AKR1D1
AKR1D1,全稱為3-羥基酰基輔酶A脫氫酶1,也被稱為3-羥基酰基輔酶A脫氫酶。該蛋白在細胞內主要參與脂肪酸的代謝過程,對維持細胞能量平衡具有重要作用。AKR1D1蛋白與多種疾病相關,如癌癥、糖尿病等。近年來,針對AKR1D1蛋白的藥物研發取得一定進展,有望為相關疾病的治療提供新的策略。
熱銷產品
AKR1D1 Antibody (CSB-PA001548LA01HU)
驗證數據
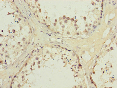
Immunohistochemistry of paraffin-embedded human testis tissue using CSB-PA001548LA01HU at dilution of 1:100
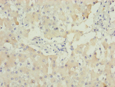
Immunohistochemistry of paraffin-embedded human liver tissue using CSB-PA001548LA01HU at dilution of 1:100
AKR1D1 Antibodies
AKR1D1 for Homo sapiens (Human)
| 產品貨號 | 產品名稱 | 種屬反應性 | 應用類型 |
|---|---|---|---|
| CSB-PA217516 | AKR1D1 Antibody | Human,Mouse,Rat | ELISA,WB,IHC |
| CSB-PA970433 | AKR1D1 Antibody | Human,Mouse,Rat | ELISA,WB,IHC |
| CSB-PA001548LA01HU | AKR1D1 Antibody | Human | ELISA, IHC |
AKR1D1 Proteins
AKR1D1 Proteins for Homo sapiens (Human)
| 產品貨號 | 產品名稱 | 來源 |
|---|---|---|
| CSB-YP001548HU CSB-EP001548HU CSB-BP001548HU CSB-MP001548HU CSB-EP001548HU-B |
Recombinant Human 3-oxo-5-beta-steroid 4-dehydrogenase (AKR1D1) | Yeast E.coli Baculovirus Mammalian cell In Vivo Biotinylation in E.coli |






