APCS
APCS(腺苷三磷酸環化酶誘導的磷酸二酯酶)是一種關鍵的酶,在細胞內信號轉導中發揮著重要作用。它能夠將ATP轉化為環磷酸腺苷(cAMP),從而調節多種生理過程。APCS的蛋白全名為腺苷三磷酸環化酶誘導的磷酸二酯酶1,常見別名為cAMP磷酸二酯酶。APCS主要存在于細胞質中,并在多種組織中表達。它的活性受到多種因素的調節,包括細胞內cAMP水平、Ca2+濃度和激素信號。APCS參與多種信號通路,如蛋白激酶A(PKA)通路、蛋白激酶C(PKC)通路和MAPK通路。這些通路與細胞生長、分化和凋亡密切相關。APCS與多種疾病的發生發展有關,如癌癥、糖尿病和心血管疾病。在藥物研發方面,針對APCS的抑制劑和激活劑已被用于治療多種疾病,如癌癥、糖尿病和哮喘。例如,西羅莫司是一種APCS抑制劑,可用于治療某些類型的癌癥。此外,一些藥物可以增強APCS的活性,從而提高細胞內cAMP水平,用于治療某些類型的疾病。
熱銷產品
Recombinant Human Serum amyloid P-component (APCS) (CSB-EP001898HU)
驗證數據
(Tris-Glycine gel) Discontinuous SDS-PAGE (reduced) with 5% enrichment gel and 15% separation gel.
APCS Recombinant Monoclonal Antibody (CSB-RA001898MA1HU)
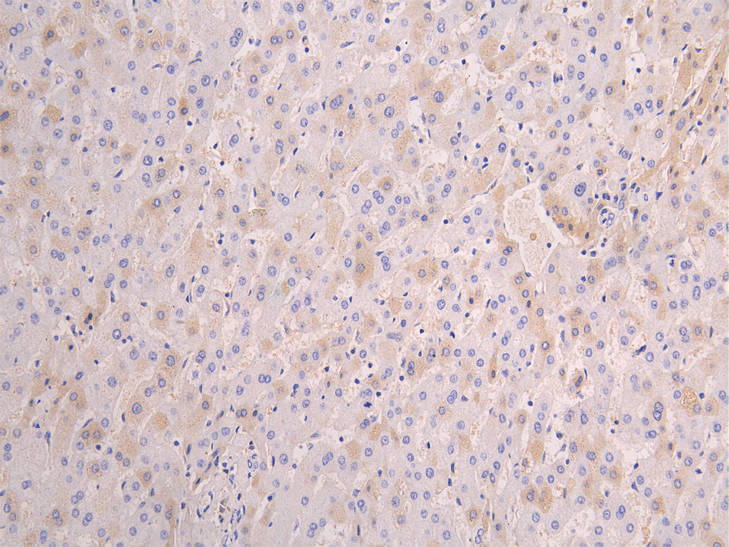
驗證數據
IHC image of CSB-RA001898MA1HUU diluted at 1:100 and staining in paraffin-embedded human liver tissue performed on a Leica BondTM system. After dewaxing and hydration, antigen retrieval was mediated by high pressure in a citrate buffer (pH 6.0). Section was blocked with 10% normal goat serum 30min at RT. Then primary antibody (1% BSA) was incubated at 4°C overnight. The primary is detected by a Goat anti-human polymer IgG labeled by HRP and visualized using 0.05% DAB.
APCS Antibodies
APCS for Homo sapiens (Human)
| 產品貨號 | 產品名稱 | 種屬反應性 | 應用類型 |
|---|---|---|---|
| CSB-PA001898GA01HU | APCS Antibody | Human | ELISA,WB |
| CSB-PA001898ESR1HU | APCS Antibody | Human | ELISA, IHC |
| CSB-PA001898LA01HU | APCS Antibody | Human | ELISA, IHC |
| CSB-RA001898MA1HU | APCS Recombinant Monoclonal Antibody | Human | ELISA, IHC |
APCS Proteins
APCS Proteins for Homo sapiens (Human)
| 產品貨號 | 產品名稱 | 來源 |
|---|---|---|
| CSB-YP001898HU CSB-BP001898HU CSB-EP001898HU-B |
Recombinant Human Serum amyloid P-component (APCS) | Yeast Baculovirus In Vivo Biotinylation in E.coli |
| CSB-EP001898HU | Recombinant Human Serum amyloid P-component (APCS) | E.coli |
APCS ELISA Kit
APCS ELISA Kit for Homo sapiens (Human)
| 產品貨號 | 產品名稱 | 樣本類型 | 靈敏度 |
|---|---|---|---|
| CSB-E09958h | Human Serum amyloid P,SAP ELISA Kit | serum, plasma, tissue homogenates | 1.95 ng/mL |






