|---|
| CSB-YP001910MOW1 CSB-EP001910MOW1 CSB-BP001910MOW1 CSB-MP001910MOW1 CSB-EP001910MOW1-B |
Recombinant Macaca mulatta Apelin receptor (APLNR), partial | Yeast E.coli Baculovirus Mammalian cell In Vivo Biotinylation in E.coli |
| CSB-CF001910MOW | Recombinant Macaca mulatta Apelin receptor (APLNR) | in vitro E.coli expression system |
APLNR Proteins for Xenopus tropicalis (Western clawed frog) (Silurana tropicalis)
| 產品貨號 | 產品名稱 | 來源 |
|---|---|---|
| CSB-YP001910XBF1 CSB-EP001910XBF1 CSB-BP001910XBF1 CSB-MP001910XBF1 CSB-EP001910XBF1-B |
Recombinant Xenopus tropicalis Apelin receptor (aplnr), partial | Yeast E.coli Baculovirus Mammalian cell In Vivo Biotinylation in E.coli |
| CSB-CF001910XBF | Recombinant Xenopus tropicalis Apelin receptor (aplnr) | in vitro E.coli expression system |
APLNR Proteins for Rattus norvegicus (Rat)
| 產品貨號 | 產品名稱 | 來源 |
|---|---|---|
| CSB-YP001910RA1 CSB-EP001910RA1 CSB-BP001910RA1 CSB-MP001910RA1 CSB-EP001910RA1-B |
Recombinant Rat Apelin receptor (Aplnr), partial | Yeast E.coli Baculovirus Mammalian cell In Vivo Biotinylation in E.coli |
| CSB-CF001910RA | Recombinant Rat Apelin receptor (Aplnr) | in vitro E.coli expression system |
APLNR Proteins for Mus musculus (Mouse)
| 產品貨號 | 產品名稱 | 來源 |
|---|---|---|
| CSB-YP001910MO1 CSB-BP001910MO1 CSB-MP001910MO1 CSB-EP001910MO1-B |
Recombinant Mouse Apelin receptor (Aplnr), partial | Yeast Baculovirus Mammalian cell In Vivo Biotinylation in E.coli |
| CSB-CF001910MO | Recombinant Mouse Apelin receptor (Aplnr) | in vitro E.coli expression system |
| CSB-EP001910MO1 | Recombinant Mouse Apelin receptor (Aplnr), partial | E.coli |
APLNR ELISA Kit
APLNR ELISA Kit for Homo sapiens (Human)
| 產品貨號 | 產品名稱 | 樣本類型 | 靈敏度 |
|---|---|---|---|
| CSB-EL001910HU | Human Apelin receptor(APLNR) ELISA kit | serum, plasma, tissue homogenates, cell lysates | 5.8 pg/mL |






