ALDH1B1
ALDH1B1,全稱為乙醛脫氫酶1家族成員B1,暫時沒有被廣泛熟知的特殊別名。它是乙醛脫氫酶家族里的重要一員,主要負責體內醛類物質的代謝轉化——把有毒的乙醛分解成無害的乙酸,在肝臟這類代謝活躍的器官中,承擔著解毒和調節能量代謝的關鍵角色。
ALDH1B1表達異常和不少疾病有關聯:長期喝酒的人如果它活性不夠,乙醛在身體里堆積會加重肝臟損傷,提高酒精性肝病的發病風險;在結直腸癌、肝癌等腫瘤中,它的高表達常常和腫瘤細胞增殖快、耐藥性強聯系在一起,是潛在的腫瘤進展標志物。目前針對ALDH1B1的藥物研發主要集中在腫瘤靶向治療方向,一些小分子抑制劑被嘗試用來阻斷它的功能,希望能抑制腫瘤細胞生長,但相關臨床試驗還在探索階段,還沒有成熟的藥物獲批上市。
熱銷產品
ALDH1B1 Antibody (CSB-PA001568ESR1HU)
驗證數據
Western blot
All lanes: Aldehyde dehydrogenase X, mitochondrial antibody at 4μg/ml
Lane 1: Hela whole cell lysate
Lane 2: Rat brain tissue
Lane 3: HepG2 whole cell lysate
Secondary
Goat polyclonal to rabbit IgG at 1/10000 dilution
Predicted band size: 57 kDa
Observed band size: 57 kDa
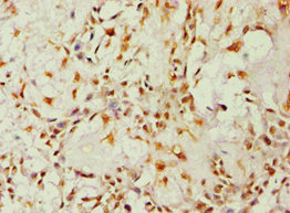
Immunohistochemistry of paraffin-embedded human breast cancer using CSB-PA001568ESR1HU at dilution of 1:100
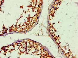
Immunohistochemistry of paraffin-embedded human testis tissue using CSB-PA001568ESR1HU at dilution of 1:100
ALDH1B1 Antibodies
ALDH1B1 for Homo sapiens (Human)
| 產品貨號 | 產品名稱 | 種屬反應性 | 應用類型 |
|---|---|---|---|
| CSB-PA001568GA01HU | ALDH1B1 Antibody | Human,Mouse,Rat | ELISA,WB,IHC |
| CSB-PA001568ESR1HU | ALDH1B1 Antibody | Human, Rat | ELISA, WB, IHC |
| CSB-PA900038 | ALDH1B1 Antibody | Human | ELISA,WB |
| CSB-PA000860 | ALDH1B1 Antibody | Human,Monkey | WB, ELISA |
| CSB-PA942262 | ALDH1B1 Antibody | Human | ELISA,WB |
ALDH1B1 Proteins
ALDH1B1 Proteins for Homo sapiens (Human)
| 產品貨號 | 產品名稱 | 來源 |
|---|---|---|
| CSB-YP001568HU CSB-EP001568HU CSB-BP001568HU CSB-MP001568HU CSB-EP001568HU-B |
Recombinant Human Aldehyde dehydrogenase X, mitochondrial (ALDH1B1) | Yeast E.coli Baculovirus Mammalian cell In Vivo Biotinylation in E.coli |
| CSB-EP001568HU1 | Recombinant Human Aldehyde dehydrogenase X, mitochondrial (ALDH1B1), partial | E.coli |






