ADAM9
ADAM9(A disintegrin and metalloprotease 9),即含有脫氨酸和金屬蛋白酶結構域的蛋白9,是一種多功能的膜錨定蛋白,參與了多種生理過程。它由信號肽、金屬蛋白酶結構域、脫氨酸結構域、富含半胱氨酸的結構域和類表皮生長因子樣結構域組成。ADAM9在高爾基體運輸至細胞膜的過程中,通過去除其抑制性原結構域而被激活,這一裂解過程由furin或前蛋白轉化酶在兩個PC位點進行。ADAM9的功能涉及細胞粘附、細胞表面蛋白的脫落,以及在發育、炎癥和退行性疾病中的作用。特別地,ADAM9在腫瘤生物學中扮演著關鍵角色,其在多種癌癥中的過表達與腫瘤的侵襲性和不良預后密切相關。ADAM9通過蛋白水解和非蛋白水解途徑促進腫瘤的進展、治療抗性和轉移。它能夠識別并釋放膜結合的細胞因子和生長因子的胞外片段,同時參與受體和其他分子的信號轉導。ADAM9在腫瘤增殖、血管生成和免疫逃逸等多個腫瘤過程中發揮作用。因此,ADAM9已成為炎癥性疾病和癌癥治療中的潛在生物標志物和治療靶點,針對其的治療策略包括ADC藥物、單克隆抗體和小分子抑制劑等正在開發中。
熱銷產品
驗證數據
(Tris-Glycine gel) Discontinuous SDS-PAGE (reduced) with 5% enrichment gel and 15% separation gel.
Activity
Measured by its binding ability in a functional ELISA. Immobilized Human ADAM9 at 2 μg/ml can bind Anti-ADAM9 recombinant antibody (CSB-RA618774MA1HU). The EC50 is 0.9401-1.088 ng/mL.
驗證數據
(Tris-Glycine gel) Discontinuous SDS-PAGE (reduced) with 5% enrichment gel and 15% separation gel.
Activity
Measured by its binding ability in a functional ELISA.Immobilized Macaca fascicularis ADAM9 at 2 μg/ml can bind Anti-ADAM9 recombinant antibody (CSB-RA618774MA1HU).The EC50 is 1.329-1.813 ng/mL.
ADAM9 Antibody (CSB-PA618774ESR1HU)
驗證數據
Western blot
All lanes: Disintegrin and metalloproteinase domain-containing protein 9 antibody at 2μg/ml
Lane 1: Mouse liver tissue
Lane 2: Mouse heart tissue
Secondary
Goat polyclonal to rabbit IgG at 1/10000 dilution
Predicted band size: 91, 73 kDa
Observed band size: 91 kDa
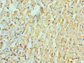
Immunohistochemistry of paraffin-embedded human liver cancer using CSB-PA618774ESR1HU at dilution of 1:100
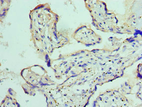
Immunohistochemistry of paraffin-embedded human placenta tissue using CSB-PA618774ESR1HU at dilution of 1:100
ADAM9 Antibodies
ADAM9 for Homo sapiens (Human)
| 產品貨號 | 產品名稱 | 種屬反應性 | 應用類型 |
|---|---|---|---|
| CSB-PA618774ESR1HU | ADAM9 Antibody | Human, Mouse | ELISA, WB, IHC |
| CSB-PA618774ESR2HU | ADAM9 Antibody | Human | ELISA, IHC |
| CSB-RA618774MA1HU | ADAM9 Recombinant Monoclonal Antibody | Human | ELISA |
ADAM9 Proteins
ADAM9 Proteins for Homo sapiens (Human)
| 產品貨號 | 產品名稱 | 來源 |
|---|---|---|
| CSB-YP618774HU CSB-EP618774HU CSB-BP618774HU CSB-EP618774HU-B |
Recombinant Human Disintegrin and metalloproteinase domain-containing protein 9 (ADAM9), partial | Yeast E.coli Baculovirus In Vivo Biotinylation in E.coli |
| CSB-MP618774HU | Recombinant Human Disintegrin and metalloproteinase domain-containing protein 9 (ADAM9),Partial (Active) | Mammalian cell |
| CSB-MP618774HU1 | Recombinant Human Disintegrin and metalloproteinase domain-containing protein 9 (ADAM9), Partial | Mammalian cell |
ADAM9 Proteins for Mus musculus (Mouse)
| 產品貨號 | 產品名稱 | 來源 |
|---|---|---|
| CSB-YP730719MO CSB-EP730719MO CSB-BP730719MO CSB-EP730719MO-B |
Recombinant Mouse Disintegrin and metalloproteinase domain-containing protein 9 (Adam9), partial | Yeast E.coli Baculovirus In Vivo Biotinylation in E.coli |
ADAM9 ELISA Kit
ADAM9 ELISA Kit for Homo sapiens (Human)
| 產品貨號 | 產品名稱 | 樣本類型 | 靈敏度 |
|---|---|---|---|
| CSB-E11904h | Human A Disintegrin And Metalloprotease 9,ADAM9 ELISA Kit | 15.6 pg/mL |






