ABHD18
ABHD18,全名為Abhydrolase domain-containing 18,常見別名為C4orf29,是一種參與脂質代謝的蛋白。它在人體內主要發揮催化心磷脂去酰化的作用,這一過程對于維持細胞膜的結構和功能至關重要。ABHD18蛋白的異常表達或功能缺陷與多種疾病相關,包括巴氏綜合征等遺傳性疾病。在藥物研發領域,ABHD18已成為一個重要的靶點。科學家們正致力于開發針對ABHD18的藥物,以期治療相關疾病。例如,有研究表明,通過抑制ABHD18的活性,可以有效改善巴氏綜合征患者的癥狀。此外,ABHD18蛋白還在腫瘤、心血管疾病等領域的研究中展現出潛在的應用價值。隨著研究的深入,ABHD18蛋白有望為相關疾病的治療提供新的策略和靶點。
熱銷產品
Recombinant Human Protein ABHD18 (ABHD18) (CSB-EP610370HU)
驗證數據
(Tris-Glycine gel) Discontinuous SDS-PAGE (reduced) with 5% enrichment gel and 15% separation gel.
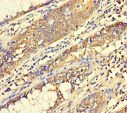
ABHD18 Antibody (CSB-PA610370LA01HU)
驗證數據
Immunohistochemistry of paraffin-embedded human colon cancer using CSB-PA610370LA01HU at dilution of 1:100
ABHD18 Antibodies
ABHD18 for Homo sapiens (Human)
| 產品貨號 | 產品名稱 | 種屬反應性 | 應用類型 |
|---|---|---|---|
| CSB-PA610370LA01HU | ABHD18 Antibody | Human | ELISA, IHC |
ABHD18 Proteins
ABHD18 Proteins for Homo sapiens (Human)
| 產品貨號 | 產品名稱 | 來源 |
|---|---|---|
| CSB-YP610370HU CSB-BP610370HU CSB-MP610370HU CSB-EP610370HU-B |
Recombinant Human Protein ABHD18 (ABHD18) | Yeast Baculovirus Mammalian cell In Vivo Biotinylation in E.coli |
| CSB-EP610370HU | Recombinant Human Protein ABHD18 (ABHD18) | E.coli |






