AARS1
AARS1,即丙氨酰-tRNA合成酶1,別名AARS、TTD8、CMT2N、DEE29、HDLS2、EIEE29。它是由人類細胞中的AARS1基因編碼的一種蛋白質。AARS1在細胞質中發揮作用,主要負責將丙氨酸(一種氨基酸)連接到其相應的tRNA上,這一過程稱為氨酰化,是蛋白質合成的關鍵步驟。此外,AARS1還具有乳酸傳感器和乳酰轉移酶的功能,能夠乳酸化修飾p53蛋白,影響其抑癌功能,從而促進腫瘤發生。AARS1不僅在蛋白質合成中發揮重要作用,還參與調控細胞代謝和腫瘤發展。AARS1的異常表達或突變與多種疾病相關,包括神經病變和某些類型的癌癥。
熱銷產品
AARS Antibody (CSB-PA001023LA01HU)
驗證數據
IHC image of CSB-PA001023LA01HU diluted at 1:100 and staining in paraffin-embedded human endometrial cancer performed on a Leica BondTM system. After dewaxing and hydration, antigen retrieval was mediated by high pressure in a citrate buffer (pH 6.0). Section was blocked with 10% normal goat serum 30min at RT. Then primary antibody (1% BSA) was incubated at 4°C overnight. The primary is detected by a biotinylated secondary antibody and visualized using an HRP conjugated SP system.
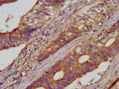
IHC image of CSB-PA001023LA01HU diluted at 1:100 and staining in paraffin-embedded human colon cancer performed on a Leica BondTM system. After dewaxing and hydration, antigen retrieval was mediated by high pressure in a citrate buffer (pH 6.0). Section was blocked with 10% normal goat serum 30min at RT. Then primary antibody (1% BSA) was incubated at 4°C overnight. The primary is detected by a biotinylated secondary antibody and visualized using an HRP conjugated SP system.
Immunofluorescence staining of Hela cells with CSB-PA001023LA01HU at 1:33, counter-stained with DAPI. The cells were fixed in 4% formaldehyde, permeabilized using 0.2% Triton X-100 and blocked in 10% normal Goat Serum. The cells were then incubated with the antibody overnight at 4°C. The secondary antibody was Alexa Fluor 488-congugated AffiniPure Goat Anti-Rabbit IgG(H+L).
AARS1 Antibodies
AARS1 for Homo sapiens (Human)
| 產品貨號 | 產品名稱 | 種屬反應性 | 應用類型 |
|---|---|---|---|
| CSB-PA001023GA01HU | AARS Antibody | Human,Mouse,Rat | ELISA,WB,IHC |
| CSB-PA066208 | AARS Antibody | Human,Rat | ELISA,WB,IHC |
| CSB-PA208319 | AARS Antibody | Human,Rat | ELISA,IHC |
| CSB-PA001023LA01HU | AARS Antibody | Human | ELISA, IHC, IF |
| CSB-PA001023LD01HU | AARS Antibody, Biotin conjugated | Human | ELISA |
AARS1 Proteins
AARS1 Proteins for Homo sapiens (Human)
| 產品貨號 | 產品名稱 | 來源 |
|---|---|---|
| CSB-YP001023HU CSB-EP001023HU CSB-BP001023HU CSB-MP001023HU CSB-EP001023HU-B |
Recombinant Human Alanine--tRNA ligase, cytoplasmic (AARS), partial | Yeast E.coli Baculovirus Mammalian cell In Vivo Biotinylation in E.coli |






