ACVR2A
ACVR2A,即激活素A型II型受體A,別名ACVR2、ACTRII。它是由ACVR2A基因編碼的跨膜絲氨酸/蘇氨酸激酶受體,屬于轉化生長因子-β(TGF-β)超家族。ACVR2A主要在多種組織中表達,如皮膚和膽囊。其作用機制涉及與激活素A結合后,招募并磷酸化I型激活素受體,通過SMAD2/3蛋白發出信號,進而影響細胞命運。ACVR2A對組織再生、細胞分化和腫瘤發展等過程具有重要影響。ACVR2A在某些類型的癌癥中表達下調,可能與腫瘤的轉移潛能和患者的預后相關。
熱銷產品
驗證數據
(Tris-Glycine gel) Discontinuous SDS-PAGE (reduced) with 5% enrichment gel and 15% separation gel.
Activity
Measured by its binding ability in a functional ELISA. Immobilized Human ACVR2A at 2 μg/ml can bind Anti-ACVR2A&ACVR2B recombinant antibody (CSB-RA623829MA1HU). The EC50 is 3.848-4.375 ng/mL.
Recombinant Mouse Activin receptor type-2A (Acvr2a), partial (Active) (CSB-MP001260MO1)
驗證數據
(Tris-Glycine gel) Discontinuous SDS-PAGE (reduced) with 5% enrichment gel and 15% separation gel.
Activity
Measured by its binding ability in a functional ELISA. Immobilized Mouse Acvr2a at 2 μg/ml can bind Anti-ACVR2A&ACVR2B recombinant antibody (CSB-RA623829MA1HU). The EC50 is 1.562-1.966 ng/mL.
The purity of ACVR2A was greater than 95% as determined by SEC-HPLC
ACVR2B Recombinant Monoclonal Antibody (CSB-RA623829MA1HU)
驗證數據
The Binding Activity of Human ACVR2A with Anti-ACVR2A&ACVR2B recombinant antibody
Activity: Measured by its binding ability in a functional ELISA. Immobilized Human ACVR2A(CSB-MP001260HU1)at 2 μg/mL can bind Anti-ACVR2A&ACVR2B recombinant antibody . The EC50 is 3.848-4.375 ng/mL.
The Binding Activity of Mouse ACVR2A with Anti-ACVR2A&ACVR2B recombinant antibody
Activity: Measured by its binding ability in a functional ELISA. Immobilized Mouse ACVR2A(CSB-MP001260MO1) at 2 μg/mL can bind Anti-ACVR2A&ACVR2B recombinant antibody. The EC50 is 1.562-1.966 ng/mL.
The Binding Activity of Mouse Acvr2b with Anti-ACVR2A&ACVR2B recombinant antibody
Activity: Measured by its binding ability in a functional ELISA. Immobilized Mouse Acvr2b(CSB-MP001261MO1) at 2 μg/mL can bind Anti-ACVR2A&ACVR2B recombinant antibody. The EC50 is 3.560-4.235 ng/mL.
The Binding Activity of Human ACVR2B with Anti-ACVR2A&ACVR2B recombinant antibody
Activity: Measured by its binding ability in a functional ELISA. Immobilized Human ACVR2B(CSB-MP623829HU) at 2 μg/mL can bind Anti-ACVR2A&ACVR2B recombinant antibody. The EC50 is 2.983-3.438 ng/mL.
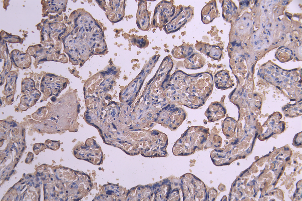
IHC image of CSB-RA623829MA1HU diluted at 1:200 and staining in paraffin-embedded human placenta tissue performed on a Leica BondTM system. After dewaxing and hydration, antigen retrieval was mediated by high pressure in a citrate buffer (pH 6.0). Section was blocked with 10% normal goat serum 30min at RT. Then primary antibody (1% BSA) was incubated at 4°C overnight. The primary is detected by a Goat anti-human polymer IgG labeled by HRP and visualized using 0.05% DAB.
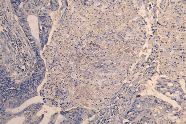
IHC image of CSB-RA623829MA1HU diluted at 1:200 and staining in paraffin-embedded human colon cancer performed on a Leica BondTM system. After dewaxing and hydration, antigen retrieval was mediated by high pressure in a citrate buffer (pH 6.0). Section was blocked with 10% normal goat serum 30min at RT. Then primary antibody (1% BSA) was incubated at 4°C overnight. The primary is detected by a Goat anti-human polymer IgG labeled by HRP and visualized using 0.05% DAB.
Immunofluorescence staining of SH-SY5Y cell with CSB-RA623829MA1HU at 1:100, counter-stained with DAPI. The cells were fixed in 4% formaldehyde and blocked in 10% normal Goat Serum. The cells were then incubated with the antibody overnight at 4C. The secondary antibody was FITC-conjugated AffiniPure Goat Anti-Human IgG(H+L).
