ALPK1
ALPK1,即α激酶1,別名LAK、ROSAH。它是一種由人類基因編碼的非典型絲氨酸/蘇氨酸蛋白激酶,與常規蛋白激酶沒有序列同源性。ALPK1在多種組織中表達,包括骨髓、皮膚等。ALPK1的作用機制涉及識別并特異性結合細菌脂多糖LPS合成的前體糖分子ADP-heptose(二磷酸腺苷庚糖),進而激活NF-κB通路介導的天然免疫炎癥反應。ALPK1作為一種模式識別受體(PRR),在天然免疫反應中發揮重要作用,特別是在識別病原相關分子模式(PAMPs)和激活宿主免疫應答方面。ALPK1的激活可以誘導抗腫瘤免疫,在腫瘤免疫治療領域具有潛在的應用價值。
熱銷產品
Recombinant Human Alpha-protein kinase 1 (ALPK1), partial (CSB-BP836286HU)
驗證數據
(Tris-Glycine gel) Discontinuous SDS-PAGE (reduced) with 5% enrichment gel and 15% separation gel.
驗證數據
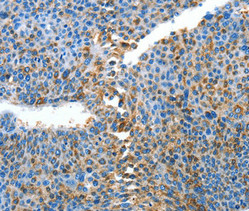
Immunohistochemical analysis of paraffin-embedded Human thyroid cancer tissue using at dilution 1/25.
Immunohistochemical analysis of paraffin-embedded Human liver cancer tissue using at dilution 1/25.
ALPK1 Antibodies
ALPK1 for Homo sapiens (Human)
| 產品貨號 | 產品名稱 | 種屬反應性 | 應用類型 |
|---|---|---|---|
| CSB-PA001628GA01HU | ALPK1 Antibody | Human,Mouse,Rat | ELISA,WB,IHC |
| CSB-PA093012 | ALPK1 Antibody | Human,Mouse,Rat | ELISA,IHC |
| CSB-PA004617 | ALPK1 Antibody | Human,Mouse | WB, IHC, IF, ELISA |
ALPK1 Proteins
ALPK1 Proteins for Homo sapiens (Human)
| 產品貨號 | 產品名稱 | 來源 |
|---|---|---|
| CSB-YP836286HU CSB-MP836286HU CSB-EP836286HU-B |
Recombinant Human Alpha-protein kinase 1 (ALPK1), partial | Yeast Mammalian cell In Vivo Biotinylation in E.coli |
| CSB-BP836286HU | Recombinant Human Alpha-protein kinase 1 (ALPK1), partial | Baculovirus |






