ANRT
ANRT,即腺苷酸核糖基轉移酶,是一種具有特定酶活性的蛋白質,其結構包含多個亞基,共同構成活性中心,用于識別和結合底物。雖然ANRT不直接參與典型的信號傳導通路,但它通過催化核糖基從腺苷酸轉移到目標分子上,如蛋白質或其他核酸,在核糖基化過程中發揮關鍵作用。這種核糖基化作用能夠影響目標分子的穩定性、活性以及與其他分子的相互作用,進而參與細胞凋亡、自噬、免疫應答和基因表達調控等多種生物學過程。ANRT的這些功能使其在維持細胞穩態和調節生物體生理活動中扮演著重要角色。
熱銷產品
AGT Antibody (CSB-PA001463ESR2HU)
驗證數據
Western blot
All lanes: Angiotensinogen antibody at 3μg/ml + Mouse liver tissue
Secondary
Goat polyclonal to rabbit IgG at 1/10000 dilution
Predicted band size: 53 kDa
Observed band size: 53 kDa
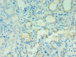
Immunohistochemistry of paraffin-embedded human kidney tissue using CSB-PA001463ESR2HU at dilution of 1:100
Immunofluorescent analysis of HepG2 cells using CSB-PA001463ESR2HU at dilution of 1:100 and Alexa Fluor 488-congugated AffiniPure Goat Anti-Rabbit IgG(H+L)
ANRT Antibodies
ANRT for Homo sapiens (Human)
| 產品貨號 | 產品名稱 | 種屬反應性 | 應用類型 |
|---|---|---|---|
| CSB-PA001463GA01HU | AGT Antibody | Human,Mouse | ELISA,WB,IHC |
| CSB-PA001463ESR1HU | AGT Antibody | Human | ELISA, IHC, IF |
| CSB-PA001463ESR2HU | AGT Antibody | Human, Mouse | ELISA, WB, IHC, IF |
| CSB-PA10079A0Rb | AGT Antibody | Human | ELISA, WB, IHC, IF |
| CSB-PA982509 | AGT Antibody | Human | ELISA,WB |
| CSB-PA281661 | AGT Antibody | Human | ELISA,WB |
| CSB-PA959270 | AGT Antibody | Human,Mouse,Rat | ELISA,WB,IHC |
| CSB-PA446811 | AGT Antibody | Human,Mouse,Rat | ELISA,WB,IHC |
| CSB-PA693559 | AGT Antibody | Human,Mouse,Rat | ELISA,WB,IHC |
| CSB-PA090852 | AGT Antibody | Human,Mouse,Rat | ELISA,WB |
| CSB-PA173097 | AGT Antibody | Human,Mouse,Rat | ELISA |
| CSB-PA001463EA01HU | AGT Antibody | Human, Rat | ELISA, WB, IHC |
| CSB-RA263831A0HU | AGT Recombinant Monoclonal Antibody | Human | ELISA, IHC |
ANRT Proteins
ANRT Proteins for Homo sapiens (Human)
| 產品貨號 | 產品名稱 | 來源 |
|---|---|---|
| CSB-YP001463HU CSB-EP001463HU CSB-BP001463HU CSB-MP001463HU CSB-EP001463HU-B |
Recombinant Human Angiotensinogen (AGT) | Yeast E.coli Baculovirus Mammalian cell In Vivo Biotinylation in E.coli |
| CSB-EP001463HU1 | Recombinant Human Angiotensinogen (AGT), partial | E.coli |
ANRT ELISA Kit
ANRT ELISA Kit for Homo sapiens (Human)
| 產品貨號 | 產品名稱 | 樣本類型 | 靈敏度 |
|---|---|---|---|
| CSB-E08564h | Human angiotensinogen (aGT) ELISA Kit | serum, plasma, urine,cell culture supernates | 19.5 pg/mL |