The purity of ACVR2A&ACVR2B was greater than 95% as determined by SEC-HPLC
ACVR2A Antibodies
ACVR2A for Homo sapiens (Human)
| 產品貨號 | 產品名稱 | 種屬反應性 | 應用類型 |
|---|---|---|---|
| CSB-PA001260ESR1HU | ACVR2A Antibody | Human | ELISA, IHC |
| CSB-PA001260ESR2HU | ACVR2A Antibody | Human, Mouse | ELISA, WB, IHC |
| CSB-PA070256 | ACVR2A Antibody | Human,Mouse,Rat | WB, ELISA |
| CSB-PA110386 | ACVR2A Antibody | Human,Mouse,Rat | ELISA,WB |
| CSB-PA104519 | ACVR2A Antibody | Human,Mouse,Rat | ELISA,WB,IHC |
| CSB-PA055681 | ACVR2A Antibody | Human,Mouse,Rat | ELISA,WB,IHC |
ACVR2A Proteins
ACVR2A Proteins for Mus musculus (Mouse)
| 產品貨號 | 產品名稱 | 來源 |
|---|---|---|
| CSB-YP001260MO1 CSB-EP001260MO1 CSB-BP001260MO1 CSB-EP001260MO1-B |
Recombinant Mouse Activin receptor type-2A (Acvr2a), partial | Yeast E.coli Baculovirus In Vivo Biotinylation in E.coli |
| CSB-CF001260MO | Recombinant Mouse Activin receptor type-2A (Acvr2a) | in vitro E.coli expression system |
ACVR2A Proteins for Homo sapiens (Human)
| 產品貨號 | 產品名稱 | 來源 |
|---|---|---|
| CSB-EP001260HU1 CSB-BP001260HU1 CSB-EP001260HU1-B |
Recombinant Human Activin receptor type-2A (ACVR2A), partial | E.coli Baculovirus In Vivo Biotinylation in E.coli |
| CSB-CF001260HU | Recombinant Human Activin receptor type-2A (ACVR2A) | in vitro E.coli expression system |
| CSB-MP001260HU1 | Recombinant Human/Cynomolgus monkey Activin receptor type-2A (ACVR2A), partial (Active) | Mammalian cell |
| CSB-YP001260HU1 | Recombinant Human/Cynomolgus monkey Activin receptor type-2A (ACVR2A), partial (Active) | Yeast |
ACVR2A Proteins for Rattus norvegicus (Rat)
| 產品貨號 | 產品名稱 | 來源 |
|---|---|---|
| CSB-YP001260RA1 CSB-EP001260RA1 CSB-BP001260RA1 CSB-MP001260RA1 CSB-EP001260RA1-B |
Recombinant Rat Activin receptor type-2A (Acvr2a), partial | Yeast E.coli Baculovirus Mammalian cell In Vivo Biotinylation in E.coli |
| CSB-CF001260RA | Recombinant Rat Activin receptor type-2A (Acvr2a) | in vitro E.coli expression system |
ACVR2A Proteins for Xenopus laevis (African clawed frog)
| 產品貨號 | 產品名稱 | 來源 |
|---|---|---|
| CSB-YP001260XBE1 CSB-EP001260XBE1 CSB-BP001260XBE1 CSB-MP001260XBE1 CSB-EP001260XBE1-B |
Recombinant Xenopus laevis Activin receptor type-2A (acvr2a), partial | Yeast E.coli Baculovirus Mammalian cell In Vivo Biotinylation in E.coli |
| CSB-CF001260XBE | Recombinant Xenopus laevis Activin receptor type-2A (acvr2a) | in vitro E.coli expression system |
ACVR2A Proteins for Ovis aries (Sheep)
| 產品貨號 | 產品名稱 | 來源 |
|---|---|---|
| CSB-YP631719SH CSB-EP631719SH CSB-BP631719SH CSB-MP631719SH CSB-EP631719SH-B |
Recombinant Sheep Activin receptor type-2A (ACVR2A), partial | Yeast E.coli Baculovirus Mammalian cell In Vivo Biotinylation in E.coli |
ACVR2A Proteins for Bos taurus (Bovine)
| 產品貨號 | 產品名稱 | 來源 |
|---|---|---|
| CSB-YP635678BO CSB-EP635678BO CSB-BP635678BO CSB-MP635678BO CSB-EP635678BO-B |
Recombinant Bovine Activin receptor type-2A (ACVR2A), partial | Yeast E.coli Baculovirus Mammalian cell In Vivo Biotinylation in E.coli |
ACVR2A Proteins for Gallus gallus (Chicken)
| 產品貨號 | 產品名稱 | 來源 |
|---|---|---|
| CSB-YP845865CH CSB-EP845865CH CSB-BP845865CH CSB-MP845865CH CSB-EP845865CH-B |
Recombinant Chicken Activin receptor type-2A (ACVR2A), partial | Yeast E.coli Baculovirus Mammalian cell In Vivo Biotinylation in E.coli |






