CHRM3
CHRM3,即膽堿能受體毒蕈堿3,別名 AChR、EGBRS。它是一種G蛋白偶聯受體,由CHRM3基因編碼,在多種組織中表達,尤其在平滑肌、心臟和分泌腺中。CHRM3的作用機制是通過與乙酰膽堿結合,激活Gq/11蛋白,進而促進磷脂酰肌醇4,5-二磷酸(PIP2)轉化為肌醇三磷酸(IP3)和二酰甘油(DAG),引起細胞內鈣離子釋放和蛋白激酶C(PKC)的激活。CHRM3參與調節胃腸道蠕動、腺體分泌、心臟節律、血管舒張等生理過程,同時在哮喘、腸易激綜合癥、心血管疾病等病理狀態下也發揮作用,是藥物開發和疾病治療中的潛在靶點。
熱銷產品
Recombinant Human Muscarinic acetylcholine receptor M3 (CHRM3), partial (CSB-EP005383HUb0)
驗證數據
(Tris-Glycine gel) Discontinuous SDS-PAGE (reduced) with 5% enrichment gel and 15% separation gel.
CHRM3 Recombinant Monoclonal Antibody (CSB-RA827961A0HU)
驗證數據
IHC image of CSB-RA827961A0HU diluted at 1:300 and staining in paraffin-embedded human brain tissue performed on a Leica BondTM system. After dewaxing and hydration, antigen retrieval was mediated by high pressure in a citrate buffer (pH 6.0). Section was blocked with 10% normal goat serum 30min at RT. Then primary antibody (1% BSA) was incubated at 4°C overnight. The primary is detected by a Goat anti-rabbit polymer IgG labeled by HRP and visualized using 0.05% DAB. Secondary antibody only control: uses 1% BSA instead of primary antibody
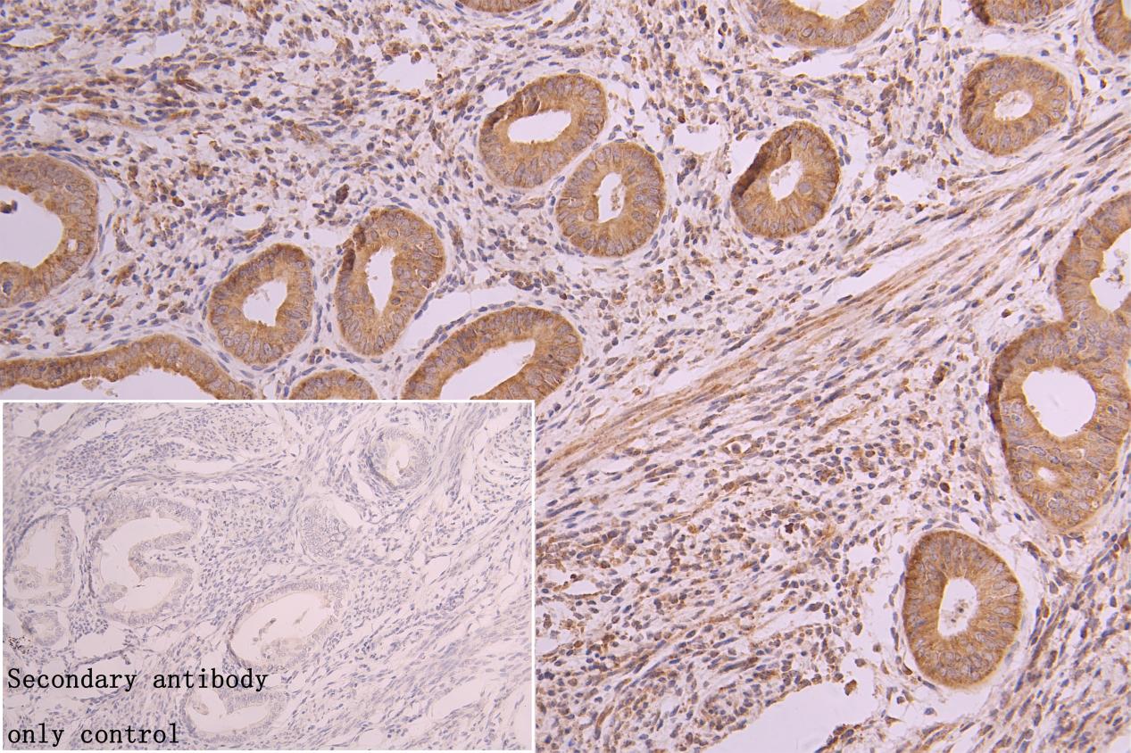
IHC image of CSB-RA827961A0HU diluted at 1:300 and staining in paraffin-embedded human endometrial cancer performed on a Leica BondTM system. After dewaxing and hydration, antigen retrieval was mediated by high pressure in a citrate buffer (pH 6.0). Section was blocked with 10% normal goat serum 30min at RT. Then primary antibody (1% BSA) was incubated at 4°C overnight. The primary is detected by a Goat anti-rabbit polymer IgG labeled by HRP and visualized using 0.05% DAB. Secondary antibody only control: uses 1% BSA instead of primary antibody
CHRM3 Antibodies
CHRM3 for Homo sapiens (Human)
| 產品貨號 | 產品名稱 | 種屬反應性 | 應用類型 |
|---|---|---|---|
| CSB-PA005383ESR2HU | CHRM3 Antibody | Human | ELISA, WB, IHC |
| CSB-PA005383ESR1HU | CHRM3 Antibody | Human | ELISA |
| CSB-PA005383LA01HU | CHRM3 Antibody | Human | ELISA, IHC, IF |
| CSB-PA005383LB01HU | CHRM3 Antibody, HRP conjugated | Human | ELISA |
| CSB-PA005383LC01HU | CHRM3 Antibody, FITC conjugated | Human | |
