我們的團隊將在24小時內與您聯系,確認訂單并安排發貨。
如果您有任何疑問或需要進一步的幫助,請隨時聯系我們。電話:027-87939808 ,郵箱:cusabio@126.com,在線聯系。
在生物醫學研究與動物生態保護領域,偶蹄目(如麋鹿、羚牛等)、奇蹄目(如普氏野馬、亞洲犀牛等)、嚙齒目(如長尾攀鼠、鼩鼱科某些珍稀種類等)等罕見哺乳動物種屬作為獨特的研究對象,其獨特的生理機制、進化特征以及在生態系統中的特殊地位,使它們在基礎生物學、疾病模型構建、生態保護生物學等多個研究方向上具有不可替代的價值。偶蹄目動物多具有復雜的消化系統,以適應多纖維的植物性食物,其反芻機制和瘤胃微生物群落研究對于理解動物營養代謝和生態適應意義重大;奇蹄目動物在進化過程中保留了某些原始特征,是研究動物進化歷程和物種分化的關鍵樣本;嚙齒目中的一些珍稀種屬,由于生存環境特殊,其基因組中可能蘊含著適應極端環境的獨特基因,為研究生物適應性和基因功能提供了珍貴材料。
偶蹄目動物繁殖周期相對較長,且種群數量受環境影響波動大,其基因組研究有助于揭示物種對棲息地變化的響應機制;奇蹄目動物因棲息地破碎化和人類活動干擾,種群數量急劇減少,深入研究它們的生理和遺傳特性對于制定保護策略至關重要;嚙齒目中的某些罕見種屬,在行為生態學和群體遺傳學研究方面展現出獨特優勢,是理解動物社會行為和種群遺傳結構的理想模型。此外,這些罕見哺乳動物種屬在疾病傳播、生態平衡維持以及生物多樣性保護等方面也發揮著關鍵作用,其相關研究對于維護地球生態系統的穩定和人類健康具有重要意義。
華美生物稀有種屬抗體系列——罕見哺乳動物種屬抗體專屬特惠活動,專為那些深耕于生物醫學、動物生態學和保護生物學前沿研究的科研人員量身打造。我們提供的高特異性、高質量抗體產品,經過嚴格篩選和驗證,能夠精準識別罕見哺乳動物種屬的特異性抗原,滿足您在基因功能解析、蛋白質表達調控研究、代謝途徑深入探索以及疾病模型構建等多方面的科研需求。無論是用于免疫組化檢測組織中的特定蛋白分布,還是通過免疫印跡技術分析蛋白質的表達變化,亦或是開展免疫共沉淀實驗研究蛋白質間的相互作用,我們的抗體產品都能為您提供可靠、準確的研究工具,助力您在罕見哺乳動物種屬研究領域取得突破性進展,共同推動生物醫學研究和生態保護事業的發展。
Species Reactivity: Sus scrofa
Raised in: Rabbit
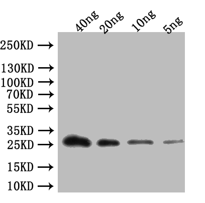
Application: ELISA, WB
Recommended dilution: WB:1:500-1:5000
Size: 100μl/50μl/20μl
Species Reactivity: Horse
Raised in: Rabbit
Application: ELISA, WB
Recommended dilution: WB:1:500-1:5000
Size: 100μg/50μg/20μg
Species Reactivity: Dog
Raised in: Rabbit
Application: ELISA, WB
Recommended dilution: WB:1:500-1:5000
Size: 100μg/50μg/20μg
Species Reactivity: Bos taurus (Bovine)
Raised in: Rabbit
Application: ELISA, WB
Recommended dilution: WB:1:500-1:5000
Size: 100μl/50μl
我們的團隊將在24小時內與您聯系,確認訂單并安排發貨。
如果您有任何疑問或需要進一步的幫助,請隨時聯系我們。電話:027-87939808 ,郵箱:cusabio@126.com,在線聯系。

18年以上抗體生產經驗
100%無風險保障
多種稀有物種選擇(大腸桿菌、褐家鼠、幽門螺桿菌等)
多種抗體生產技術平臺(噬菌體展示、高通量抗體表達、雜交瘤技術)
靈活的交付方案(提供大規格或試用裝產品)
完整的驗證平臺(ELISA, WB, lF, ChIP,IP ,co-IP,FACS,IHC等)
| Product Name | Code | Species | Tested Applications |
|---|---|---|---|
| ABCA13 Antibody | CSB-PA4898XA01BO | Bos taurus (Bovine) | ELISA, WB |
| ADIPOQ Antibody | CSB-PA661101LA01BO | Bovine | ELISA |
| ADIPOQ Antibody | CSB-PA661101YA01BO | Bovine | ELISA, WB |
| ALB Antibody | CSB-PA00260E1Rb | Canine | ELISA |
| ALB Antibody | CSB-PA00950E1Rb | Bovine | ELISA |
| BSA Antibody | CSB-PA592874 | Bovine | ELISA, WB |
| BSA Antibody | CSB-PA272395 | Bovine | ELISA, WB |
| ANG1 Antibody | CSB-PA14679A0Rb | Bovine | ELISA |
| Anionic trypsin Antibody | CSB-PA356954LA01DO | Dog | ELISA |
| ANXA13 Antibody | CSB-PA001839HA01DO | Dog | ELISA, WB |
| ANXA4 Antibody | CSB-PA001845LA01DO | Dog | ELISA |
| ALB Antibody | CSB-PA00180E1Rb | Goat | ELISA |
| Arginine esterase Antibody | CSB-PA362734LA01DO | Dog | ELISA, WB |
| Phospho-ATP1A1 (S23) Antibody | CSB-PA006343 | Rat | ELISA, WB, IF |
| AVPR2 Antibody | CSB-PA002470LA01PI | Pig | ELISA |
| BCHE Antibody | CSB-PA002604LA01DO | Dog | ELISA, IHC |
| ALB Antibody | CSB-PA00210E1Rb | Pig | ELISA |
| Bombesin Receptor 2 Antibody | CSB-PA080284 | Rat, Mouse | WB |
| BSA Monoclonal Antibody | CSB-MAP027691E0m | Bovine | ELISA, WB |
| BSA Monoclonal Antibody | CSB-MA080239 | Cow | ELISA, WB |
| BSA Antibody | CSB-PA000390 | Cow | ELISA, WB |
| C5 Antibody | CSB-PA003995YA01PI | Pig | ELISA, IHC |
| CALCA Antibody | CSB-PA004434HA01DO | Dog | ELISA, WB |
| CALR Antibody | CSB-PA004458YA01PI | Pig | ELISA |
| CAPN2 Antibody | CSB-PA004496LA01PI | Pig | ELISA |