ALCAM
活化白細胞黏附分子(ALCAM)又稱CD166,是一種跨膜糖蛋白,屬于免疫球蛋白超家族成員。它在胚胎發育、神經軸突導向及免疫細胞遷移中發揮關鍵作用,通過與受體相互作用介導同型或異型細胞黏附。ALCAM異常表達與多種腫瘤密切相關,乳腺癌、結直腸癌中ALCAM高表達常伴隨侵襲轉移能力增強,而前列腺癌中其表達缺失反而促進腫瘤進展,這種"雙刃劍"特性使其成為癌癥研究熱點。在神經領域,阿爾茨海默病患者腦脊液中可檢測到ALCAM水平升高,提示其參與神經炎癥過程。近年來針對ALCAR的靶向藥物研發集中在單克隆抗體方向,實驗顯示阻斷ALCAM能抑制黑色素瘤細胞肺轉移。其復雜的功能網絡還涉及干細胞niche維持,在骨髓微環境中調控造血干細胞的定位與增殖。
熱銷產品
Recombinant Human CD166 antigen (ALCAM), partial (CSB-EP614444HU)
驗證數據
(Tris-Glycine gel) Discontinuous SDS-PAGE (reduced) with 5% enrichment gel and 15% separation gel.
ALCAM Recombinant Monoclonal Antibody (CSB-RA437652A0HU)
驗證數據
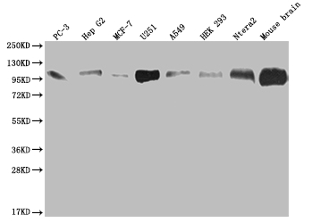
Western Blot
Positive WB detected in: PC3 whole cell lysate, HepG2 whole cell lysate, MCF-7 whole cell lysate, U251 whole cell lysate, A549 whole cell lysate, HEK293 whole cell lysate, Ntera-2 whole cell lysate, Mouse brain tissue
All lanes: ALCAM antibody at 1:2000
Secondary
Goat polyclonal to rabbit IgG at 1/50000 dilution
Predicted band size: 66, 64, 16, 34 kDa
Observed band size: 100 kDa
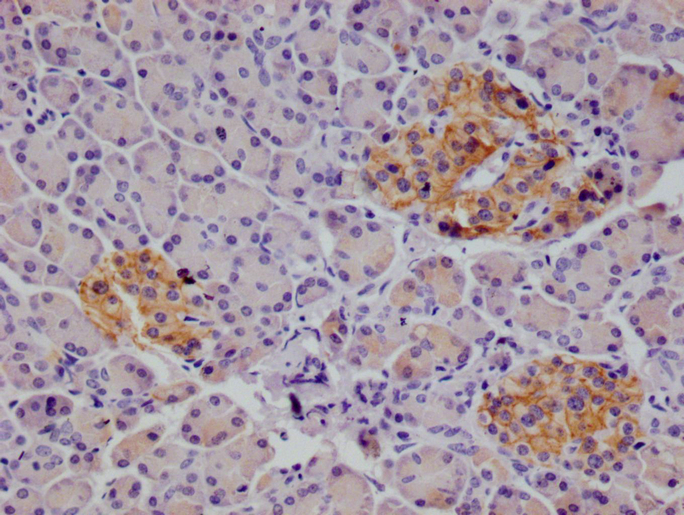
IHC image of CSB-RA437652A0HU diluted at 1:100 and staining in paraffin-embedded human pancreatic tissue performed on a Leica BondTM system. After dewaxing and hydration, antigen retrieval was mediated by high pressure in a citrate buffer (pH 6.0). Section was blocked with 10% normal goat serum 30min at RT. Then primary antibody (1% BSA) was incubated at 4°C overnight. The primary is detected by a Goat anti-rabbit polymer IgG labeled by HRP and visualized using 0.05% DAB.
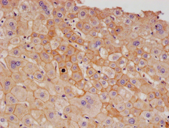
IHC image of CSB-RA437652A0HU diluted at 1:100 and staining in paraffin-embedded human liver cancer performed on a Leica BondTM system. After dewaxing and hydration, antigen retrieval was mediated by high pressure in a citrate buffer (pH 6.0). Section was blocked with 10% normal goat serum 30min at RT. Then primary antibody (1% BSA) was incubated at 4°C overnight. The primary is detected by a Goat anti-rabbit polymer IgG labeled by HRP and visualized using 0.05% DAB.
