PPARG
PPARG,即過氧化物酶體增殖物激活受體γ,別名PPARgamma2、Nr1c3等。PPARG由人類PPARG基因編碼,該基因位于第3號染色體的3p25位置,全長146,484bp,有多種不同形式的mRNA和兩種形式的蛋白質,分別由476個和505個氨基酸殘基構成。PPARG的作用機制涉及與配體結合后激活,進而影響脂肪細胞分化、脂肪酸代謝、糖代謝等過程。PPARG在調節細胞分化、調控細胞大分子生物合成過程以及對維生素的反應中起關鍵作用,其表達變化或突變與腫瘤的發生有關,且在前列腺癌形成中具有原癌基因的作用。PPARG還在多種疾病的發生發展中發揮作用,包括急性腎功能衰竭、動脈疾病、胰腺炎、多囊腎和短暫性腦缺血等。
熱銷產品
Recombinant Human Peroxisome proliferator-activated receptor gamma (PPARG) (CSB-EP018424HU)
驗證數據
(Tris-Glycine gel) Discontinuous SDS-PAGE (reduced) with 5% enrichment gel and 15% separation gel.
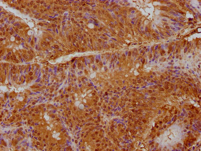
PPARG Antibody (CSB-PA018424LA01HU)
驗證數據
IHC image of CSB-PA018424LA01HU diluted at 1:200 and staining in paraffin-embedded human colon cancer performed on a Leica BondTM system. After dewaxing and hydration, antigen retrieval was mediated by high pressure in a citrate buffer (pH 6.0). Section was blocked with 10% normal goat serum 30min at RT. Then primary antibody (1% BSA) was incubated at 4°C overnight. The primary is detected by a biotinylated secondary antibody and visualized using an HRP conjugated SP system.
Immunofluorescence staining of PC-3 cells with CSB-PA018424LA01HU at 1:100, counter-stained with DAPI. The cells were fixed in 4% formaldehyde, permeabilized using 0.2% Triton X-100 and blocked in 10% normal Goat Serum. The cells were then incubated with the antibody overnight at 4°C. The secondary antibody was Alexa Fluor 488-congugated AffiniPure Goat Anti-Rabbit IgG(H+L).
PPARG Antibodies
PPARG for Homo sapiens (Human)
| 產品貨號 | 產品名稱 | 種屬反應性 | 應用類型 |
|---|---|---|---|
| CSB-PA018424GA01HU | PPARG Antibody | Human,Mouse,Rat | ELISA,WB |
| CSB-PA018424LA01HU | PPARG Antibody | Human | ELISA, IHC, IF |
| CSB-PA018424LB01HU | PPARG Antibody, HRP conjugated | Human | ELISA |
| CSB-PA018424LC01HU | PPARG Antibody, FITC conjugated | Human | |
| CSB-PA018424LD01HU | PPARG Antibody, Biotin conjugated | Human | ELISA |
| CSB-PA216430 | PPARG Antibody | Human,Mouse | ELISA,WB |
| CSB-PA000644 | Phospho-PPARG (S112) Antibody | Human,Mouse,Rat | WB, ELISA |
| CSB-PA003839 | PPARG Antibody | Human,Mouse,Rat | WB, IHC, ELISA |
| CSB-PA080238 | PPARG Antibody | Human,Mouse,Rat | WB, IHC |
| CSB-PA053064 | PPARG Antibody | Human,Mouse | ELISA,IHC |
PPARG Proteins
PPARG Proteins for Homo sapiens (Human)
| 產品貨號 | 產品名稱 | 來源 |
|---|---|---|
| CSB-YP018424HU | Recombinant Human Peroxisome prolifeRator-activated receptor gamma (PPARG) | Yeast |
| CSB-EP018424HU | Recombinant Human Peroxisome proliferator-activated receptor gamma (PPARG) | E.coli |
| CSB-BP018424HU CSB-MP018424HU CSB-EP018424HU-B |
Recombinant Human Peroxisome prolifeRator-activated receptor gamma (PPARG) | Baculovirus Mammalian cell In Vivo Biotinylation in E.coli |
| CSB-EP018424HUf0 | Recombinant Human Peroxisome prolifeRator-activated receptor gamma (PPARG) | E.coli |
| CSB-EP018424HUc7 | Recombinant Human Peroxisome proliferator-activated receptor gamma (PPARG) | E.coli |
PPARG Proteins for Mus musculus (Mouse)
| 產品貨號 | 產品名稱 | 來源 |
|---|---|---|
| CSB-YP018424MO CSB-BP018424MO CSB-MP018424MO CSB-EP018424MO-B |
Recombinant Mouse Peroxisome proliferator-activated receptor gamma (Pparg) | Yeast Baculovirus Mammalian cell In Vivo Biotinylation in E.coli |
| CSB-EP018424MO | Recombinant Mouse Peroxisome proliferator-activated receptor gamma (Pparg) | E.coli |