| CSB-RA827961A0HU | CHRM3 Recombinant Monoclonal Antibody | Human | ELISA, IHC |
CHRM3 Proteins
CHRM3 Proteins for Sus scrofa (Pig)
| 產品貨號 | 產品名稱 | 來源 |
|---|---|---|
| CSB-YP005383PI1 CSB-EP005383PI1 CSB-BP005383PI1 CSB-MP005383PI1 CSB-EP005383PI1-B |
Recombinant Pig Muscarinic acetylcholine receptor M3 (CHRM3), partial | Yeast E.coli Baculovirus Mammalian cell In Vivo Biotinylation in E.coli |
| CSB-CF005383PI | Recombinant Pig Muscarinic acetylcholine receptor M3 (CHRM3) | in vitro E.coli expression system |
CHRM3 Proteins for Homo sapiens (Human)
| 產品貨號 | 產品名稱 | 來源 |
|---|---|---|
| CSB-YP005383HU | Recombinant Human Muscarinic acetylcholine receptor M3 (CHRM3), partial | Yeast |
| CSB-EP005383HU | Recombinant Human Muscarinic acetylcholine receptor M3 (CHRM3), partial | E.coli |
| CSB-BP005383HU CSB-MP005383HU CSB-EP005383HU-B |
Recombinant Human Muscarinic acetylcholine receptor M3 (CHRM3), partial | Baculovirus Mammalian cell In Vivo Biotinylation in E.coli |
| CSB-EP005383HUb0 | Recombinant Human Muscarinic acetylcholine receptor M3 (CHRM3), partial | E.coli |
CHRM3 Proteins for Bos taurus (Bovine)
| 產品貨號 | 產品名稱 | 來源 |
|---|---|---|
| CSB-YP005383BO1 CSB-EP005383BO1 CSB-BP005383BO1 CSB-MP005383BO1 CSB-EP005383BO1-B |
Recombinant Bovine Muscarinic acetylcholine receptor M3 (CHRM3), partial | Yeast E.coli Baculovirus Mammalian cell In Vivo Biotinylation in E.coli |
| CSB-CF005383BO | Recombinant Bovine Muscarinic acetylcholine receptor M3 (CHRM3) | in vitro E.coli expression system |
CHRM3 Proteins for Gallus gallus (Chicken)
| 產品貨號 | 產品名稱 | 來源 |
|---|---|---|
| CSB-YP005383CH1 CSB-EP005383CH1 CSB-BP005383CH1 CSB-MP005383CH1 CSB-EP005383CH1-B |
Recombinant Chicken Muscarinic acetylcholine receptor M3 (CHRM3), partial | Yeast E.coli Baculovirus Mammalian cell In Vivo Biotinylation in E.coli |
| CSB-CF005383CH | Recombinant Chicken Muscarinic acetylcholine receptor M3 (CHRM3) | in vitro E.coli expression system |
CHRM3 Proteins for Rattus norvegicus (Rat)
| 產品貨號 | 產品名稱 | 來源 |
|---|---|---|
| CSB-YP005383RA1 CSB-EP005383RA1 CSB-BP005383RA1 CSB-MP005383RA1 CSB-EP005383RA1-B |
