ALDH1A2
ALDH1A2,即醛脫氫酶1家族成員A2,別名DIH4、RALDH2、RALDH2-T、RALDH(II)等。這是一種由人類基因編碼的酶,主要參與視黃醇代謝的第二步,將視黃醛不可逆地氧化成視黃酸,是視黃酸的主要合成酶 。視黃酸是維生素A的活性衍生物,作為一種激素信號分子,在發育和成人組織中發揮作用,對胚胎發育和成體組織的維持至關重要 。ALDH1A2在生物學上的意義主要體現在其對視黃酸水平的調控作用。研究表明,ALDH1A2與細胞色素CYP26A1共同作用,建立局部胚胎視黃酸水平,促進后部器官的發育并預防脊柱裂的發生 。ALDH1A2的異常表達與多種疾病相關,包括神經管缺陷、小眼癥、膈疝等 。此外,ALDH1A2在某些腫瘤干細胞中的表達增加,可能與腫瘤的發生發展有關 。因此,ALDH1A2是藥物開發和疾病治療中的一個潛在靶點。
熱銷產品
Recombinant Human Retinal dehydrogenase 2 (ALDH1A2) (CSB-YP001566HU)
驗證數據
(Tris-Glycine gel) Discontinuous SDS-PAGE (reduced) with 5% enrichment gel and 15% separation gel.
ALDH1A2 Antibody (CSB-PA001566EA01HU)
驗證數據
Western Blot
Positive WB detected in: K562 whole cell lysate, Mouse kidney tissue
All lanes: ALDH1A2 antibody at 3.5µg/ml
Secondary
Goat polyclonal to rabbit IgG at 1/50000 dilution
Predicted band size: 57, 54, 55, 47 kDa
Observed band size: 54 kDa
Immunohistochemistry of paraffin-embedded human lung tissue using CSB-PA001566EA01HU at dilution of 1:100
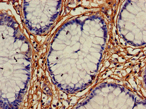
Immunohistochemistry of paraffin-embedded human colon cancer using CSB-PA001566EA01HU at dilution of 1:100
ALDH1A2 Antibodies
ALDH1A2 for Homo sapiens (Human)
| 產品貨號 | 產品名稱 | 種屬反應性 | 應用類型 |
|---|---|---|---|
| CSB-PA001566GA01HU | ALDH1A2 Antibody | Human,Mouse,Rat | ELISA,WB |
| CSB-PA001566ESR1HU | ALDH1A2 Antibody | Human, Mouse | ELISA, WB, IHC |
| CSB-PA001566ESR2HU | ALDH1A2 Antibody | Human, Mouse | ELISA, WB |
| CSB-PA144510 | ALDH1A2 Antibody | Human,Mouse,Rat | ELISA,WB |
| CSB-PA070161 | ALDH1A2 Antibody | Human,Mouse,Rat | WB, IHC, ELISA |
| CSB-PA053602 | ALDH1A2 Antibody | Human,Mouse,Rat | ELISA,IHC |
| CSB-PA039662 | ALDH1A2 Antibody | Human,Mouse,Rat | ELISA,WB,IHC |
| CSB-PA001566EA01HU | ALDH1A2 Antibody | Human, Mouse | ELISA, WB, IHC |
| CSB-PA001566ED01HU | ALDH1A2 Antibody, Biotin conjugated | Human | ELISA |
ALDH1A2 Proteins
ALDH1A2 Proteins for Homo sapiens (Human)
| 產品貨號 | 產品名稱 | 來源 |
|---|---|---|
| CSB-YP001566HU | Recombinant Human Retinal dehydrogenase 2 (ALDH1A2) | Yeast |
| CSB-EP001566HU CSB-BP001566HU CSB-MP001566HU CSB-EP001566HU-B |
Recombinant Human Retinal dehydrogenase 2 (ALDH1A2) | E.coli Baculovirus Mammalian cell In Vivo Biotinylation in E.coli |






