ADH1B
ADH1B,即乙醇脫氫酶1B,也常被稱為ADH2,在人體肝臟中含量較高,是酒精代謝過程里的關鍵角色。它能把攝入的乙醇轉化為乙醛,這個轉化步驟直接影響酒精在體內的代謝速度——若蛋白結構因基因差異發生改變,部分人代謝乙醇的速度會變快或慢,代謝慢的人喝酒后易臉紅頭暈,正是乙醛堆積所致。
長期飲酒者若ADH1B活性異常,更易出現酒精相關問題:比如活性過低時乙醛堆積加重肝臟負擔,可能引發酒精性肝炎、肝硬化,甚至增加肝癌風險;部分研究還關聯到食管癌、胃癌的發病可能性。目前針對該蛋白的藥物研發仍在探索,一些解酒產品嘗試調節其活性緩解酒后不適,但用于治療酒精相關疾病的靶向藥物尚處于臨床試驗階段,未廣泛應用。
熱銷產品
Recombinant Human All-trans-retinol dehydrogenase [NAD (+)] ADH1B (ADH1B) (CSB-EP001354HU)
驗證數據
(Tris-Glycine gel) Discontinuous SDS-PAGE (reduced) with 5% enrichment gel and 15% separation gel.
ADH1B Antibody (CSB-PA001354HA01HU)
驗證數據
Western blot
All lanes: ADH1B antibody at 2µg/ml + HepG2 whole cell lysate
Secondary
Goat polyclonal to rabbit IgG at 1/15000 dilution
Predicted band size: 40, 36 kDa
Observed band size: 40 kDa
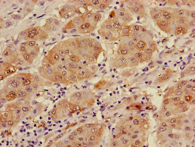
Immunohistochemistry of paraffin-embedded human liver tissue using CSB-PA001354HA01HU at dilution of 1:100
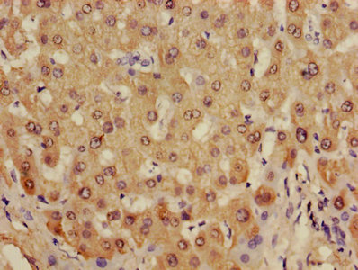
Immunohistochemistry of paraffin-embedded human liver cancer using CSB-PA001354HA01HU at dilution of 1:100
Immunofluorescence staining of HepG2 cells with CSB-PA001354HA01HU at 1:166, counter-stained with DAPI. The cells were fixed in 4% formaldehyde, permeabilized using 0.2% Triton X-100 and blocked in 10% normal Goat Serum. The cells were then incubated with the antibody overnight at 4°C. The secondary antibody was Alexa Fluor 488-congugated AffiniPure Goat Anti-Rabbit IgG(H+L).
ADH1B Antibodies
ADH1B for Homo sapiens (Human)
| 產品貨號 | 產品名稱 | 種屬反應性 | 應用類型 |
|---|---|---|---|
| CSB-PA001354HA01HU | ADH1B Antibody | Human | ELISA, WB, IHC, IF |
| CSB-PA940023 | ADH1B Antibody | Human | ELISA,IHC |
| CSB-PA027485 | ADH1B Antibody | Human | ELISA,WB,IHC |
ADH1B Proteins
ADH1B Proteins for Homo sapiens (Human)
| 產品貨號 | 產品名稱 | 來源 |
|---|---|---|
| CSB-YP001354HU CSB-BP001354HU CSB-MP001354HU CSB-EP001354HU-B |
Recombinant Human Alcohol dehydrogenase 1B (ADH1B) | Yeast Baculovirus Mammalian cell In Vivo Biotinylation in E.coli |
| CSB-EP001354HU | Recombinant Human All-trans-retinol dehydrogenase [NAD (+)] ADH1B (ADH1B) | E.coli |
ADH1B Proteins for Papio hamadryas (Hamadryas baboon)
| 產品貨號 | 產品名稱 | 來源 |
|---|---|---|
| CSB-YP001354ERJ CSB-EP001354ERJ CSB-BP001354ERJ CSB-MP001354ERJ CSB-EP001354ERJ-B |
Recombinant Papio hamadryas Alcohol dehydrogenase 1B (ADH1B) | Yeast E.coli Baculovirus Mammalian cell In Vivo Biotinylation in E.coli |
ADH1B Proteins for Pan troglodytes (Chimpanzee)
| 產品貨號 | 產品名稱 | 來源 |
|---|---|---|
| CSB-YP712800EQV CSB-EP712800EQV CSB-BP712800EQV CSB-MP712800EQV CSB-EP712800EQV-B |
Recombinant Pan troglodytes Alcohol dehydrogenase 1B (ADH1B) | Yeast E.coli Baculovirus Mammalian cell In Vivo Biotinylation in E.coli |






