ADRB2
ADRB2,全稱為β2腎上腺素能受體,是一種在多種組織細胞中廣泛表達的G蛋白偶聯受體。它參與調節多種生理功能,包括心血管系統、呼吸系統和代謝過程。ADRB2受體激動劑是治療哮喘和慢性阻塞性肺病(COPD)等呼吸系統疾病的重要藥物,根據其作用持續時間,它們被分為短效、長效和超長效β-激動劑。ADRB2在氣道平滑肌張力的重要調節劑,其功能異常與多種疾病的發生發展有關,包括夜間哮喘、肥胖、2型糖尿病和心血管疾病。近年來,ADRB2抑制劑在腫瘤預防和治療研究領域受到越來越多的關注,例如與索拉菲尼聯用治療肝癌。目前,針對ADRB2的藥物研發主要集中在開發新型激動劑和抑制劑,以治療呼吸系統疾病和腫瘤等疾病。
熱銷產品
Recombinant Human Beta-2 adrenergic receptor (ADRB2), partial (CSB-EP001392HU1)
驗證數據
(Tris-Glycine gel) Discontinuous SDS-PAGE (reduced) with 5% enrichment gel and 15% separation gel.
ADRB2 Recombinant Monoclonal Antibody (CSB-RA286054A0HU)
驗證數據
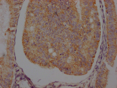
IHC image of CSB-RA286054A0HU diluted at 1:100 and staining in paraffin-embedded human endometrial cancer performed on a Leica BondTM system. After dewaxing and hydration, antigen retrieval was mediated by high pressure in a citrate buffer (pH 6.0). Section was blocked with 10% normal goat serum 30min at RT. Then primary antibody (1% BSA) was incubated at 4℃ overnight. The primary is detected by a Goat anti-rabbit IgG polymer labeled by HRP and visualized using 0.05% DAB.
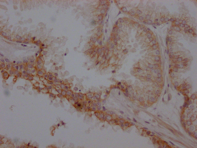
IHC image of CSB-RA286054A0HU diluted at 1:100 and staining in paraffin-embedded human prostate cancer performed on a Leica BondTM system. After dewaxing and hydration, antigen retrieval was mediated by high pressure in a citrate buffer (pH 6.0). Section was blocked with 10% normal goat serum 30min at RT. Then primary antibody (1% BSA) was incubated at 4℃ overnight. The primary is detected by a Goat anti-rabbit IgG polymer labeled by HRP and visualized using 0.05% DAB.
ADRB2 Antibodies
ADRB2 for Homo sapiens (Human)
| 產品貨號 | 產品名稱 | 種屬反應性 | 應用類型 |
|---|---|---|---|
| CSB-PA001392GA01HU | ADRB2 Antibody | Human,Mouse,Rat | ELISA,WB,IHC |
| CSB-PA758017 | Phospho-ADRB2 (Ser346) Antibody | Human | ELISA,WB |
| CSB-PA000938 | ADRB2 Antibody | Human | WB, IHC, IF, FCM, ELISA |
| CSB-PA000939 | ADRB2 Antibody | Human, Mouse, Rat | WB, IHC, IF, ELISA |
| CSB-PA004662 | ADRB2 Antibody | Human,Mouse,Rat | WB, ELISA |
| CSB-PA007496 | Phospho-ADRB2 (S355/S356) Antibody | Human,Mouse,Rat,Monkey | WB, IHC, ELISA |
| CSB-PA007500 | Phospho-ADRB2 (S346) Antibody | Human | WB, IHC, IF, ELISA |
| CSB-PA007505 | ADRB2 Antibody | Human | WB, IHC, IF, ELISA |
| CSB-PA195617 | ADRB2 Antibody | Human,Mouse | ELISA,WB |
| CSB-PA211297 | ADRB2 Antibody | Human,Mouse | ELISA,WB,IHC |
| CSB-RA286054A0HU | ADRB2 Recombinant Monoclonal Antibody | Human | ELISA, IHC |
ADRB2 for Rattus norvegicus (Rat)
| 產品貨號 | 產品名稱 | 種屬反應性 | 應用類型 |
|---|---|---|---|
| CSB-PA001392LA01RA | Adrb2 Antibody | Rat | ELISA |
| CSB-PA001392LC01RA | Adrb2 Antibody, FITC conjugated | Rat | |
| CSB-PA001392LD01RA | Adrb2 Antibody, Biotin conjugated | Rat | ELISA |
ADRB2 Proteins
ADRB2 Proteins for Rattus norvegicus (Rat)
| 產品貨號 | 產品名稱 | 來源 |
|---|---|---|