| CSB-EP018424MOb0 | Recombinant Mouse Peroxisome proliferator-activated receptor gamma (Pparg) | E.coli |
PPARG Proteins for Oryctolagus cuniculus (Rabbit)
| 產品貨號 | 產品名稱 | 來源 |
|---|---|---|
| CSB-YP018424RB CSB-EP018424RB CSB-BP018424RB CSB-MP018424RB CSB-EP018424RB-B |
Recombinant Rabbit Peroxisome proliferator-activated receptor gamma (PPARG) | Yeast E.coli Baculovirus Mammalian cell In Vivo Biotinylation in E.coli |
PPARG Proteins for Bos taurus (Bovine)
| 產品貨號 | 產品名稱 | 來源 |
|---|---|---|
| CSB-YP018424BO CSB-EP018424BO CSB-BP018424BO CSB-MP018424BO CSB-EP018424BO-B |
Recombinant Bovine Peroxisome proliferator-activated receptor gamma (PPARG), partial | Yeast E.coli Baculovirus Mammalian cell In Vivo Biotinylation in E.coli |
PPARG Proteins for Macaca mulatta (Rhesus macaque)
| 產品貨號 | 產品名稱 | 來源 |
|---|---|---|
| CSB-YP018424MOW CSB-EP018424MOW CSB-BP018424MOW CSB-MP018424MOW CSB-EP018424MOW-B |
Recombinant Macaca mulatta Peroxisome proliferator-activated receptor gamma (PPARG), partial | Yeast E.coli Baculovirus Mammalian cell In Vivo Biotinylation in E.coli |
PPARG Proteins for Sus scrofa (Pig)
| 產品貨號 | 產品名稱 | 來源 |
|---|---|---|
| CSB-YP018424PI CSB-EP018424PI CSB-BP018424PI CSB-MP018424PI CSB-EP018424PI-B |
Recombinant Pig Peroxisome proliferator-activated receptor gamma (PPARG), partial | Yeast E.coli Baculovirus Mammalian cell In Vivo Biotinylation in E.coli |
PPARG Proteins for Rattus norvegicus (Rat)
| 產品貨號 | 產品名稱 | 來源 |
|---|---|---|
| CSB-YP018424RA CSB-EP018424RA CSB-BP018424RA CSB-MP018424RA CSB-EP018424RA-B |
Recombinant Rat Peroxisome proliferator-activated receptor gamma (Pparg) | Yeast E.coli Baculovirus Mammalian cell In Vivo Biotinylation in E.coli |
PPARG Proteins for Xenopus laevis (African clawed frog)
| 產品貨號 | 產品名稱 | 來源 |
|---|---|---|
| CSB-YP018424XBE CSB-BP018424XBE CSB-MP018424XBE CSB-EP018424XBE-B |
Recombinant Xenopus laevis Peroxisome proliferator-activated receptor gamma (pparg) | Yeast Baculovirus Mammalian cell In Vivo Biotinylation in E.coli |
PPARG Proteins for Cricetulus griseus (Chinese hamster) (Cricetulus barabensis griseus)
| 產品貨號 | 產品名稱 | 來源 |
|---|---|---|
| CSB-YP018424DXU CSB-EP018424DXU CSB-BP018424DXU CSB-MP018424DXU CSB-EP018424DXU-B |
Recombinant Cricetulus griseus Peroxisome proliferator-activated receptor gamma (PPARG) | Yeast E.coli Baculovirus Mammalian cell In Vivo Biotinylation in E.coli |
PPARG Proteins for Canis familiaris (Dog) (Canis lupus familiaris)
| 產品貨號 | 產品名稱 | 來源 |
|---|---|---|
| CSB-YP018424DO CSB-EP018424DO CSB-BP018424DO CSB-MP018424DO CSB-EP018424DO-B |
Recombinant Dog Peroxisome proliferator-activated receptor gamma (PPARG), partial | Yeast E.coli Baculovirus Mammalian cell In Vivo Biotinylation in E.coli |
PPARG ELISA Kit
PPARG ELISA Kit for Homo sapiens (Human)
| 產品貨號 | 產品名稱 | 樣本類型 | 靈敏度 |
|---|---|---|---|
| CSB-E08623h | Human Peroxisome Proliferator-activated receptor γ,PPAR-γ ELISA Kit | serum, plasma | 19.5 pg/mL |
PPARG ELISA Kit for Mus musculus (Mouse)
| 產品貨號 | 產品名稱 | 樣本類型 | 靈敏度 |
|---|---|---|---|
| CSB-E08625m | Mouse Peroxisome Proliferator-activated receptor γ,PPAR-γ ELISA Kit | serum, plasma, tissue homogenates | 0.156 pg/mL |
PPARG ELISA Kit for Rattus norvegicus (Rat)
| 產品貨號 | 產品名稱 | 樣本類型 | 靈敏度 |
|---|---|---|---|
| CSB-E08624r | Rat Peroxisome Proliferator-activated receptor γ,PPAR-γ ELISA Kit | serum, plasma, tissue homogenates | 0.039 ng/mL |






