ADORA2A
腺苷A2A受體(ADORA2A)是嘌呤能受體家族成員,又稱A2AR,廣泛分布于中樞神經系統、免疫細胞及心血管組織。ADORA2A通過與內源性腺苷結合,調控細胞內cAMP水平,影響多巴胺能神經傳遞,在運動協調、睡眠調節和免疫抑制中發揮關鍵作用。研究顯示其活性異常與帕金森病的運動功能障礙密切相關,阻斷該受體可增強左旋多巴療效。在腫瘤微環境中,A2AR激活會抑制T細胞抗腫瘤活性,這一發現推動了其與PD-1抑制劑聯用的臨床試驗。
目前已有選擇性A2AR拮抗劑伊曲茶堿(istradefylline)在日本獲批用于帕金森病治療,可改善劑末現象。針對癌癥免疫治療領域,多個小分子抑制劑如AZD4635已進入II期試驗,與免疫檢查點藥物聯用顯示出協同效應。在神經精神疾病方面,A2AR調控異常還與成癮行為、雙相情感障礙相關,相關藥物研發正探索其對認知功能的調節作用。ADORA2A同時成為咖啡因的作用靶點之一,解釋了咖啡因提神效果的部分分子基礎。
熱銷產品
ADORA2A Antibody (CSB-PA001376LA01HU)
驗證數據
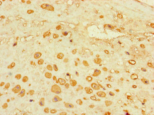
Immunohistochemistry of paraffin-embedded human testis tissue using CSB-PA001376LA01HU at dilution of 1:100
Immunohistochemistry of paraffin-embedded human placenta tissue using CSB-PA001376LA01HU at dilution of 1:100
Immunofluorescent analysis of MCF-7 cells using CSB-PA001376LA01HU at dilution of 1:100 and Alexa Fluor 488-congugated AffiniPure Goat Anti-Rabbit IgG(H+L)
ADORA2A Antibodies
ADORA2A for Homo sapiens (Human)
| 產品貨號 | 產品名稱 | 種屬反應性 | 應用類型 |
|---|---|---|---|
| CSB-PA007176 | ADORA2A Antibody | Human | WB, IHC, IF, ELISA |
| CSB-PA007183 | ADORA2A Antibody | Human | WB, IHC, IF, ELISA |
| CSB-PA001376LA01HU | ADORA2A Antibody | Human | ELISA, IHC, IF |
| CSB-PA001376LC01HU | ADORA2A Antibody, FITC conjugated | Human | |
| CSB-PA001376LD01HU | ADORA2A Antibody, Biotin conjugated | Human | ELISA |
ADORA2A Proteins
ADORA2A Proteins for Canis familiaris (Dog) (Canis lupus familiaris)
| 產品貨號 | 產品名稱 | 來源 |
|---|---|---|
| CSB-YP001376DO1 CSB-EP001376DO1 CSB-BP001376DO1 CSB-MP001376DO1 CSB-EP001376DO1-B |
Recombinant Dog Adenosine receptor A2a (ADORA2A), partial | Yeast E.coli Baculovirus Mammalian cell In Vivo Biotinylation in E.coli |
| CSB-CF001376DO | Recombinant Dog Adenosine receptor A2a (ADORA2A) | in vitro E.coli expression system |
ADORA2A Proteins for Homo sapiens (Human)
| 產品貨號 | 產品名稱 | 來源 |
|---|---|---|
| CSB-YP001376HU CSB-EP001376HU CSB-BP001376HU CSB-MP001376HU CSB-EP001376HU-B |
Recombinant Human Adenosine receptor A2a (ADORA2A), partial | Yeast E.coli Baculovirus Mammalian cell In Vivo Biotinylation in E.coli |
ADORA2A Proteins for Rattus norvegicus (Rat)
| 產品貨號 | 產品名稱 | 來源 |
|---|---|---|
| CSB-YP001376RA1 CSB-EP001376RA1 CSB-BP001376RA1 CSB-MP001376RA1 CSB-EP001376RA1-B |
Recombinant Rat Adenosine receptor A2a (Adora2a), partial | Yeast E.coli Baculovirus Mammalian cell In Vivo Biotinylation in E.coli |
| CSB-CF001376RA | Recombinant Rat Adenosine receptor A2a (Adora2a) | in vitro E.coli expression system |
ADORA2A Proteins for Cavia porcellus (Guinea pig)
| 產品貨號 | 產品名稱 | 來源 |
|---|---|---|
| CSB-YP001376GU1 CSB-EP001376GU1 CSB-BP001376GU1 CSB-MP001376GU1 CSB-EP001376GU1-B |
Recombinant Guinea pig Adenosine receptor A2a (ADORA2A), partial | Yeast E.coli Baculovirus Mammalian cell In Vivo Biotinylation in E.coli |
| CSB-CF001376GU | Recombinant Guinea pig Adenosine receptor A2a (ADORA2A) | in vitro E.coli expression system |
ADORA2A Proteins for Mus musculus (Mouse)
| 產品貨號 | 產品名稱 | 來源 |
|---|---|---|
| CSB-YP720158MO1 CSB-BP720158MO1 CSB-MP720158MO1 CSB-EP720158MO1-B |
Recombinant Mouse Adenosine receptor A2a (Adora2a), partial | Yeast Baculovirus Mammalian cell In Vivo Biotinylation in E.coli |
| CSB-CF720158MO | Recombinant Mouse Adenosine receptor A2a (Adora2a) | in vitro E.coli expression system |
ADORA2A Proteins for Equus caballus (Horse)
| 產品貨號 | 產品名稱 | 來源 |
|---|---|---|
| CSB-YP744229HO1 CSB-EP744229HO1 CSB-BP744229HO1 CSB-MP744229HO1 CSB-EP744229HO1-B |
Recombinant Horse Adenosine receptor A2a (ADORA2A), partial | Yeast E.coli Baculovirus Mammalian cell In Vivo Biotinylation in E.coli |
| CSB-CF744229HO | Recombinant Horse Adenosine receptor A2a (ADORA2A) | in vitro E.coli expression system |






