AKR1B10
AKR1B10,全稱為醛酮還原酶家族1成員B10,在多種組織中均有表達,但在小腸、結腸和腎上腺中表達量最高。該蛋白能夠有效還原脂肪族和芳香族醛,對己糖的活性較低,可能在肝臟腫瘤發生中發揮重要作用。AKR1B10蛋白的表達與多種疾病相關,包括肝癌、肺癌、乳腺癌和結腸癌等。近年來,AKR1B10蛋白作為肝癌診斷標志物的應用研究取得了顯著進展。研究表明,AKR1B10蛋白作為肝癌血清標志物,其性能優于傳統的甲胎蛋白(AFP),具有更高的靈敏度和特異性,能夠更早地發現早期肝癌患者。此外,AKR1B10蛋白的表達也與結直腸癌肝轉移密切相關。研究發現,AKR1B10蛋白在結直腸癌中低表達,其缺失會導致活性氧水平上升,進而誘導蛋白磷酸酶2A(PP2A)的調節亞基B56α硝基化,抑制PP2A活性,增強c-Myc蛋白穩定性,激活下游整合素信號通路,促進腫瘤細胞轉移。基于AKR1B10蛋白的這些特性,研究人員正在開發針對AKR1B10蛋白的藥物,以期用于肝癌和結直腸癌的診斷和治療。
熱銷產品
Recombinant Human Aldo-keto reductase family 1 member B10 (AKR1B10) (K125L) (CSB-EP001540HU(M))
驗證數據
(Tris-Glycine gel) Discontinuous SDS-PAGE (reduced) with 5% enrichment gel and 15% separation gel.
AKR1B10 Antibody (CSB-PA001540ESR2HU)
驗證數據
Western blot
All lanes: AKR1B10 antibody at 4µg/ml + A549 whole cell lysate
Secondary
Goat polyclonal to rabbit IgG at 1/10000 dilution
Predicted band size: 36 kDa
Observed band size: 36 kDa
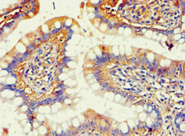
Immunohistochemistry of paraffin-embedded human small intestine tissue using CSB-PA001540ESR2HU at dilution of 1:100
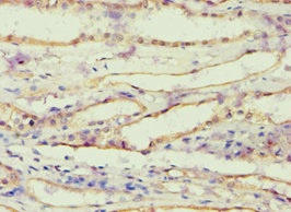
Immunohistochemistry of paraffin-embedded human kidney tissue using CSB-PA001540ESR2HU at dilution of 1:100
Human Aldo-keto reductase family 1 member B10(AKR1B10) ELISA kit (CSB-EL001540HU)
驗證數據
貨號:CSB-EL001540HU
規格:96T/48T
靈敏度:0.156 ng/mL
檢測范圍:0.625 ng/mL-40 ng/mL
These standard curves are provided for demonstration only. A standard curve should be generated for each set of samples assayed.
AKR1B10 Antibodies
AKR1B10 for Homo sapiens (Human)
| 產品貨號 | 產品名稱 | 種屬反應性 | 應用類型 |
|---|---|---|---|
| CSB-PA001540ESR2HU | AKR1B10 Antibody | Human | ELISA, WB, IHC |
| CSB-PA298726 | AKR1B10 Antibody | Human | ELISA,WB,IHC |
| CSB-PA918257 | AKR1B10 Antibody | Human | ELISA,WB,IHC |
AKR1B10 Proteins
AKR1B10 Proteins for Homo sapiens (Human)
| 產品貨號 | 產品名稱 | 來源 |
|---|---|---|
| CSB-YP001540HU CSB-BP001540HU CSB-MP001540HU CSB-EP001540HU-B |
Recombinant Human Aldo-keto reductase family 1 member B10 (AKR1B10) | Yeast Baculovirus Mammalian cell In Vivo Biotinylation in E.coli |
| CSB-EP001540HU | Recombinant Human Aldo-keto reductase family 1 member B10 (AKR1B10) | E.coli |
| CSB-EP001540HU(M) | Recombinant Human Aldo-keto reductase family 1 member B10 (AKR1B10) (K125L) | E.coli |
AKR1B10 ELISA Kit
AKR1B10 ELISA Kit for Homo sapiens (Human)
| 產品貨號 | 產品名稱 | 樣本類型 | 靈敏度 |
|---|---|---|---|
| CSB-EL001540HU | Human Aldo-keto reductase family 1 member B10(AKR1B10) ELISA kit | serum, plasma, tissue homogenates | 0.156 ng/mL |






