ALDH2
ALDH2,全稱為乙醛脫氫酶2,也被稱為乙醛脫氫酶。該蛋白在人體內主要參與酒精代謝,將乙醛轉化為乙酸,進而分解為二氧化碳和水。ALDH2的活性降低會導致乙醛在體內積累,引發臉紅、心悸、惡心等癥狀。此外,ALDH2與多種疾病相關,如心血管疾病、肝臟疾病和某些癌癥。近年來,針對ALDH2的研究不斷深入,發現其與多種信號通路有關,如氧化應激和炎癥反應。在藥物研發方面,針對ALDH2的藥物正在研發中,有望用于治療相關疾病。
熱銷產品
Recombinant Human Aldehyde dehydrogenase, mitochondrial (ALDH2) (CSB-EP001571HU)
驗證數據
(Tris-Glycine gel) Discontinuous SDS-PAGE (reduced) with 5% enrichment gel and 15% separation gel.
ALDH2 Recombinant Monoclonal Antibody (CSB-RA799763A0HU)
驗證數據
Western Blot
Positive WB detected in: Ntera-2 whole cell lysate, Mouse Liver whole cell lysate, Rat Liver cell lysate
All lanes: ALDH2 antibody at 1:1000
Secondary
Goat polyclonal to rabbit IgG at 1/50000 dilution
Predicted band size: 57, 51 kDa
Observed band size: 57 kDa
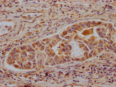
IHC image of CSB-RA799763A0HU diluted at 1:100 and staining in paraffin-embedded human liver cancer performed on a Leica BondTM system. After dewaxing and hydration, antigen retrieval was mediated by high pressure in a citrate buffer (pH 6.0). Section was blocked with 10% normal goat serum 30min at RT. Then primary antibody (1% BSA) was incubated at 4℃ overnight. The primary is detected by a Goat anti-rabbit IgG polymer labeled by HRP and visualized using 0.05% DAB.
ALDH2 Antibodies
ALDH2 for Homo sapiens (Human)
| 產品貨號 | 產品名稱 | 種屬反應性 | 應用類型 |
|---|---|---|---|
| CSB-PA001571GA01HU | ALDH2 Antibody | Human,Mouse,Rat | ELISA,WB,IHC |
| CSB-PA005566 | ALDH2 Antibody | Human,Mouse,Rat | WB, ELISA |
| CSB-RA799763A0HU | ALDH2 Recombinant Monoclonal Antibody | Human, Mouse, Rat | ELISA, WB, IHC |
ALDH2 Proteins
ALDH2 Proteins for Homo sapiens (Human)
| 產品貨號 | 產品名稱 | 來源 |
|---|---|---|
| CSB-YP001571HU CSB-BP001571HU CSB-MP001571HU CSB-EP001571HU-B |
Recombinant Human Aldehyde dehydrogenase, mitochondrial (ALDH2) | Yeast Baculovirus Mammalian cell In Vivo Biotinylation in E.coli |
| CSB-EP001571HU | Recombinant Human Aldehyde dehydrogenase, mitochondrial (ALDH2) | E.coli |
ALDH2 ELISA Kit
ALDH2 ELISA Kit for Homo sapiens (Human)
| 產品貨號 | 產品名稱 | 樣本類型 | 靈敏度 |
|---|---|---|---|
| CSB-E11854h | Human aldehyde dehydrogenase,ALDH ELISA Kit | serum, plasma, tissue homogenates | 19.5 pg/mL |






