ADAMTS13
ADAMTS13,即血管性血友病因子裂解酶。別名VWFCP、C9orf8、vWF-CP、ADAM-TS13等。ADAMTS13主要在肝星狀細胞中表達,是一種金屬蛋白酶,其主要功能是特異性切割具有促血栓作用的大分子血管性血友病因子(VWF)多聚體。ADAMTS13通過作用于VWF-A2結構域內1605位酪氨酸和1606位蛋氨酸之間的肽鍵,通過對VWF多聚體的切割使之具有合適的大小,防止VWF誘導的血小板過度聚集和血栓形成,從而發揮維持出凝血平衡的作用。近年來,ADAMTS13在血液病、肝病、心腦血管病和感染性疾病的發病、治療與預后中的作用越來越受到重視,其活性降低會導致血液中UL-VWFM的蓄積,引起異常血小板聚集和廣泛微血管血栓形成。
熱銷產品
ADAMTS13 Antibody (CSB-PA001301LA01HU)
驗證數據
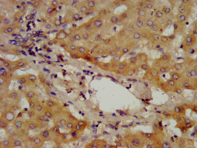
IHC image of CSB-PA001301LA01HU diluted at 1:400 and staining in paraffin-embedded human liver tissue performed on a Leica BondTM system. After dewaxing and hydration, antigen retrieval was mediated by high pressure in a citrate buffer (pH 6.0). Section was blocked with 10% normal goat serum 30min at RT. Then primary antibody (1% BSA) was incubated at 4°C overnight. The primary is detected by a biotinylated secondary antibody and visualized using an HRP conjugated SP system.
ADAMTS13 Antibodies
ADAMTS13 for Homo sapiens (Human)
| 產品貨號 | 產品名稱 | 種屬反應性 | 應用類型 |
|---|---|---|---|
| CSB-PA001301LA01HU | ADAMTS13 Antibody | Human | ELISA, IHC |
| CSB-PA001301LB01HU | ADAMTS13 Antibody, HRP conjugated | Human | ELISA |
ADAMTS13 Proteins
ADAMTS13 Proteins for Homo sapiens (Human)
| 產品貨號 | 產品名稱 | 來源 |
|---|---|---|
| CSB-YP748481HU CSB-EP748481HU CSB-BP748481HU CSB-MP748481HU CSB-EP748481HU-B |
Recombinant Human A disintegrin and metalloproteinase with thrombospondin motifs 13 (ADAMTS13), partial | Yeast E.coli Baculovirus Mammalian cell In Vivo Biotinylation in E.coli |
ADAMTS13 ELISA Kit
ADAMTS13 ELISA Kit for Homo sapiens (Human)
| 產品貨號 | 產品名稱 | 樣本類型 | 靈敏度 |
|---|---|---|---|
| CSB-E13487h | Human von Willebrand Factor cleaving protease,ADAMTS-13/vWF-cp ELISA Kit | serum, plasma, tissue homogenates, urine, cell culture supernates | 1.95 pg/ml |






