ACTA1
ACTA1,即肌動蛋白α1,骨骼肌型,別名ACTA1 Protein,Human,Recombinant(His)等。它來源于人類基因編碼,是肌動蛋白家族的一員。ACTA1的主要作用機制是作為收縮裝置的主要組成部分,在細胞的運動、結構和完整性中發揮著重要作用。ACTA1對于維持骨骼肌的正常結構和功能至關重要。該基因的突變可導致多種先天性肌病,如3型向列型肌病、先天性肌病(肌絲過細)、先天性肌病(帶核)以及先天性肌病(纖維型比例失調)等,這些疾病都會導致肌纖維缺陷。因此,ACTA1在肌肉疾病的研究和治療中具有重要意義。
熱銷產品
Recombinant Human Actin, alpha skeletal muscle (ACTA1) (CSB-BP001205HU)
驗證數據
(Tris-Glycine gel) Discontinuous SDS-PAGE (reduced) with 5% enrichment gel and 15% separation gel.
ACTA1 Recombinant Monoclonal Antibody (CSB-RA289956A0HU)
驗證數據
IHC image of CSB-RA289956A0HU diluted at 1:50 and staining in paraffin-embedded human skeletal muscle tissue performed on a Leica BondTM system. After dewaxing and hydration, antigen retrieval was mediated by high pressure in a citrate buffer (pH 6.0). Section was blocked with 10% normal goat serum 30min at RT. Then primary antibody (1% BSA) was incubated at 4°C overnight. The primary is detected by a Goat anti-rabbit polymer IgG labeled by HRP and visualized using 0.72% DAB.
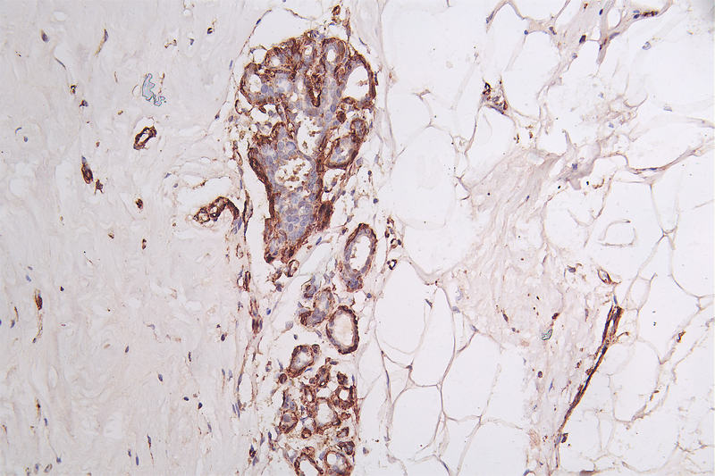
IHC image of CSB-RA289956A0HU diluted at 1:50 and staining in paraffin-embedded human breast cancer performed on a Leica BondTM system. After dewaxing and hydration, antigen retrieval was mediated by high pressure in a citrate buffer (pH 6.0). Section was blocked with 10% normal goat serum 30min at RT. Then primary antibody (1% BSA) was incubated at 4°C overnight. The primary is detected by a Goat anti-rabbit polymer IgG labeled by HRP and visualized using 0.72% DAB.
Overlay Peak curve showing A549 cells stained with CSB-RA289956A0HU (red line) at 1:50. The cells were fixed in 4% formaldehyde and permeated by 0.2% TritonX-100. Then 10% normal goat serum to block non-specific protein-protein interactions followed by the antibody (1μg/1*106cells) for 45min at 4℃. The secondary antibody used was FITC-conjugated Goat Anti-rabbit IgG(H+L) at 1:200 dilution for 35min at 4℃.Control antibody (green line) was rabbit IgG (1μg/1*106cells) used under the same conditions. Acquisition of >10,000 events was performed.
ACTA1 Antibodies
ACTA1 for Homo sapiens (Human)
| 產品貨號 | 產品名稱 | 種屬反應性 | 應用類型 |
|---|---|---|---|
| CSB-PA001205GA01HU | ACTA1 Antibody | Human,Mouse,Rat | ELISA,WB |
| CSB-PA001205NJ01HU | ACTA1 Antibody | Human | ELISA, IHC, IF |
| CSB-PA001205OJ01HU | ACTA1 Antibody | Human | ELISA |
| CSB-PA001205LC01HU | ACTA1 Antibody, FITC conjugated | Human | |
| CSB-PA001205LA01HU | ACTA1 Antibody | Human, Mouse, Rat | ELISA, WB, IHC |
| CSB-PA000383 | ACTA1 Antibody | Human,Mouse,Rat | WB |
| CSB-PA000810 | ACTA1 Antibody | Human,Mouse,Rat | WB, IHC, ELISA |
| CSB-PA004813 | ACTA1 Antibody | Human,Mouse,Rat | WB, ELISA |
| CSB-PA599271 | ACTA1 Antibody | Human,Mouse,Rat | ELISA,WB |
| CSB-PA084581 | ACTA1 Antibody | Human,Mouse,Rat | ELISA,WB,IHC |
| CSB-RA001205A0HU | ACTA1 Recombinant Monoclonal Antibody | Human, Mouse, Rat | ELISA, WB, IHC, IF, FC |
| CSB-RA289956A0HU | ACTA1 Recombinant Monoclonal Antibody | Human | ELISA, IHC, FC |
ACTA1 for H, M, R
| 產品貨號 | 產品名稱 | 種屬反應性 | 應用類型 |
|---|---|---|---|
| CSB-MA000309 | ACTA1 Monoclonal Antibody | Human,Mouse,Rat | ELISA,WB,IP |
ACTA1 Proteins
ACTA1 Proteins for Homo sapiens (Human)
| 產品貨號 | 產品名稱 | 來源 |
|---|---|---|
| CSB-YP001205HU CSB-EP001205HU-B |
Recombinant Human Actin, alpha skeletal muscle (ACTA1) | Yeast In Vivo Biotinylation in E.coli |
| CSB-EP001205HU | Recombinant Human Actin, alpha skeletal muscle (ACTA1) | E.coli |
| CSB-BP001205HU | Recombinant Human Actin, alpha skeletal muscle (ACTA1) | Baculovirus |
| CSB-MP001205HU | Recombinant Human Actin, alpha skeletal muscle(ACTA1) | Mammalian cell |






