ABCB1
ABCB1,即三磷酸腺苷結合盒轉運蛋白B1,別名MDR1、CD243。它是由人類ABCB1基因編碼的一種跨膜蛋白,主要在血腦屏障、肝臟、腸道、腎臟等器官的細胞中表達。ABCB1的作用機制是通過ATP水解提供能量,將藥物和其他底物逆濃度梯度從細胞內部運輸到細胞外,從而減少細胞內藥物濃度,導致多藥耐藥現象。ABCB1參與細胞解毒、維持細胞內穩態,同時也影響藥物的吸收、分布、代謝和排泄,是藥物耐藥性的關鍵因素之一。ABCB1的異常表達與多種疾病的治療抵抗性相關,如腫瘤的多藥耐藥性。
熱銷產品
Recombinant Human ATP-dependent translocase ABCB1 (ABCB1), partial (CSB-EP001046HU2)
驗證數據
(Tris-Glycine gel) Discontinuous SDS-PAGE (reduced) with 5% enrichment gel and 15% separation gel.
ABCB1 Recombinant Monoclonal Antibody (CSB-RA983422A0HU)
驗證數據
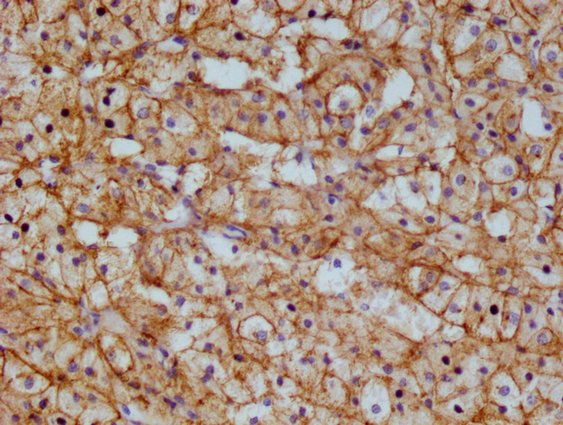
IHC image of CSB-RA983422A0HU diluted at 1:100 and staining in paraffin-embedded human adrenal gland tissue performed on a Leica BondTM system. After dewaxing and hydration, antigen retrieval was mediated by high pressure in a citrate buffer (pH 6.0). Section was blocked with 10% normal goat serum 30min at RT. Then primary antibody (1% BSA) was incubated at 4°C overnight. The primary is detected by a Goat anti-rabbit polymer IgG labeled by HRP and visualized using 0.05% DAB.
Immunofluorescence staining of HepG2 cell with CSB-RA983422A0HU at 1:50, counter-stained with DAPI. The cells were fixed in 4% formaldehyde and blocked in 10% normal Goat Serum. The cells were then incubated with the antibody overnight at 4°C. The secondary antibody was Alexa Fluor 583-congugated AffiniPure Goat Anti-Rabbit IgG(H+L).
ABCB1 Antibodies
ABCB1 for Homo sapiens (Human)
| 產品貨號 | 產品名稱 | 種屬反應性 | 應用類型 |
|---|---|---|---|
| CSB-PA11737A0Rb | ABCB1 Antibody | Human | ELISA, IHC |
| CSB-PA030050 | ABCB1 Antibody | Human,Mouse,Rat | IHC, ELISA |
| CSB-PA598314 | ABCB1 Antibody | Human | ELISA,IHC |
| CSB-RA983422A0HU | ABCB1 Recombinant Monoclonal Antibody | Human | ELISA, IHC, IF |
ABCB1 Proteins
ABCB1 Proteins for Rattus norvegicus (Rat)
| 產品貨號 | 產品名稱 | 來源 |
|---|---|---|
| CSB-YP001046RA CSB-EP001046RA CSB-BP001046RA CSB-MP001046RA CSB-EP001046RA-B |
Recombinant Rat Multidrug resistance protein 1 (Abcb1), partial | Yeast E.coli Baculovirus Mammalian cell In Vivo Biotinylation in E.coli |
ABCB1 Proteins for Homo sapiens (Human)
| 產品貨號 | 產品名稱 | 來源 |
|---|---|---|
| CSB-YP001046HU CSB-EP001046HU CSB-BP001046HU CSB-MP001046HU CSB-EP001046HU-B |
Recombinant Human ATP-dependent translocase ABCB1 (ABCB1), partial | Yeast E.coli Baculovirus Mammalian cell In Vivo Biotinylation in E.coli |
| CSB-EP001046HU1 | Recombinant Human ATP-dependent translocase ABCB1 (ABCB1), partial | E.coli |
| CSB-EP001046HU2 | Recombinant Human ATP-dependent translocase ABCB1 (ABCB1), partial | E.coli |
ABCB1 Proteins for Cricetulus griseus (Chinese hamster) (Cricetulus barabensis griseus)
| 產品貨號 | 產品名稱 | 來源 |
|---|---|---|
| CSB-YP001046DXU CSB-EP001046DXU CSB-BP001046DXU CSB-MP001046DXU CSB-EP001046DXU-B |
Recombinant Cricetulus griseus Multidrug resistance protein 1 (ABCB1), partial | Yeast E.coli Baculovirus Mammalian cell In Vivo Biotinylation in E.coli |
ABCB1 Proteins for Dictyostelium discoideum (Slime mold)
| 產品貨號 | 產品名稱 | 來源 |
|---|---|---|
| CSB-YP684501DKK CSB-EP684501DKK CSB-BP684501DKK CSB-MP684501DKK CSB-EP684501DKK-B |
Recombinant Dictyostelium discoideum ABC transporter B family member 1 (abcB1), partial | Yeast E.coli Baculovirus Mammalian cell In Vivo Biotinylation in E.coli |
ABCB1 ELISA Kit
ABCB1 ELISA Kit for Homo sapiens (Human)
| 產品貨號 | 產品名稱 | 樣本類型 | 靈敏度 |
|---|---|---|---|
| CSB-E11709h | Human permeability glycoprotein,P-gp/ABCB1 ELISA Kit | serum, plasma, ascitic fluid, tissue homogenates | 0.78 ng/mL |