| CSB-YP001392RA1 CSB-EP001392RA1 CSB-BP001392RA1 CSB-MP001392RA1 CSB-EP001392RA1-B |
Recombinant Rat Beta-2 adrenergic receptor (Adrb2), partial | Yeast E.coli Baculovirus Mammalian cell In Vivo Biotinylation in E.coli |
| CSB-CF001392RA | Recombinant Rat Beta-2 adrenergic receptor (Adrb2) | in vitro E.coli expression system |
ADRB2 Proteins for Mus musculus (Mouse)
| 產品貨號 | 產品名稱 | 來源 |
|---|---|---|
| CSB-YP001392MO1 CSB-EP001392MO1 CSB-BP001392MO1 CSB-MP001392MO1 CSB-EP001392MO1-B |
Recombinant Mouse Beta-2 adrenergic receptor (Adrb2), partial | Yeast E.coli Baculovirus Mammalian cell In Vivo Biotinylation in E.coli |
| CSB-CF001392MO | Recombinant Mouse Beta-2 adrenergic receptor (Adrb2) | in vitro E.coli expression system |
ADRB2 Proteins for Canis familiaris (Dog) (Canis lupus familiaris)
| 產品貨號 | 產品名稱 | 來源 |
|---|---|---|
| CSB-YP001392DO1 CSB-EP001392DO1 CSB-BP001392DO1 CSB-MP001392DO1 CSB-EP001392DO1-B |
Recombinant Dog Beta-2 adrenergic receptor (ADRB2), partial | Yeast E.coli Baculovirus Mammalian cell In Vivo Biotinylation in E.coli |
| CSB-CF001392DO | Recombinant Dog Beta-2 adrenergic receptor (ADRB2) | in vitro E.coli expression system |
ADRB2 Proteins for Mesocricetus auratus (Golden hamster)
| 產品貨號 | 產品名稱 | 來源 |
|---|---|---|
| CSB-YP001392MRG1 CSB-EP001392MRG1 CSB-BP001392MRG1 CSB-MP001392MRG1 CSB-EP001392MRG1-B |
Recombinant Mesocricetus auratus Beta-2 adrenergic receptor (ADRB2), partial | Yeast E.coli Baculovirus Mammalian cell In Vivo Biotinylation in E.coli |
| CSB-CF001392MRG | Recombinant Mesocricetus auratus Beta-2 adrenergic receptor (ADRB2) | in vitro E.coli expression system |
ADRB2 Proteins for Meriones unguiculatus (Mongolian jird) (Mongolian gerbil)
| 產品貨號 | 產品名稱 | 來源 |
|---|---|---|
| CSB-YP001392MRA1 CSB-EP001392MRA1 CSB-BP001392MRA1 CSB-MP001392MRA1 CSB-EP001392MRA1-B |
Recombinant Meriones unguiculatus Beta-2 adrenergic receptor (ADRB2), partial | Yeast E.coli Baculovirus Mammalian cell In Vivo Biotinylation in E.coli |
| CSB-CF001392MRA | Recombinant Meriones unguiculatus Beta-2 adrenergic receptor (ADRB2) | in vitro E.coli expression system |
ADRB2 Proteins for Sus scrofa (Pig)
| 產品貨號 | 產品名稱 | 來源 |
|---|---|---|
| CSB-YP630705PI1 CSB-EP630705PI1 CSB-BP630705PI1 CSB-MP630705PI1 CSB-EP630705PI1-B |
Recombinant Pig Beta-2 adrenergic receptor (ADRB2), partial | Yeast E.coli Baculovirus Mammalian cell In Vivo Biotinylation in E.coli |
| CSB-CF630705PI | Recombinant Pig Beta-2 adrenergic receptor (ADRB2) | in vitro E.coli expression system |
ADRB2 Proteins for Macaca mulatta (Rhesus macaque)
| 產品貨號 | 產品名稱 | 來源 |
|---|---|---|
| CSB-YP635694MOW1 CSB-EP635694MOW1 CSB-BP635694MOW1 CSB-MP635694MOW1 CSB-EP635694MOW1-B |
Recombinant Macaca mulatta Beta-2 adrenergic receptor (ADRB2), partial | Yeast E.coli Baculovirus Mammalian cell In Vivo Biotinylation in E.coli |
| CSB-CF635694MOW | Recombinant Macaca mulatta Beta-2 adrenergic receptor (ADRB2) | in vitro E.coli expression system |
