ACSL5
ACSL5,全稱為酰輔酶A合成酶長鏈家族成員5,是一種參與脂肪酸代謝的關鍵酶。它催化長鏈脂肪酸與輔酶A結合形成脂酰輔酶A,這一過程是脂肪酸代謝中的關鍵步驟,對能量供應、細胞膜形成和信號傳導都至關重要。ACSL5蛋白在腸道、肝臟和脂肪組織中高表達,其產物脂酰輔酶A參與多種生理過程。研究發現,ACSL5基因突變可能導致脂代謝紊亂,與肥胖、胰島素抵抗和2型糖尿病等疾病相關。ACSL5過表達會促進脂肪酸向甘油三酯轉化,加劇脂肪堆積,而敲低其表達則可能減少脂質儲存并增強脂肪酸氧化。此外,ACSL5還與結直腸癌相關,過表達時通過激活Wnt/β-catenin信號通路促進腫瘤細胞增殖。目前,針對ACSL5靶點的藥物研發正在積極進行中,例如諾和諾德公司引進的肥胖候選藥物LX9851,通過抑制肝臟中的ACSL5酶來調節脂肪代謝,并延緩胃排空,展現出良好的臨床應用前景。
熱銷產品
Recombinant Human Long-chain-fatty-acid--CoA ligase 5 (ACSL5), partial (CSB-EP891734HU)
驗證數據
(Tris-Glycine gel) Discontinuous SDS-PAGE (reduced) with 5% enrichment gel and 15% separation gel.
ACSL5 Antibody (CSB-PA891734HA01HU)
驗證數據
Western Blot
Positive WB detected in: Hela whole cell lysate, Rat liver tissue
All lanes: ACSL5 antibody at 3μg/ml
Secondary
Goat polyclonal to rabbit IgG at 1/50000 dilution
Predicted band size: 76, 83, 74, kDa
Observed band size: 76 kDa
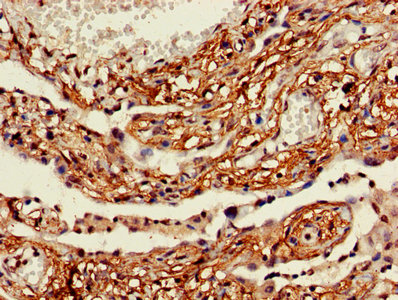
IHC image of CSB-PA891734HA01HU diluted at 1:600 and staining in paraffin-embedded human endometrial cancer performed on a Leica BondTM system. After dewaxing and hydration, antigen retrieval was mediated by high pressure in a citrate buffer (pH 6.0). Section was blocked with 10% normal goat serum 30min at RT. Then primary antibody (1% BSA) was incubated at 4°C overnight. The primary is detected by a biotinylated secondary antibody and visualized using an HRP conjugated SP system.
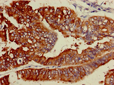
IHC image of CSB-PA891734HA01HU diluted at 1:600 and staining in paraffin-embedded human lung cancer performed on a Leica BondTM system. After dewaxing and hydration, antigen retrieval was mediated by high pressure in a citrate buffer (pH 6.0). Section was blocked with 10% normal goat serum 30min at RT. Then primary antibody (1% BSA) was incubated at 4°C overnight. The primary is detected by a biotinylated secondary antibody and visualized using an HRP conjugated SP system.
ACSL5 Antibodies
ACSL5 for Homo sapiens (Human)
| 產品貨號 | 產品名稱 | 種屬反應性 | 應用類型 |
|---|---|---|---|
| CSB-PA001194GA01HU | ACSL5 Antibody | Human,Mouse,Rat | ELISA,WB |
| CSB-PA891734HA01HU | ACSL5 Antibody | Human, Rat | ELISA, WB, IHC |
| CSB-PA891734HB01HU | ACSL5 Antibody, HRP conjugated | Human | ELISA |
| CSB-PA891734HC01HU | ACSL5 Antibody, FITC conjugated | Human | |
| CSB-PA891734HD01HU | ACSL5 Antibody, Biotin conjugated | Human | ELISA |
| CSB-PA891734LA01HU | ACSL5 Antibody | Human | ELISA, IHC |
| CSB-PA891734LB01HU | ACSL5 Antibody, HRP conjugated | Human | ELISA |
| CSB-PA891734LC01HU | ACSL5 Antibody, FITC conjugated | Human | |
| CSB-PA891734LD01HU | ACSL5 Antibody, Biotin conjugated | Human | ELISA |
ACSL5 Proteins
ACSL5 Proteins for Rattus norvegicus (Rat)
| 產品貨號 | 產品名稱 | 來源 |
|---|---|---|
| CSB-YP001194RA1 CSB-EP001194RA1 CSB-BP001194RA1 CSB-MP001194RA1 CSB-EP001194RA1-B |
Recombinant Rat Long-chain-fatty-acid--CoA ligase 5 (Acsl5), partial | Yeast E.coli Baculovirus Mammalian cell In Vivo Biotinylation in E.coli |
| CSB-CF001194RA | Recombinant Rat Long-chain-fatty-acid--CoA ligase 5 (Acsl5) | in vitro E.coli expression system |
ACSL5 Proteins for Mus musculus (Mouse)
| 產品貨號 | 產品名稱 | 來源 |
|---|---|---|
| CSB-YP814282MO CSB-EP814282MO CSB-BP814282MO CSB-MP814282MO CSB-EP814282MO-B |
Recombinant Mouse Long-chain-fatty-acid--CoA ligase 5 (Acsl5), partial | Yeast E.coli Baculovirus Mammalian cell In Vivo Biotinylation in E.coli |
ACSL5 Proteins for Homo sapiens (Human)
| 產品貨號 | 產品名稱 | 來源 |
|---|---|---|
| CSB-YP891734HU CSB-BP891734HU CSB-MP891734HU CSB-EP891734HU-B |
Recombinant Human Long-chain-fatty-acid--CoA ligase 5 (ACSL5), partial | Yeast Baculovirus Mammalian cell In Vivo Biotinylation in E.coli |
| CSB-EP891734HU | Recombinant Human Long-chain-fatty-acid--CoA ligase 5 (ACSL5), partial | E.coli |






