ABAT
ABAT,全稱為γ-氨基丁酸轉氨酶,也常被簡稱為GABA-T。它是維持神經系統穩定的重要分子,主要參與抑制性神經遞質γ-氨基丁酸的代謝過程,通過促進該遞質的分解來調控其在體內的濃度平衡。當ABAT功能異常時,γ-氨基丁酸的代謝會出現紊亂,可能引發一系列神經系統疾病,其中較為典型的是遺傳性GABA轉氨酶缺乏癥,患者多在嬰幼兒階段發病,表現為頻繁癲癇發作、智力發育遲緩等癥狀。在臨床治療領域,針對該蛋白的藥物已得到應用,比如氨己烯酸,它能降低這個蛋白的活性,從而提升體內γ-氨基丁酸的水平,幫助緩解癲癇發作,目前已成為嬰兒痙攣癥等難治性癲癇的重要治療藥物之一。
熱銷產品
Recombinant Human 4-aminobutyrate aminotransferase, mitochondrial (ABAT) (CSB-EP001032HUe0)
驗證數據
(Tris-Glycine gel) Discontinuous SDS-PAGE (reduced) with 5% enrichment gel and 15% separation gel.
ABAT Recombinant Monoclonal Antibody (CSB-RA242969A0HU)
驗證數據
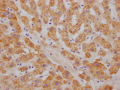
IHC image of CSB-RA242969A0HU diluted at 1:100 and staining in paraffin-embedded human liver tissue performed on a Leica BondTM system. After dewaxing and hydration, antigen retrieval was mediated by high pressure in a citrate buffer (pH 6.0). Section was blocked with 10% normal goat serum 30min at RT. Then primary antibody (1% BSA) was incubated at 4℃ overnight. The primary is detected by a Goat anti-rabbit IgG polymer labeled by HRP and visualized using 0.05% DAB.
ABAT Antibody (CSB-PA001032ESR1HU)
驗證數據
Western blot
All lanes: 4-aminobutyrate aminotransferase, mitochondrial antibody at 10μg/ml
Lane 1: Rat liver tissue
Lane 2: Mouse pancreatic tissue
Lane 3: Mouse kidney tissue
Secondary
Goat polyclonal to rabbit IgG at 1/10000 dilution
Predicted band size: 56 kDa
Observed band size: 56 kDa
Immunohistochemistry of paraffin-embedded human liver tissue using CSB-PA001032ESR1HU at dilution of 1:100
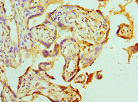
Immunohistochemistry of paraffin-embedded human placenta tissue using CSB-PA001032ESR1HU at dilution of 1:100
ABAT Antibodies
ABAT for Homo sapiens (Human)
| 產品貨號 | 產品名稱 | 種屬反應性 | 應用類型 |
|---|---|---|---|
| CSB-PA001032GA01HU | ABAT Antibody | Human,Mouse,Rat | ELISA,WB,IHC |
| CSB-PA001032ESR1HU | ABAT Antibody | Human, Mouse, Rat | ELISA, WB, IHC |
| CSB-RA242969A0HU | ABAT Recombinant Monoclonal Antibody | Human | ELISA, IHC |
ABAT Proteins
ABAT Proteins for Homo sapiens (Human)
| 產品貨號 | 產品名稱 | 來源 |
|---|---|---|
| CSB-YP001032HU CSB-BP001032HU CSB-MP001032HU CSB-EP001032HU-B |
Recombinant Human 4-aminobutyrate aminotransferase, mitochondrial (ABAT) | Yeast Baculovirus Mammalian cell In Vivo Biotinylation in E.coli |
| CSB-EP001032HU | Recombinant Human 4-aminobutyrate aminotransferase, mitochondrial (ABAT) | E.coli |
| CSB-EP001032HUe0 | Recombinant Human 4-aminobutyrate aminotransferase, mitochondrial (ABAT) | E.coli |