Recombinant Rat Muscarinic acetylcholine receptor M3 (Chrm3), partial | Yeast E.coli Baculovirus Mammalian cell In Vivo Biotinylation in E.coli |
| CSB-CF005383RA | Recombinant Rat Muscarinic acetylcholine receptor M3 (Chrm3) | in vitro E.coli expression system |
CHRM3 Proteins for Gorilla gorilla gorilla (Lowland gorilla)
| 產品貨號 | 產品名稱 | 來源 |
|---|---|---|
| CSB-YP865050GGZ1 CSB-EP865050GGZ1 CSB-BP865050GGZ1 CSB-MP865050GGZ1 CSB-EP865050GGZ1-B |
Recombinant Gorilla gorilla gorilla Muscarinic acetylcholine receptor M3 (CHRM3), partial | Yeast E.coli Baculovirus Mammalian cell In Vivo Biotinylation in E.coli |
| CSB-CF865050GGZ | Recombinant Gorilla gorilla gorilla Muscarinic acetylcholine receptor M3 (CHRM3) | in vitro E.coli expression system |
CHRM3 Proteins for Mus musculus (Mouse)
| 產品貨號 | 產品名稱 | 來源 |
|---|---|---|
| CSB-YP872136MO1 CSB-EP872136MO1 CSB-BP872136MO1 CSB-MP872136MO1 CSB-EP872136MO1-B |
Recombinant Mouse Muscarinic acetylcholine receptor M3 (Chrm3), partial | Yeast E.coli Baculovirus Mammalian cell In Vivo Biotinylation in E.coli |
| CSB-CF872136MO | Recombinant Mouse Muscarinic acetylcholine receptor M3 (Chrm3) | in vitro E.coli expression system |
CHRM3 Proteins for Pongo pygmaeus (Bornean orangutan)
| 產品貨號 | 產品名稱 | 來源 |
|---|---|---|
| CSB-YP873566EXP1 CSB-EP873566EXP1 CSB-BP873566EXP1 CSB-MP873566EXP1 CSB-EP873566EXP1-B |
Recombinant Pongo pygmaeus Muscarinic acetylcholine receptor M3 (CHRM3), partial | Yeast E.coli Baculovirus Mammalian cell In Vivo Biotinylation in E.coli |
| CSB-CF873566EXP | Recombinant Pongo pygmaeus Muscarinic acetylcholine receptor M3 (CHRM3) | in vitro E.coli expression system |
CHRM3 Proteins for Pan troglodytes (Chimpanzee)
| 產品貨號 | 產品名稱 | 來源 |
|---|---|---|
| CSB-YP882017EQV1 CSB-EP882017EQV1 CSB-BP882017EQV1 CSB-MP882017EQV1 CSB-EP882017EQV1-B |
Recombinant Pan troglodytes Muscarinic acetylcholine receptor M3 (CHRM3), partial | Yeast E.coli Baculovirus Mammalian cell In Vivo Biotinylation in E.coli |
| CSB-CF882017EQV | Recombinant Pan troglodytes Muscarinic acetylcholine receptor M3 (CHRM3) | in vitro E.coli expression system |






