AHNAK
AHNAK,全稱為核蛋白AHNAK,是一種大型結構支架蛋白,由具有128個氨基酸重復的中央結構域組成。該蛋白在細胞內發揮著多種生物學功能,首先,它是一種支架蛋白,參與細胞骨架的形成和細胞遷移的調節。AHNAK蛋白可以與多種蛋白質相互作用,形成一個復雜的蛋白質網絡,參與細胞粘附、細胞膜修復、鈣信號傳導和細胞骨架重組中。AHNAK蛋白在細胞粘附、細胞膜修復、鈣信號傳導和細胞骨架重組中發揮重要作用。它通過與多種蛋白質相互作用,如肌動蛋白、膜聯蛋白和鈣通道蛋白,參與細胞膜的穩定性和修復。AHNAK蛋白在阿爾茨海默病患者的腦中呈顯著上調趨勢,且與疾病嚴重程度密切相關,是膠質細胞-神經元互作模塊M3的核心樞紐,其網絡周邊富集了大量與AD病理相關的蛋白質。研究證實,AHNAK是極具潛力的治療靶點,降低其活性能減少毒性蛋白、恢復神經元功能,這為恢復大腦健康提供了明確方向。目前,針對AHNAK蛋白的藥物研發尚處于早期階段,但已有研究團隊開始探索其作為治療阿爾茨海默病的潛在靶點。
熱銷產品
AHNAK Antibody (CSB-PA600257LA01HU)
驗證數據
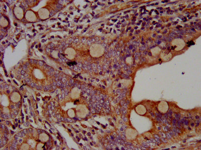
IHC image of CSB-PA600257LA01HU diluted at 1:500 and staining in paraffin-embedded human small intestine tissue performed on a Leica BondTM system. After dewaxing and hydration, antigen retrieval was mediated by high pressure in a citrate buffer (pH 6.0). Section was blocked with 10% normal goat serum 30min at RT. Then primary antibody (1% BSA) was incubated at 4°C overnight. The primary is detected by a biotinylated secondary antibody and visualized using an HRP conjugated SP system.
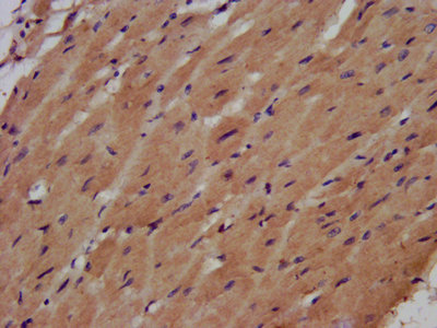
IHC image of CSB-PA600257LA01HU diluted at 1:500 and staining in paraffin-embedded human heart tissue performed on a Leica BondTM system. After dewaxing and hydration, antigen retrieval was mediated by high pressure in a citrate buffer (pH 6.0). Section was blocked with 10% normal goat serum 30min at RT. Then primary antibody (1% BSA) was incubated at 4°C overnight. The primary is detected by a biotinylated secondary antibody and visualized using an HRP conjugated SP system.
Immunofluorescence staining of Hela cells with CSB-PA600257LA01HU at 1:166, counter-stained with DAPI. The cells were fixed in 4% formaldehyde, permeabilized using 0.2% Triton X-100 and blocked in 10% normal Goat Serum. The cells were then incubated with the antibody overnight at 4°C. The secondary antibody was Alexa Fluor 488-congugated AffiniPure Goat Anti-Rabbit IgG(H+L).
AHNAK Antibodies
AHNAK for Homo sapiens (Human)
| 產品貨號 | 產品名稱 | 種屬反應性 | 應用類型 |
|---|---|---|---|
| CSB-PA600257LA01HU | AHNAK Antibody | Human | ELISA, IHC, IF |
| CSB-PA600257LB01HU | AHNAK Antibody, HRP conjugated | Human | ELISA |
AHNAK Proteins
AHNAK Proteins for Homo sapiens (Human)
| 產品貨號 | 產品名稱 | 來源 |
|---|---|---|
| CSB-YP600257HU CSB-EP600257HU CSB-BP600257HU CSB-MP600257HU CSB-EP600257HU-B |
Recombinant Human Neuroblast differentiation-associated protein AHNAK (AHNAK), partial | Yeast E.coli Baculovirus Mammalian cell In Vivo Biotinylation in E.coli |






