AMHR2
抗繆勒氏管激素II型受體(AMHR2)又稱繆勒抑制物質受體II型,在性別分化過程中具有關鍵調控作用。該受體主要分布于性腺組織,通過與抗繆勒氏管激素(AMH)特異性結合,激活SMAD信號級聯反應,進而抑制女性生殖管道的發育。臨床研究發現,AMHR2基因突變可導致持續性繆勒管綜合征,出現子宮、輸卵管殘留等生殖系統異常。近年來該受體在婦科腫瘤領域備受關注,約80%的卵巢顆粒細胞瘤存在AMHR2過表達現象,其激活狀態與腫瘤增殖、轉移密切相關。針對AMHR2的治療策略已進入轉化階段,單克隆抗體藥物STRO-002已完成治療卵巢癌的I期臨床試驗,小分子抑制劑KY-273也在臨床前研究中顯示出抑制腫瘤生長的潛力。
熱銷產品
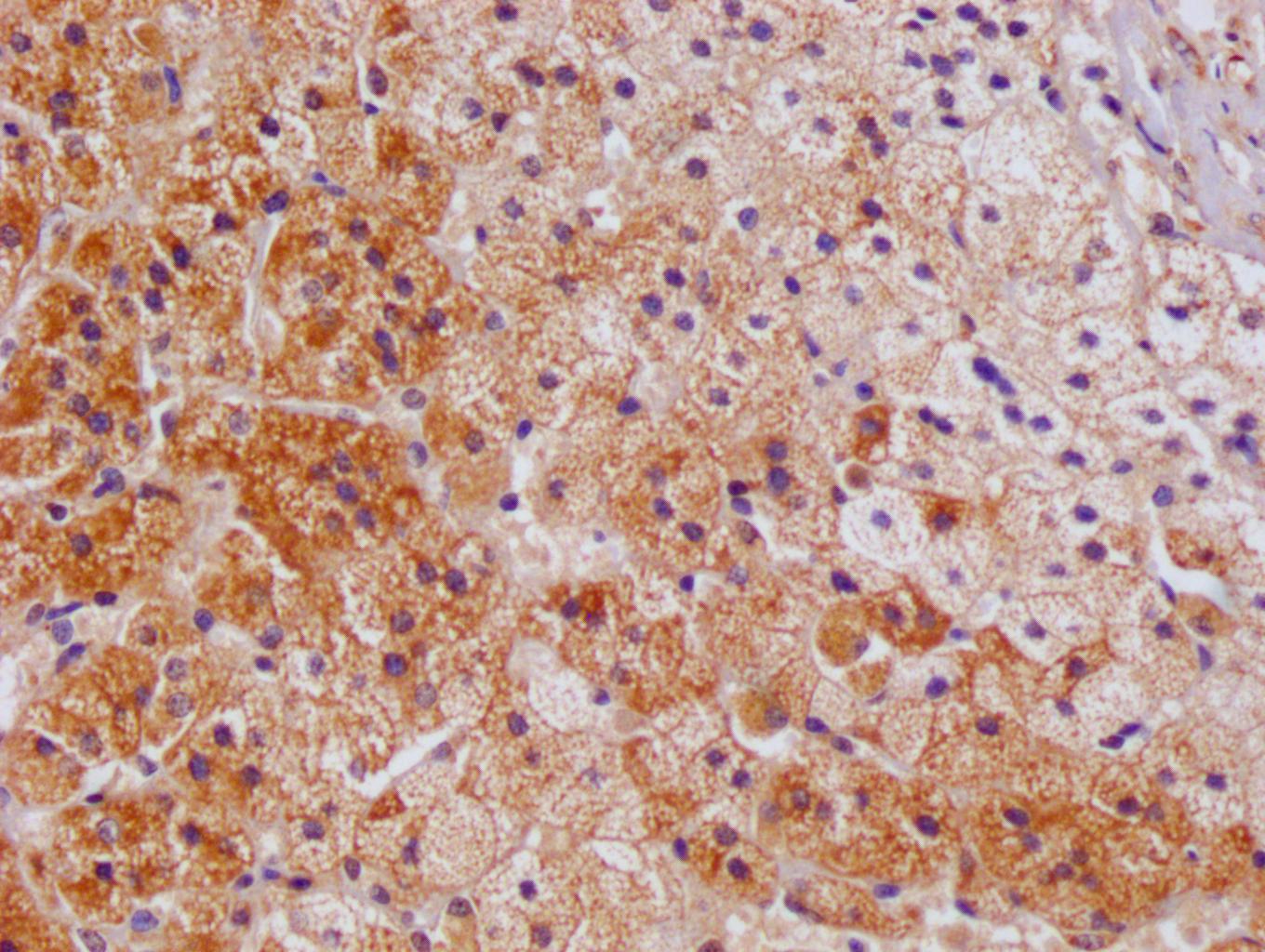
AMHR2 Antibody (CSB-PA614985ESR1HU)
驗證數據
Immunohistochemistry of paraffin-embedded human adrenal glands tissue using CSB-PA614985ESR1HU at dilution of 1:50
Immunofluorescence staining of HepG2 cells with CSB-PA614985ESR1HU at 1:100, counter-stained with DAPI. The cells were fixed in 4% formaldehyde, permeabilized using 0.2% Triton X-100 and blocked in 10% normal Goat Serum. The cells were then incubated with the antibody overnight at 4°C. The secondary antibody was Alexa Fluor 488-congugated AffiniPure Goat Anti-Rabbit IgG(H+L).
Human Anti-Muellerian hormone type-2 receptor(AMHR2) ELISA kit (CSB-EL001667HU)
驗證數據
貨號:CSB-EL001667HU
規格:96T/48T
靈敏度:8 pg/mL
檢測范圍:0.32 ng/mL-12 ng/mL
These standard curves are provided for demonstration only. A standard curve should be generated for each set of samples assayed.
AMHR2 Antibodies
AMHR2 for Homo sapiens (Human)
| 產品貨號 | 產品名稱 | 種屬反應性 | 應用類型 |
|---|---|---|---|
| CSB-PA614985ESR1HU | AMHR2 Antibody | Human | ELISA, IHC, IF |
| CSB-PA311389 | AMHR2 Antibody | Human,Mouse,Rat | ELISA,IHC |
AMHR2 Proteins
AMHR2 Proteins for Homo sapiens (Human)
| 產品貨號 | 產品名稱 | 來源 |
|---|---|---|
| CSB-YP614985HU CSB-EP614985HU CSB-BP614985HU CSB-MP614985HU CSB-EP614985HU-B |
Recombinant Human Anti-Muellerian hormone type-2 receptor (AMHR2), partial | Yeast E.coli Baculovirus Mammalian cell In Vivo Biotinylation in E.coli |
AMHR2 ELISA Kit
AMHR2 ELISA Kit for Homo sapiens (Human)
| 產品貨號 | 產品名稱 | 樣本類型 | 靈敏度 |
|---|---|---|---|
| CSB-EL001667HU | Human Anti-Muellerian hormone type-2 receptor(AMHR2) ELISA kit | serum, plasma, tissue homogenates, cell lysates | 8 pg/mL |






