ANGPTL8
ANGPTL8,全稱為Angiopoietin-like protein 8,是一種分泌型糖蛋白,屬于血管生成素樣蛋白(ANGPTLs)家族的成員。該蛋白具有多種別名,包括Betatrophin、C19orf81等。ANGPTL8在脂質代謝中發揮著重要作用,它可以與ANGPTL3或ANGPTL4形成復合物,調節脂蛋白脂肪酶(LPL)的活性,從而影響甘油三酯在血液中的能量流動。在進食狀態下,ANGPTL8表達上調,促進脂肪組織中的脂肪酸儲存;而在禁食狀態下,ANGPTL8表達下調,促進甘油三酯被外周組織利用。ANGPTL8與肥胖、糖尿病、非酒精性脂肪性肝病等多種疾病相關。
目前,已有研究表明ANGPTL8在阿爾茨海默病的發生發展中發揮作用,并成為潛在的治療靶點。此外,一些靶向ANGPTL8的藥物正在研發中,例如禮來公司開發的單克隆抗體藥物LY-3475766,正處于臨床I期,可用于治療血脂異常。ANGPTL8的研究為理解脂質代謝和相關疾病提供了新的視角,并可能為相關疾病的治療提供新的策略。
熱銷產品
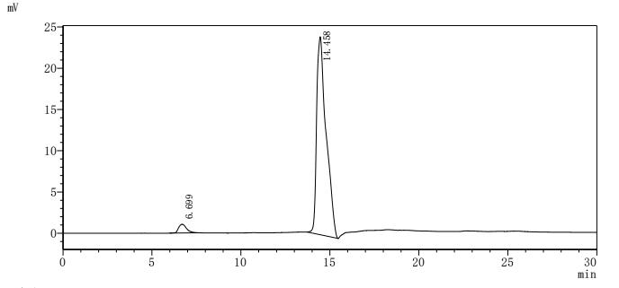
Recombinant Human Angiopoietin-like protein 8 (ANGPTL8) (CSB-MP757793HU)
驗證數據
(Tris-Glycine gel) Discontinuous SDS-PAGE (reduced) with 5% enrichment gel and 15% separation gel.
The purity of ANGPTL8 was greater than 95% as determined by SEC-HPLC
Recombinant Human Angiopoietin-like protein 8 (ANGPTL8) (CSB-EP757793HU)
驗證數據
(Tris-Glycine gel) Discontinuous SDS-PAGE (reduced) with 5% enrichment gel and 15% separation gel.
Based on the SEQUEST from database of E.coli host and target protein, the LC-MS/MS Analysis result of CSB-EP757793HU could indicate that this peptide derived from E.coli-expressed Homo sapiens (Human) ANGPTL8.
Based on the SEQUEST from database of E.coli host and target protein, the LC-MS/MS Analysis result of CSB-EP757793HU could indicate that this peptide derived from E.coli-expressed Homo sapiens (Human) ANGPTL8.
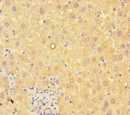
ANGPTL8 Antibody (CSB-PA757793LA01HU)
驗證數據
Immunohistochemistry of paraffin-embedded human liver tissue using CSB-PA757793LA01HU at dilution of 1:100
Human angiopoietin-like protein 8(ANGPTL8) ELISA Kit (CSB-EL028107HU)
驗證數據
貨號:CSB-EL028107HU
規格:96T/48T
靈敏度:1.56 pg/mL
檢測范圍:6.25 pg/mL-400 pg/mL
These standard curves are provided for demonstration only. A standard curve should be generated for each set of samples assayed.
ANGPTL8 Antibodies
ANGPTL8 for Homo sapiens (Human)
| 產品貨號 | 產品名稱 | 種屬反應性 | 應用類型 |
|---|---|---|---|
| CSB-PA757793LA01HU | ANGPTL8 Antibody | Human | ELISA, IHC |
ANGPTL8 for Mus musculus (Mouse)
| 產品貨號 | 產品名稱 | 種屬反應性 | 應用類型 |
|---|---|---|---|
| CSB-PA844436LA01MO | Angptl8 Antibody | Mouse | ELISA |
| CSB-PA844436LD01MO | Angptl8 Antibody, Biotin conjugated | Mouse | ELISA |
ANGPTL8 Proteins
ANGPTL8 Proteins for Homo sapiens (Human)
| 產品貨號 | 產品名稱 | 來源 |
|---|---|---|
| CSB-YP757793HU CSB-EP757793HU-B |
Recombinant Human Angiopoietin-like protein 8 (ANGPTL8) | Yeast In Vivo Biotinylation in E.coli |
| CSB-EP757793HU | Recombinant Human Angiopoietin-like protein 8 (ANGPTL8) | E.coli |
| CSB-BP757793HU | Recombinant Human Angiopoietin-like protein 8 (ANGPTL8) | Baculovirus |
| CSB-MP757793HU | Recombinant Human Angiopoietin-like protein 8 (ANGPTL8) | Mammalian cell |
ANGPTL8 Proteins for Mus musculus (Mouse)
| 產品貨號 | 產品名稱 | 來源 |
|---|---|---|
| CSB-YP844436MO | Recombinant Mouse Angiopoietin-like protein 8 (Angptl8) | Yeast |
| CSB-EP844436MO | Recombinant Mouse Angiopoietin-like protein 8 (Angptl8) | E.coli |
| CSB-BP844436MO | Recombinant Mouse Angiopoietin-like protein 8 (Angptl8) | Baculovirus |
| CSB-EP844436MO-B |
Recombinant Mouse Angiopoietin-like protein 8 (Angptl8) | In Vivo Biotinylation in E.coli |
| CSB-MP844436MO | Recombinant Mouse Angiopoietin-like protein 8 (Angptl8) | Mammalian cell |
ANGPTL8 ELISA Kit
ANGPTL8 ELISA Kit for Homo sapiens (Human)
| 產品貨號 | 產品名稱 | 樣本類型 | 靈敏度 |
|---|---|---|---|
| CSB-EL028107HU | Human angiopoietin-like protein 8(ANGPTL8) ELISA Kit | serum, plasma, tissue homogenates | 1.56 pg/mL |






