AIMP2
AIMP2,全稱為氨酰tRNA合成酶復合物相互作用多功能蛋白2,是一種參與蛋白質生物合成的關鍵蛋白。別名JTV-1、P38等。AIMP2蛋白與多種疾病的發生發展密切相關,如肺癌、神經元疾病等。在肺癌中,AIMP2蛋白的變體AIMP2-DX2被發現可以促進腫瘤生成并抑制炎性標記物Cox-2的表達。此外,AIMP2-DX2在正常細胞中的表達導致細胞癌變,而抑制AIMP2-DX2的形成則抑制癌細胞的生長,從而達到治療癌癥的效果。在神經元疾病方面,AIMP2蛋白也被發現可以治療神經元疾病,如阿爾茨海默病、帕金森氏病等。
針對AIMP2蛋白的藥物研發也在不斷進展中。例如,韓國巴斯德研究所InheeChoi課題組在Journal of Enzyme Inhibition and Medicinal Chemistry雜志上報道了首個基于已知AIMP2-DX2抑制劑BC-DXI-495設計的,可靶向AIMP2-DX2的高效蛋白降解劑化合物45。該化合物在體外實驗中可高效抑制A549細胞中高表達的AIMP2-DX2,且對AIMP2蛋白本身沒有任何影響,顯示出良好的選擇性。
熱銷產品
驗證數據
(Tris-Glycine gel) Discontinuous SDS-PAGE (reduced) with 5% enrichment gel and 15% separation gel.
AIMP2 Antibody (CSB-PA819153ESR1HU)
驗證數據
Western blot
All lanes: AIMP2 antibody at 5μg/ml
Lane 1: Hela whole cell lysate
Lane 2: HepG2 whole cell lysate
Lane 3: K562 whole cell lysate
Secondary
Goat polyclonal to rabbit IgG at 1/10000 dilution
Predicted band size: 35 kDa
Observed band size: 35 kDa
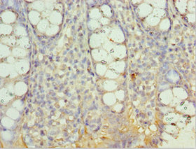
Immunohistochemistry of paraffin-embedded human colon cancer using CSB-PA819153ESR1HU at dilution of 1:100
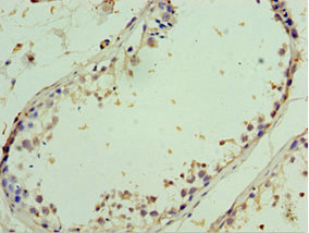
Immunohistochemistry of paraffin-embedded human testis tissue using CSB-PA819153ESR1HU at dilution of 1:100
AIMP2 Antibodies
AIMP2 for Homo sapiens (Human)
| 產品貨號 | 產品名稱 | 種屬反應性 | 應用類型 |
|---|---|---|---|
| CSB-PA819153ESR1HU | AIMP2 Antibody | Human | ELISA, WB, IHC |
| CSB-PA151818 | AIMP2 Antibody | Human,Mouse,Rat | ELISA,WB,IHC |
| CSB-PA289421 | AIMP2 Antibody | Human,Mouse,Rat | ELISA,WB,IHC |
| CSB-PA904906 | AIMP2 Antibody | Human,Mouse,Rat | ELISA,WB,IHC |
AIMP2 Proteins
AIMP2 Proteins for Homo sapiens (Human)
| 產品貨號 | 產品名稱 | 來源 |
|---|---|---|
| CSB-YP618761HU CSB-BP618761HU CSB-MP618761HU CSB-EP618761HU-B |
Recombinant Human Aminoacyl tRNA synthase complex-interacting multifunctional protein 2 (AIMP2) | Yeast Baculovirus Mammalian cell In Vivo Biotinylation in E.coli |
| CSB-EP618761HU | Recombinant Human Aminoacyl tRNA synthase complex-interacting multifunctional protein 2 (AIMP2) | E.coli |






