ACVRL1
ACVRL1,即激活素受體樣激酶1(ALK1),是轉化生長因子β超家族的重要成員,結構上具有配體結合域、跨膜區和絲氨酸/蘇氨酸激酶域。它在內皮細胞分化、增殖和血管發育中起到關鍵作用,是血管生成的正向調節因子。ACVRL1通過與配體結合,激活特定的信號通路,如絲裂原活化蛋白激酶(MAPK)途徑,進而調控細胞的增殖、分化、遷移和凋亡等過程。此外,ACVRL1還涉及核因子κB(NF-κB)的激活,對炎癥反應和免疫反應進行調控。然而,ACVRL1的基因突變與出血性毛細血管擴張癥2型等疾病的發生有關,可能導致血管發育異常和血管脆弱性增加。因此,深入研究ACVRL1的結構和信號通路對于理解其在生理和病理過程中的作用,以及為相關疾病的診斷和治療提供新的思路和方法具有重要意義。
熱銷產品
驗證數據
(Tris-Glycine gel) Discontinuous SDS-PAGE (reduced) with 5% enrichment gel and 15% separation gel.
Activity
Measured by its binding ability in a functional ELISA. Immobilized Human ACVRL1 at 2μg/mL can bind Anti-ACVRL1 recombinant antibody(CSB-RA001262MA1HU),the EC50 is 2.417-2.971 ng/mL.
驗證數據
(Tris-Glycine gel) Discontinuous SDS-PAGE (reduced) with 5% enrichment gel and 15% separation gel.
Activity
Measured by its binding ability in a functional ELISA.Immobilized Macaca fascicularis ACVRL1 at 2 μg/ml can bind Anti-ACVRL1 recombinant antibody(CSB-RA001262MA1HU). The EC50 is 6.893-8.194 ng/mL.
ACVRL1 Recombinant Monoclonal Antibody (CSB-RA555022A0HU)
驗證數據
Western Blot
Positive WB detected in: Daudi whole cell lysate, U87 whole cell lysate
All lanes: ACVRL1 antibody at 1:2000
Secondary
Goat polyclonal to rabbit IgG at 1/50000 dilution
Predicted band size: 57 kDa
Observed band size: 65 kDa
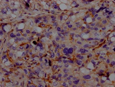
IHC image of CSB-RA555022A0HU diluted at 1:100 and staining in paraffin-embedded human liver cancer performed on a Leica BondTM system. After dewaxing and hydration, antigen retrieval was mediated by high pressure in a citrate buffer (pH 6.0). Section was blocked with 10% normal goat serum 30min at RT. Then primary antibody (1% BSA) was incubated at 4℃ overnight. The primary is detected by a Goat anti-rabbit IgG polymer labeled by HRP and visualized using 0.05% DAB.
ACVRL1 Antibodies
ACVRL1 for Homo sapiens (Human)
| 產品貨號 | 產品名稱 | 種屬反應性 | 應用類型 |
|---|---|---|---|
| CSB-PA001262GA01HU | ACVRL1 Antibody | Human,Mouse,Rat | ELISA,WB,IHC |
| CSB-PA439392 | ACVRL1 Antibody | Human,Mouse,Rat | ELISA,WB,IHC,IF |
| CSB-PA005080 | ACVRL1 Antibody | Human,Mouse,Rat | WB, ELISA |
| CSB-PA070301 | ACVRL1 Antibody | Human,Mouse,Rat | WB, IHC, IF, ELISA |
| CSB-PA00839A0Rb | ACVRL1 Antibody | Human | ELISA, WB, IF |
| CSB-RA555022A0HU | ACVRL1 Recombinant Monoclonal Antibody | Human,Rat,Mouse | ELISA, WB, IHC |
| CSB-RA001262MA1HU | ACVRL1 Recombinant Monoclonal Antibody | Human, Macaca fascicularis | ELISA |
ACVRL1 Proteins
ACVRL1 Proteins for Rattus norvegicus (Rat)
| 產品貨號 | 產品名稱 | 來源 |
|---|---|---|
| CSB-YP001262RA1 CSB-EP001262RA1 CSB-BP001262RA1 CSB-MP001262RA1 CSB-EP001262RA1-B |
Recombinant Rat Serine/threonine-protein kinase receptor R3 (Acvrl1), partial | Yeast E.coli Baculovirus Mammalian cell In Vivo Biotinylation in E.coli |
| CSB-CF001262RA | Recombinant Rat Serine/threonine-protein kinase receptor R3 (Acvrl1) | in vitro E.coli expression system |
ACVRL1 Proteins for Homo sapiens (Human)
| 產品貨號 | 產品名稱 | 來源 |
|---|---|---|
| CSB-EP001262HU1 CSB-MP001262HU1 CSB-EP001262HU1-B |
Recombinant Human Serine/threonine-protein kinase receptor R3 (ACVRL1), partial | E.coli Mammalian cell In Vivo Biotinylation in E.coli |
| CSB-CF001262HU | Recombinant Human Serine/threonine-protein kinase receptor R3 (ACVRL1) | in vitro E.coli expression system |
| CSB-BP001262HU1 | Recombinant Human Serine/threonine-protein kinase receptor R3 (ACVRL1), partial (Active) | Baculovirus |