ALCAM Antibodies
ALCAM for Homo sapiens (Human)
| 產品貨號 | 產品名稱 | 種屬反應性 | 應用類型 |
|---|---|---|---|
| CSB-PA005632 | ALCAM Antibody | Human,Mouse,Rat | WB, ELISA |
| CSB-PA171908 | ALCAM Antibody | Human,Mouse,Rat | ELISA,WB,IHC |
| CSB-PA104246 | ALCAM Antibody | Human,Mouse,Rat | ELISA,IHC |
| CSB-PA614444ESR1HU | ALCAM Antibody | Human | ELISA, IHC |
| CSB-PA614444ESR2HU | ALCAM Antibody | Human, Mouse | ELISA, WB, IHC |
| CSB-PA10209A0Rb | ALCAM Antibody | Human | ELISA, IHC, IF |
| CSB-PA10209D0Rb | ALCAM Antibody, Biotin conjugated | Human | ELISA |
| CSB-RA437652A0HU | ALCAM Recombinant Monoclonal Antibody | Human, Mouse | ELISA, WB, IHC |
ALCAM Proteins
ALCAM Proteins for Gallus gallus (Chicken)
| 產品貨號 | 產品名稱 | 來源 |
|---|---|---|
| CSB-YP001562CH1 CSB-EP001562CH1 CSB-BP001562CH1 CSB-MP001562CH1 CSB-EP001562CH1-B |
Recombinant Chicken CD166 antigen (ALCAM), partial | Yeast E.coli Baculovirus Mammalian cell In Vivo Biotinylation in E.coli |
| CSB-CF001562CH | Recombinant Chicken CD166 antigen (ALCAM) | in vitro E.coli expression system |
ALCAM Proteins for Canis familiaris (Dog) (Canis lupus familiaris)
| 產品貨號 | 產品名稱 | 來源 |
|---|---|---|
| CSB-YP001562DO1 CSB-EP001562DO1 CSB-BP001562DO1 CSB-MP001562DO1 CSB-EP001562DO1-B |
Recombinant Dog CD166 antigen (ALCAM), partial | Yeast E.coli Baculovirus Mammalian cell In Vivo Biotinylation in E.coli |
| CSB-CF001562DO | Recombinant Dog CD166 antigen (ALCAM) | in vitro E.coli expression system |
ALCAM Proteins for Oryctolagus cuniculus (Rabbit)
| 產品貨號 | 產品名稱 | 來源 |
|---|---|---|
| CSB-YP001562RB1 CSB-EP001562RB1 CSB-BP001562RB1 CSB-MP001562RB1 CSB-EP001562RB1-B |
Recombinant Rabbit CD166 antigen (ALCAM), partial | Yeast E.coli Baculovirus Mammalian cell In Vivo Biotinylation in E.coli |
| CSB-CF001562RB | Recombinant Rabbit CD166 antigen (ALCAM) | in vitro E.coli expression system |
ALCAM Proteins for Rattus norvegicus (Rat)
| 產品貨號 | 產品名稱 | 來源 |
|---|---|---|
| CSB-YP001562RA1 CSB-EP001562RA1 CSB-BP001562RA1 CSB-MP001562RA1 CSB-EP001562RA1-B |
Recombinant Rat CD166 antigen (Alcam), partial | Yeast E.coli Baculovirus Mammalian cell In Vivo Biotinylation in E.coli |
| CSB-CF001562RA | Recombinant Rat CD166 antigen (Alcam) | in vitro E.coli expression system |
ALCAM Proteins for Homo sapiens (Human)
| 產品貨號 | 產品名稱 | 來源 |
|---|---|---|
| CSB-YP614444HU CSB-BP614444HU CSB-MP614444HU CSB-EP614444HU-B |
Recombinant Human CD166 antigen (ALCAM), partial | Yeast Baculovirus Mammalian cell In Vivo Biotinylation in E.coli |
| CSB-EP614444HU | Recombinant Human CD166 antigen (ALCAM), partial | E.coli |
ALCAM Proteins for Mus musculus (Mouse)
| 產品貨號 | 產品名稱 | 來源 |
|---|---|---|
| CSB-YP730740MO CSB-EP730740MO CSB-BP730740MO CSB-MP730740MO CSB-EP730740MO-B |
Recombinant Mouse CD166 antigen (Alcam), partial | Yeast E.coli Baculovirus Mammalian cell In Vivo Biotinylation in E.coli |
ALCAM Proteins for Carassius auratus (Goldfish)
| 產品貨號 | 產品名稱 | 來源 |
|---|---|---|
| CSB-YP849520DQG CSB-EP849520DQG CSB-BP849520DQG CSB-MP849520DQG CSB-EP849520DQG-B |
Recombinant Carassius auratus CD166 antigen homolog (alcam), partial | Yeast E.coli Baculovirus Mammalian cell In Vivo Biotinylation in E.coli |
ALCAM Proteins for Bos taurus (Bovine)
| 產品貨號 | 產品名稱 | 來源 |
|---|---|---|
| CSB-YP861048BO CSB-EP861048BO CSB-BP861048BO CSB-MP861048BO CSB-EP861048BO-B |
Recombinant Bovine CD166 antigen (ALCAM), partial | Yeast E.coli Baculovirus Mammalian cell In Vivo Biotinylation in E.coli |
ALCAM ELISA Kit
ALCAM ELISA Kit for Homo sapiens (Human)
| 產品貨號 | 產品名稱 | 樣本類型 | 靈敏度 |
|---|---|---|---|
| CSB-E04487h | Human Activated Leukocyte Cell Adhesion Molecule,ALCAM ELISA Kit |