ADRB2 Proteins for Bos taurus (Bovine)
| 產品貨號 | 產品名稱 | 來源 |
|---|---|---|
| CSB-YP636707BO1 CSB-EP636707BO1 CSB-BP636707BO1 CSB-MP636707BO1 CSB-EP636707BO1-B |
Recombinant Bovine Beta-2 adrenergic receptor (ADRB2), partial | Yeast E.coli Baculovirus Mammalian cell In Vivo Biotinylation in E.coli |
| CSB-CF636707BO | Recombinant Bovine Beta-2 adrenergic receptor (ADRB2) | in vitro E.coli expression system |
ADRB2 Proteins for Tscherskia triton (Greater long-tailed hamster)
| 產品貨號 | 產品名稱 | 來源 |
|---|---|---|
| CSB-YP679764TBAK1 CSB-EP679764TBAK1 CSB-BP679764TBAK1 CSB-MP679764TBAK1 CSB-EP679764TBAK1-B |
Recombinant Tscherskia triton Beta-2 adrenergic receptor (ADRB2), partial | Yeast E.coli Baculovirus Mammalian cell In Vivo Biotinylation in E.coli |
| CSB-CF679764TBAK | Recombinant Tscherskia triton Beta-2 adrenergic receptor (ADRB2) | in vitro E.coli expression system |
ADRB2 Proteins for Cavia porcellus (Guinea pig)
| 產品貨號 | 產品名稱 | 來源 |
|---|---|---|
| CSB-YP814330GU1 CSB-EP814330GU1 CSB-BP814330GU1 CSB-MP814330GU1 CSB-EP814330GU1-B |
Recombinant Guinea pig Beta-2 adrenergic receptor (Adrb2), partial | Yeast E.coli Baculovirus Mammalian cell In Vivo Biotinylation in E.coli |
| CSB-CF814330GU | Recombinant Guinea pig Beta-2 adrenergic receptor (Adrb2) | in vitro E.coli expression system |
ADRB2 Proteins for Oncorhynchus mykiss (Rainbow trout) (Salmo gairdneri)
| 產品貨號 | 產品名稱 | 來源 |
|---|---|---|
| CSB-YP844965OEI1 CSB-EP844965OEI1 CSB-BP844965OEI1 CSB-MP844965OEI1 CSB-EP844965OEI1-B |
Recombinant Oncorhynchus mykiss Beta-2 adrenergic receptor (adrb2), partial | Yeast E.coli Baculovirus Mammalian cell In Vivo Biotinylation in E.coli |
| CSB-CF844965OEI | Recombinant Oncorhynchus mykiss Beta-2 adrenergic receptor (adrb2) | in vitro E.coli expression system |
ADRB2 Proteins for Felis catus (Cat) (Felis silvestris catus)
| 產品貨號 | 產品名稱 | 來源 |
|---|---|---|
| CSB-YP866129CA1 CSB-EP866129CA1 CSB-BP866129CA1 CSB-MP866129CA1 CSB-EP866129CA1-B |
Recombinant Cat Beta-2 adrenergic receptor (ADRB2), partial | Yeast E.coli Baculovirus Mammalian cell In Vivo Biotinylation in E.coli |
| CSB-CF866129CA | Recombinant Cat Beta-2 adrenergic receptor (ADRB2) | in vitro E.coli expression system |
ADRB2 Proteins for Homo sapiens (Human)
| 產品貨號 | 產品名稱 | 來源 |
|---|---|---|
| CSB-CF001392HU(M) | Recombinant Human Beta-2 adrenergic receptor (ADRB2) (G16R,E27Q) | in vitro E.coli expression system |
| CSB-YP001392HU1 CSB-BP001392HU1 CSB-MP001392HU1 CSB-EP001392HU1-B |
Recombinant Human Beta-2 adrenergic receptor (ADRB2), partial | Yeast Baculovirus Mammalian cell In Vivo Biotinylation in E.coli |
| CSB-MP001392HU(M) | Recombinant Human Beta-2 adrenergic receptor (ADRB2) (G16R,E27Q)-VLPs | Mammalian cell |
| CSB-EP001392HU1 | Recombinant Human Beta-2 adrenergic receptor (ADRB2), partial | E.coli |






